星座PCI|星座“臻”选-双鱼座 IVUS指导无残端CTO

“天空把答案都藏的好美丽,倒可以 多点信心,我为了了解爱的神秘下定决心,谁中意 星座话题,快告诉我哪一颗星应该怎么搞定,可惜天气 阴晴不定‘’——《十二星座》。


 那么当十二星座遇上PCI和IVUS,会给我们演绎怎样的故事,接下来有请武汉大学中南医院心血管内科范永臻教授为我们一一讲述,本周有请双鱼座。

大家好,欢迎来到星座PCI,我是范永臻。如果说十二星座里哪个星座的人最热心助人,那当然是小天使双鱼座啦。他们喜欢帮助别人,哪怕牺牲自己。说到这里各位有没有想起来CTO手术呢,CTO手术难度高,放射剂量大,也是牺牲自己来为换取患者的健康,如何尽量缩短手术时长呢,尤其是面对无残端CTO病变,无法明确穿刺入口,接下来就跟大家分分享IVUS指导无残端CTO Entry point的一个病例。


IVUS 对无残端CTO的指导价值


Proximal cap ambiguity


• 常见,占CTO-PCI的31%

• 77%的近端纤维帽附近伴随着边支

• 介入时使用逆向技术和/或IVUS指导更常见

• 介入成功率相对较低


Karatasakis A, et al.  J Invasive Cardiol2016;28(10):391-6


IVUS Navigated in Side 

Branch to Resolve ambiguity


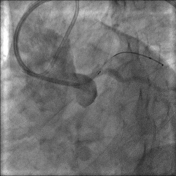
Case : CTO of Ostial LAD



Baseline CAG

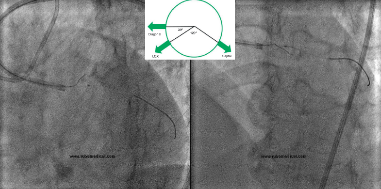
MC+ pilot 150/G2, Failed



IVUS in diagonal or in OM?



IVUS in Side branch



LCX coming in 



Ostial LAD 



结合IVUS图像确认穿刺点及穿刺方向



Discrepancy

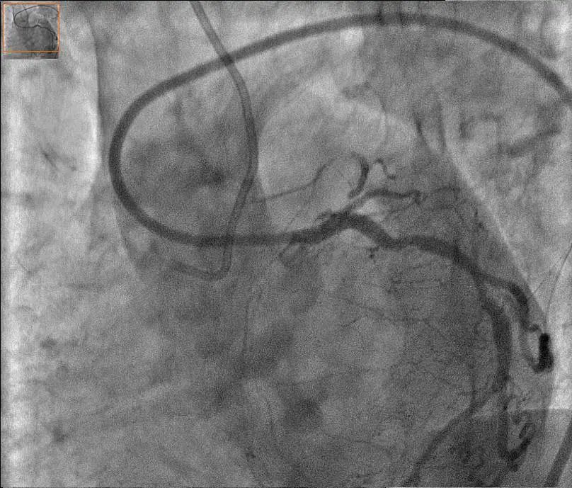
MC+ pilot 150, crossed



Final result



IVUS引导下Entrypoint的策略

• 边支靠近闭塞段

• 边支直径尽可能在1.5mm以上

• 边支的长度尽可能大于IVUS导管探头至头端的距离

• 边支过分扭曲会影响IVUS导管通过,也会影响对主支CTO残端的判断

• 帮助决定穿刺导丝的种类、塑型与微导管的选择

• 帮助决定导丝的穿刺点及导丝穿刺方向

• 确认穿刺导丝是否正确进入残端

• “葫芦”样或“8字”样特征:

• IVUS显示分支与主支的血管中膜层汇合的特征图像,分支与主支直径的突然变化

• 本中心研究所示,当IVUS所示的CTO残端部位纤维帽可见明显的“blood spackle of microchannels ”(白色箭头),正向导丝通过成功率明显高于不可见“blood spackle” 的患者。(62.5% vs 37.5%, p=0.02).

