阜外医院潘湘斌教授团队应用VenusA-Plus完成高难无造影剂超声指引高冠脉风险二尖瓣机械瓣置换术后TAVI
2021-08-23 10:26
2021年8月17日,一台高难度复杂TAVI手术在中国医学科学院阜外医院井然有序的开始了,潘湘斌教授带领团队为75岁女性老年患者制定个性化诊疗方案,其患有严重的肾功能不全,二尖瓣机械瓣术后,高冠脉风险,复杂的合并症给手术增加更多的挑战,作为中国TAVI手术经验最丰富的团队之一为患者获得更好的疗效让更多的患者受益团队面对挑战一直探索前进。
患者基础信息
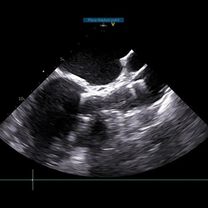
术前CT评估
三叶瓣轻度钙化,右无可见钙化脊,瓣叶可见增厚,右冠高度可,左冠开口层面可见瓣叶,升主动脉未见明显扩张,法式窦及窦管交界稍小,两侧股动脉入路可,二尖瓣机械瓣置换术后。瓣环平均径23.7mm,LVOT26.8mm,STJ24.9mm,RCA18.4mm,LCA11.4mm。
手术难点
2. STJ结构偏小且整体窦部结构不大,左冠瓣叶高度可达冠脉口,术中球囊预扩无造影剂下判断冠脉灌注情况难度大;
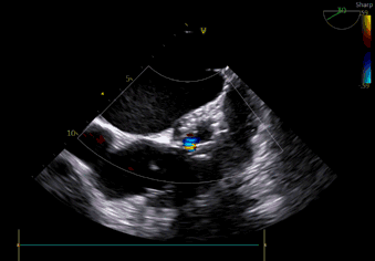
3. 全程无造影剂超声引导下行TAVI手术对超声团队高精度和快速判断要求极高,了解手术过程并同频配合术者手术操作,同时要求术者对超声解读深刻。
手术策略
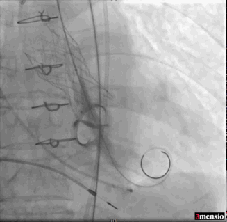
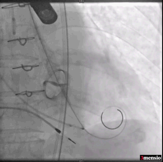
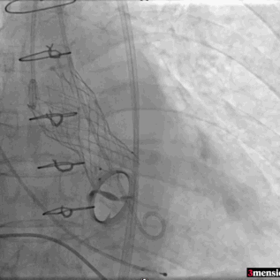
手术过程


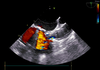
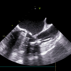
左冠灌注
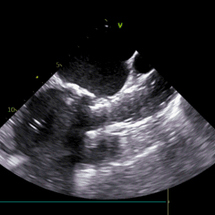
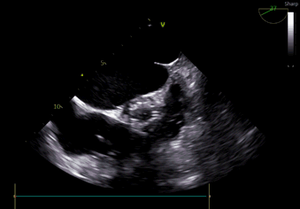
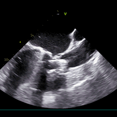
植入后瓣架深度
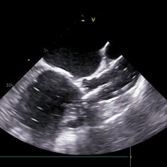
瓣周漏
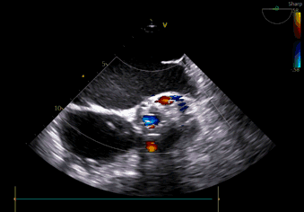
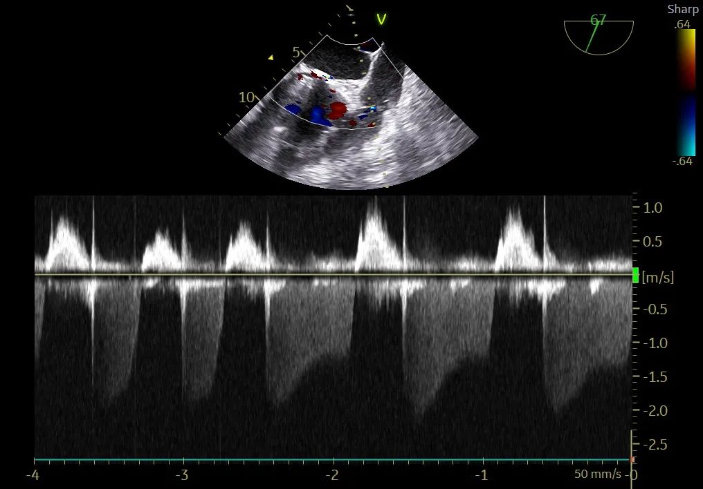
术后流速
术中导丝跨瓣后20mm球囊预扩,超声判断冠脉风险尚可,植入L23 VenusA Plus可回收瓣膜位置良好,用23mm球囊后扩支架下缘,微少量瓣周漏。
术后即刻血压135/65mmHg,狭窄解除,释放后超声测量瓣下支架长度6mm标准位释放瓣膜位置完美。整台手术用时不足1.5小时,麻醉、超声等团队全程协作为手术顺利完成保驾护航。
专家简介

中国医学科学院阜外医院院长助理,云南省阜外心血管病医院执行院长,华中阜外医院总院长助理。