周周寄语:
这周谈谈我们手术中发现的一个比较罕见的现象,瓣叶切割,目前暂未见文献报道。瓣叶切割我们定义为特硬导丝或球囊,输送系统,破坏了瓣叶的原本结构,把原本完整的瓣叶切割裂开,从而导致瓣上结构的锚定力丧失。瓣叶切割常常发生在大弯侧瓣叶钙化重的情况下,横位心,条状钙化或钙化分布不均匀,联合部钙化融合等也是危险因素。DSA上通常是发现在交换特硬导丝后,或者球囊预扩张后,轨道位置发生明显的位移,此时结合食道超声,可以明确诊断瓣叶切割。瓣叶切割有利有弊。对于二叶瓣的病人,多数会改变瓣上结构的锚定力,比如type0二叶瓣变成类似三叶瓣结构,此时我们常用的downsize策略,高位释放策略需要重新考量。特别是高位释放,因为大弯侧瓣叶撕开,失去锚定力,高位释放容易发生瓣膜飞脱。对于部分三叶瓣的病人,瓣叶切割后导丝嵌入到钙化中心,会明显增加跨瓣难度,相对来说,瓣膜释放过程反而会比较稳定,不容易下滑。
自2016年广东省人民医院罗建方,李捷教授团队开展TAVR手术以来,已累计完成逾650例手术,据统计,术中发生瓣膜切割8例,瓣叶切割情况会打乱手术节奏,术前预案作废,需按照球囊扩张情况及瓣叶切割结构特征的改变,重新选择瓣膜型号,制定释放策略,如遇患者球扩后循环崩溃,需要快速做出正确决策,保证手术有效进行,保证安全。
此例患者大横位Type0型二叶瓣,瓣环径23.1,LVOT22.6,Stj35.9,左冠高度11.8,右冠19.5,术前根据总体结构使用20MM球囊预扩,抓捕器辅助瓣膜通过横位结构跨瓣,术前预装VenusA23号瓣膜。
根部解剖:
入路
术前超声:
术中过程:
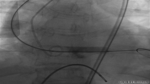
第一枪造影

跨瓣
Nmued20预扩1

Nmued20预扩2
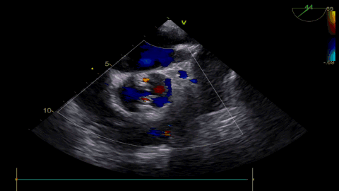
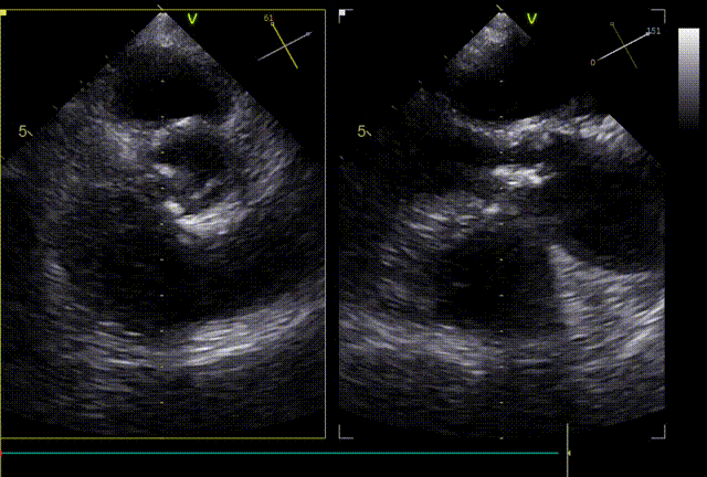
球扩后超声
发生瓣叶切割,无窦侧瓣叶切割,Type0结构形变为类三叶瓣结构。
更换VenusA26号瓣膜前1/3