• Among the cases with unclear IVUS imaging of CTO cap,  32(68.1%) cases  of including wide angle(≥60°) between side branch and main vessel, 2 (4.3%) cases of tortuosity of side branch 4(8.5%) cases of stent in side branch , 9(19.1%) cases of deep calcium of CTO proximal cap.


• Unclear imaging of proximal CTO happens most commonly in the cases of LM to see LAD or LCX ostium (70.6%), but most uncommon in CX (30%). 


Yongzhen Fan, et al. ACC2019. 

• CTO location was LM distal bifurcation (occluded ostial LAD or LCX) in 15%, LAD in 43%, RCA in 33%, or LCX in 9%.


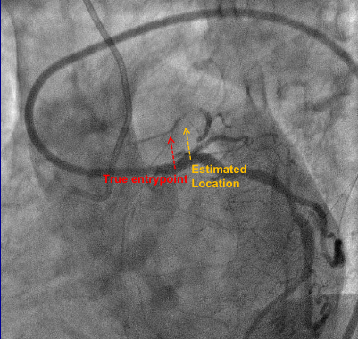
• The distance between the true (IVUS-determined) and estimated (angiographic) cap location was 1.9±2.7mm by an experienced interventionalist or 2.8±2.8mm by an inexperienced analyst, p<0.001.


• 经验丰富的CTO术者,在单纯以造影来判断无残端CTO的Entrypoint时,其中有近30.5%的病例与IVUS有判断的Entrypoint距离在1.5mm以上,这种情况可能会导致前向穿刺的失败甚至不良并发症的发生。


Yongzhen Fan, et al. ACC2019. 


OCT to identify proximal cap


 IVUS引导下Entrypoint的方式


方法一:直接IVUS实时引导,提供残端的最佳影像

缺点:

1.要求导引导管能大到与IVUS和微导管匹配或不得不使 用“乒乓”技术

2.IVUS导管可能会妨碍导丝的穿刺且IVUS导管在脊部难以固定  

3.阻碍了造影剂注射,尤其是在分支血管与闭塞血管成小角时


方法二:IVUS确认残端后,利用多角度造影作“路图” ,退IVUS管。利用“路图”引导导丝穿刺

缺点:

导丝可能穿刺进入假腔。因此后续需要血管内超声来确认导丝在腔内的位置,甚至需要重新Entrypoint

团队介绍:

武汉大学中南医院心内科是全国腔内影像与功能学培训中心,湖北省心血管介入培训基地,强生电生理培训中心,全国胸痛中心、心衰中心、晕厥中心等。年介入量八千余台次,专科特色为腔内影像指导下复杂高风险冠脉介入、各类心律失常的消融手术、希蒲系统起搏和无导线起搏、先心病介入和瓣膜病介入手术、MDT团队配合下的心脏危急重症诊治。


专家介绍

范永臻 教授

武汉大学中南医院

范永臻,武汉大学中南医院副主任医师,美国心血管研究基金会(CRF)fellow,中国冠脉腔内影像及功能学学会(CCEC)委员,中部复杂冠脉学组委员,中国冠脉血流贮备分数专家共识执笔人,Crossroad冠脉生理培训导师;


2013.1-2013.6  日本草津心脏中心研修血管内超声及复杂冠脉介入手术,师从冠脉介入大师、CCT主席Eisho Kyo教授;


2014.9-2015.9  于韩国首尔大学心脏中心担任访问学者,研修冠脉介入技术及冠脉生理学,师从世界著名冠脉生理学家Bon-Kwon Koo教授;


2018.7-2019.7 于美国心脏基金会(CRF)、哥伦比亚大学医学中心、纽约长老会医院担任访问学者及冠脉介入fellow,接受系统的最新冠脉腔内影像技术培训,师从著名冠脉腔内影像学大师Gary S. Mintz教授;


获得国家卫计委冠脉介入手术资质,擅长使用IVUS、OCT、FFR等新技术指导复杂冠脉病变手术。在国内外发表学术论文数篇,曾数次在ACC、TCT、CCT、IPS、ENCORE、TCTAP等国际学术会议交流学术及研究成果,参与编写冠脉介入专著3部。

阅读数: 547