近期,中山大学附属第五医院李刚教授团队成功应用VenusA-Plus®可回收输送系统为一名二尖瓣生物瓣术后纯反流患者行经导管主动脉瓣置换术,术后患者恢复状况良好。中山大学附属第五医院李刚教授团队对TAVR技术的熟练运用,为周边地区广大瓣膜病患者带来福音。
李刚教授团队对其病变进行深入分析、反复讨论后,考虑该患者病情复杂,高龄,外科开胸风险较大,瓣膜情况复杂,病情严重。决定为该主动脉瓣重度狭窄患者行经导管主动脉瓣置换术(TAVR)。
CT评估报告
瓣环平均直径:27.0 mm,左室流出道平均直径:26.8 mm。
升主动脉未见明显扩张,心脏角度:33°。
左冠高度:18.3 mm,右冠高度:17.1 mm。
左室明显增大。
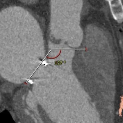
优选右股入路,二尖瓣与主动脉瓣角度:127°。
术前分析及手术策略
患者为三叶瓣,主动脉瓣关闭不全,既往有二尖瓣生物瓣置换手术史,主动脉根部与二尖瓣夹角为127°,角度上不影响TAVR手术(大于120°较佳,小于100°有风险);法式窦及STJ结构尚可,升主动脉未见增宽,心脏角度尚可,左室大小明显增大。
在虚拟主动脉瓣环下10 mm左右可见二尖瓣生物瓣,因为左室流出道锚定区域有限,瓣膜系统的释放位置需要格外关注,一旦植入位置不当或瓣膜下滑位置偏深,将影响二尖瓣生物瓣瓣叶的正常开合,但如果释放位置太高或牵拉力量过大,容易导致瓣膜释放时弹出,手术难度极高;
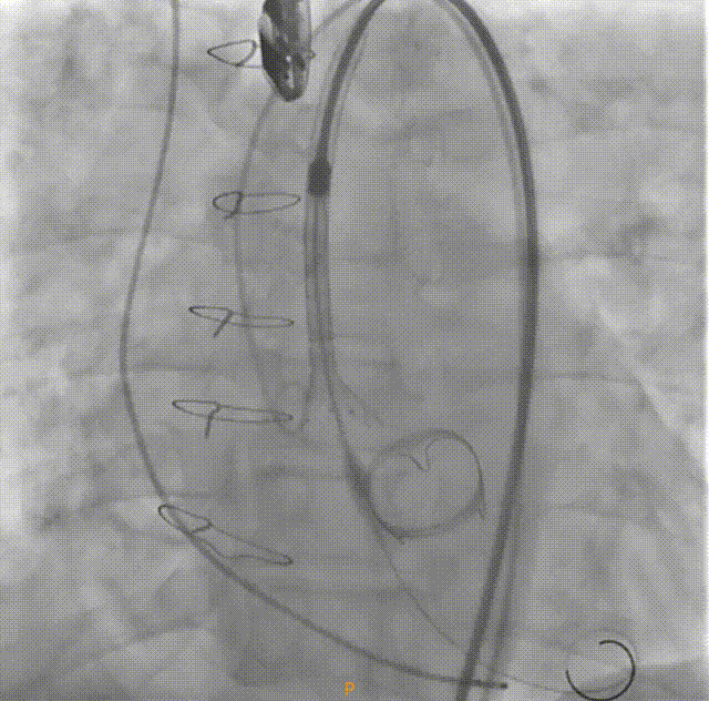
对于这样挑战的复杂病变,使用VenusA-Plus®可回收输送系统,为手术增加了一重保障,拟选择L29型号瓣膜经由右侧股动脉入路,选择标准位偏高2mm左右进行释放完成手术。瓣膜释放过程中,观察瓣膜位置,当瓣膜植入位置不合适,可以及时回收,重新调整位置再次释放,降低手术风险,提高手术成功率。
手术过程
在放射科,超声科和麻醉科的通力协作下,顺利完成了术前准备,术者团队在术中谨慎建立轨道,根据主动脉根部造影的结果,初步判断释放体位是否合适观察瓣叶活动度、是否合并反流,选择合适的跨瓣体位。瓣膜释放前优先确认猪尾管位置,避免瓣膜在释放过程中脱载。
医院简介
中山大学附属第五医院是集医疗、教学、科研于一体的大型三级甲等综合医院,也是中山大学在珠江口西岸唯一的直属附属医院。医院位于中国最宜居城市珠海,山水清嘉,环境优雅,毗邻港澳,邻近码头及国际机场,海陆空交通十分便利。总占地面积47万平方米,建筑面积32万平方米,规划床位4000张,现开放床位数3200张。医院是广东省高水平医院重点建设医院,国际医疗救援定点单位,也是外国使领馆指定的珠海救治单位。传承百年中大医科文化,服务湾区卫生健康事业。
专家简介
中大五院心血管病中心主任、心外科及结构性心脏病病区主任、主任医师、医学博士、教授,国家自然科学基金、国家重点研发计划评审专家,首届中华医学会胸心血管外科学分会“厄尔-巴肯奖学金”一等奖,首届中华医学会胸心血管外科学分会Lillehei奖学金“新秀奖”,中华医学会胸心血管外科分会全国心脏外科基本技能大赛第1名,广东省医学会心血管外科分会委员,广东省医师协会心血管外科分会委员,广东省医师协会心血管病分会委员,广东省医师协会心脏病器械辅助治疗医师分会常务委员。 从事心脏外科医教研工作多年。熟练掌握心脏外科常见疾病的诊断和治疗,包括冠脉搭桥、瓣膜成形和置换、先心病畸形矫治、主动脉夹层全弓置换、心脏肿瘤切除和器官移植等。在微创心脏外科、复杂先心病治疗、瓣膜成形、心房纤颤的外科治疗、合并室壁瘤或瓣膜病变的危重症冠心病治疗等领域有独到见解。