VenusA26号完全释放
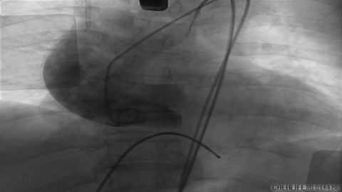
最后一枪造影
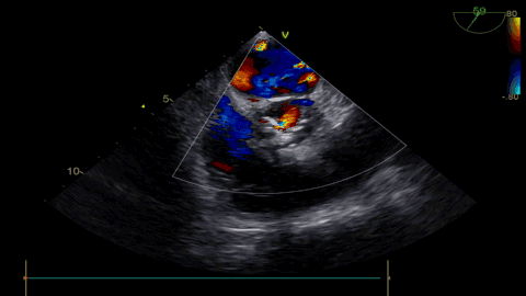
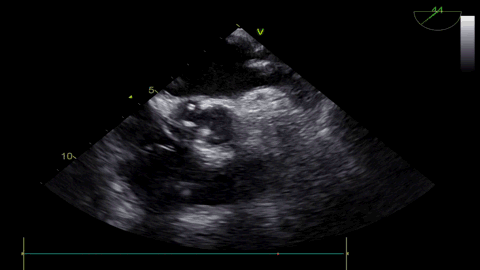
超声显示人工瓣膜工作良好,微量瓣周漏,术后一周顺利出院,术后随访无并发症,恢复良好。
专家介绍

医学博士、主任医师、博士生导师。现任广东省人民医院心内科副主任,广东省人民医院南海医院院长、广东省人民医院血管病诊疗中心主任、广东省冠心病防治研究重点实验室副主任。
学术任职:美国心脏病学院Fellow (FACC)、欧洲心脏病协会Fellow (FESC)、美国心血管造影与介入学会Fellow (FSCAI)、首批Global Hybrid Algorithm Community国际认证Hybrid CTO带教专家、卫生部心血管疾病介入诊疗培训基地(冠心病介入治疗)导师。
中华医学会心血管病学分会大血管学组副组长、中国研究型医院学会心血管影像专业委员会副主任委员、中国研究型医院学会血管医学专业委员会副主任委员、中国医疗保健国际交流促进会血管疾病分会副主任委员、中国医疗保健国际交流促进会难治性高血压与周围动脉病分会副主任委员、中国医药教育协会血管医学分会副主任委员、广东省介入性心脏病学会周围血管介入分会主任委员、广东省医师协会心血管介入医师分会副主任委员、广东省医师协会心血管内科医师分会常务委员、广东省医学会心血管病分会结构性心脏病学组副组长等。
血管疾病多学科协作论坛(VMDT)执行主席、冠心病与周围血管介入沙龙(CPIS)执行主席、亚太CTO俱乐部广州峰会共同执行主席、亚洲心脏病学会年会秘书长等。
技术特长:擅长复杂冠脉病变、主动脉疾病、瓣膜疾病、周围血管病等的介入治疗。在国内率先开展脑保护装置下颈动脉介入治疗、经桡动脉行肾动脉介入治疗、快速起搏与经皮穿刺主动脉腔内修复术(TEVAR),2016年4月完成华南地区首例经导管主动脉瓣置换术(TAVR),2019年2月成功实施全球首例经股动脉途径TAVR联合TEVAR一站式手术,团队整体TAVR手术量已超过500台,已经帮助全国100家中心开展TAVR手术。
科研成果:获中国医药教育协会科学技术奖二等奖1项、广东省科学技术奖二等奖2项、三等奖2项。参编学术专著6部,发明专利4项,发表学术论文100余篇。先后承担省市级课题数项,培养硕博士20余人,目前在研经费超过500万元。

医学博士,副主任医师,硕士导师。
学术任职:中国医师协会心血管病分会结构组委员;广东省介入性心脏病协会结构分会常务委员;广东省医师协会心血管介入医师分会委员;广东省医师协会高血压分会青年委员;广东省医院协会心血管质控管理分会结构性心脏病学组委员;中国大湾区心脏协会精准诊疗分会委员;中国结构周秘书长;血管疾病多学科协作论坛(VMDT)秘书。
技术特长:擅长经导管主动脉瓣置换术,手术量超600台,帮助全国70多家中心开展TAVR手术。擅长复杂冠脉病变、主动脉疾病、瓣膜疾病、周围血管病等的介入治疗。