新的突破!潘湘斌教授团队成功完成二尖瓣交界病变MitraClip®修复手术演示

2021年8月19日,在国家结构性心脏病介入质控中心瓣膜介入技术培训会上,中国医学科学院阜外医院结构性心脏病中心潘湘斌教授团队借助经导管二尖瓣夹及可操控导引导管MitraClip®,顺利完成1例高难度二尖瓣交界病变修复手术,并向与会嘉宾直观展示和总结了MitraClip®手术方案决策和术中操作技巧。

患者基本情况

患者为71岁女性,因胸闷气喘6个月入院。术前经胸超声检查提示二尖瓣重度反流(MR4+),前叶脱垂、腱索断裂,EF 74%,LA 45mm、LVEDV 46mm。经食道超声检查可见A1区脱垂,腱索断裂,脱垂范围17mm,MVA 5.5cm²,瓣环29mm,前叶25mm,后叶10mm。

手术患者病例摘要


手术难点

潘湘斌教授指出,交界病变为Clip的相对禁忌症,夹闭难度大,该患者为A1区累及前交界区域脱垂,术中需仔细调整瓣夹位置,确保使用单一夹子实现完整夹闭,避免瓣夹滑脱和术后残余反流。

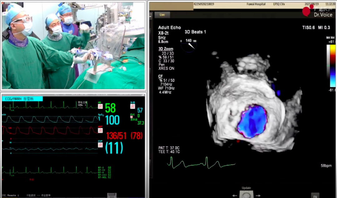
手术过程

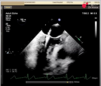
1、手术团队使用MitraClip®独特的三层双调弯导管,经股静脉穿刺,在食道超声引导下完成房间隔穿刺。穿刺后将导管送入左心房,靠近二尖瓣目标位置。术中TEE三维超声可明确显示瓣膜脱垂区域,脱垂区域主要位于二尖瓣前叶A1区及前交界,且面积较大,显著增加手术难度。

三维超声显示瓣膜脱垂区域

2、由于该患者病变部位为A1区及交界位置,且二尖瓣后叶较短,常规XTR型号瓣夹相对偏大,故本次手术选择NTR型号瓣夹进行夹闭合。同时,为保证前后瓣叶充分夹闭,将瓣夹靠近A1区域并适当倾斜夹闭角度。

瓣夹目标位置及夹闭角度

3、经仔细调整输送系统,将瓣夹送入二尖瓣目标位置和预定角度,适当移动瓣夹靠近A1区域,同时兼顾前后瓣叶位置。

瓣夹目标夹闭角度

初次夹闭时二尖瓣前瓣夹闭部分偏少,调整位置后尝试夹闭,超声显示瓣夹一侧出现少量反流;松开瓣夹后再次调整位置,准确捕获并充分夹闭二尖瓣瓣叶,完成经导管缘对缘修复。

最终夹闭后的超声图像

二尖瓣夹释放后,超声显示反流几近消失,二尖瓣前向峰值流速1.2m/s,平均跨瓣压差3mmHg。患者各项生理指标正常,手术顺利完成,手术操作耗时约120 min。

术后生命体征及超声效果

总结

在手术过程中,潘湘斌教授反复强调交界病变属于Clip手术的相对禁忌症,操作难度大,容易出现瓣叶夹闭不充分、术后反流消除不完全乃至瓣夹滑脱等并发症,术前需根据超声结果谨慎选择瓣夹型号和目标夹闭位置,超声反复确定夹闭效果及钳夹前后瓣叶长度,减少残余反流,避免瓣夹滑脱。

流行病学调查显示,75岁以上老年人群中,约10%合并中重度二尖瓣关闭不全(MR)。目前对于原发性二尖瓣关闭不全(PMR),外科手术仍是主要的治疗手段,而对于功能性二尖瓣关闭不全(FMR),药物治疗排在首要位置。重度MR患者如果不接受手术治疗,1年和5年的死亡率分别高达20%和50%。最新的二尖瓣反流治疗临床路径建议中,经导管二尖瓣修复已经有了一席之地。

MitraClip®技术对患者症状的近远期改善效果在全世界已经有了充分的临床证据,MitraClip®使更多的高危患者具备了手术条件,适合当下的推广和普及。对于未来瓣膜修复,潘湘斌教授表示,广大心血管医生需要站在我国二尖瓣患者的整体患病情况的角度上看待这一新技术的推广。

团队介绍

胡盛寿院士高瞻远瞩于2018年建立的复合技术团队,融合了影像科、心脏内科、外科等多学科,是一个”博众家之长, 内外兼修”的一流团队。

团队带头人潘湘斌教授中国医学科学院阜外医院院长助理,国家级有”突出贡献专家”,心脏内、外科双博导。世界首创”全超声引导技术”,实现了”不开刀,无需全麻,无需气管插管,无辐射,无造影剂‘’治疗结构性心脏病。多次受邀到加拿大,俄罗斯,英国,法国等二十余个国家和地区现场演示手术。

为了帮助更多的重症瓣膜病患者,阜外医院现开设瓣膜介入直通车,不但优先安排治疗,而且有少量免费器械,可以帮助重症患者。

预约电话:15699870631


阅读数: 5116
相关专题