董念国团队顺利完成湖北首例新型干瓣预装全可回收TAVR系统NMPA临床研究植入

北京时间2021年8月10日,华中科技大学同济医学院附属协和医院(以下简称“武汉协和医院”)顺利完成金仕生物科技(常熟)有限公司(以下简称“金仕生物”)自主研发的新型干瓣预装全可回收TAVR系统临床试验的植入,据了解,这在湖北省尚属首例。手术由中华医学会胸心外科副主任委员、心胸外科医师协会副主席、武汉协和医院心外科董念国主任团队在相关科室协助下共同完成。

患者基本信息:

患者为74岁男性,升主动脉增宽,主动脉瓣叶及瓣环明显钙化,中重度狭窄。

心脏彩超提示:

主动脉瓣中重度狭窄,主动脉瓣叶及瓣环明显钙化,主动脉瓣PGmean:63mmHg、Vmax:4.0m/s,LVEF:61%,二尖瓣少量反流轻度关闭不全,三尖瓣轻中度关闭不全。

术前评估与讨论:

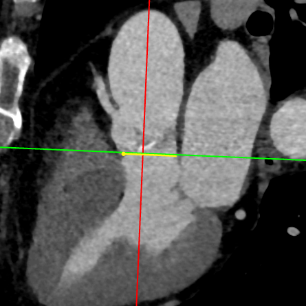
武汉协和董念国团队对该病例进行了缜密探讨,该病例为老年男性,主动脉瓣中重度狭窄,术前左室舒张功能减低。患者病例CT和心超数据显示瓣环周长:90.2mm,瓣下4mm流出道周长:97.5mm,窦部空间相对小,单纯无冠瓣瓣叶钙化,三叶瓣。左冠风险较高,缜密分析瓣叶遮盖率>50%,术中可能存在阻挡风险,需要术中球囊扩张时仔细辨认,并准备冠脉保护策略。综合评估考虑右股动脉更适宜为主入路。经过团队严谨的评估及充分的讨论,决定先行25mm球囊预扩并进一步确认冠脉风险,并准备TAV29和TAV32规格的ProStyle预装式可回收TAVR系统。 

LOVT

Annlus

瓣上2mm

瓣上  4mm

瓣上6mm

瓣上8mm

瓣上10mm

瓣上12mm

左冠评估

右冠评估

瓣环切线位窦部空间

左室空间

工作位1(共平面/左冠切)

工作位2(无窦切线/左右重叠)

腹主-股动脉入路

主动脉弓降入路

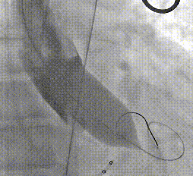
手术过程

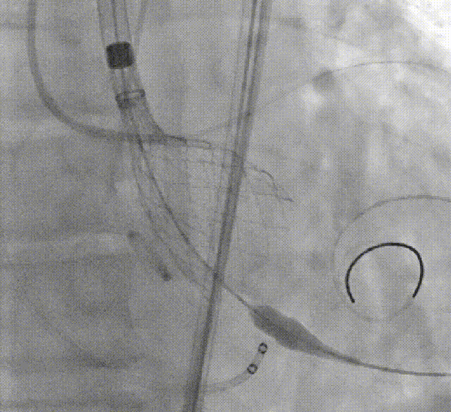
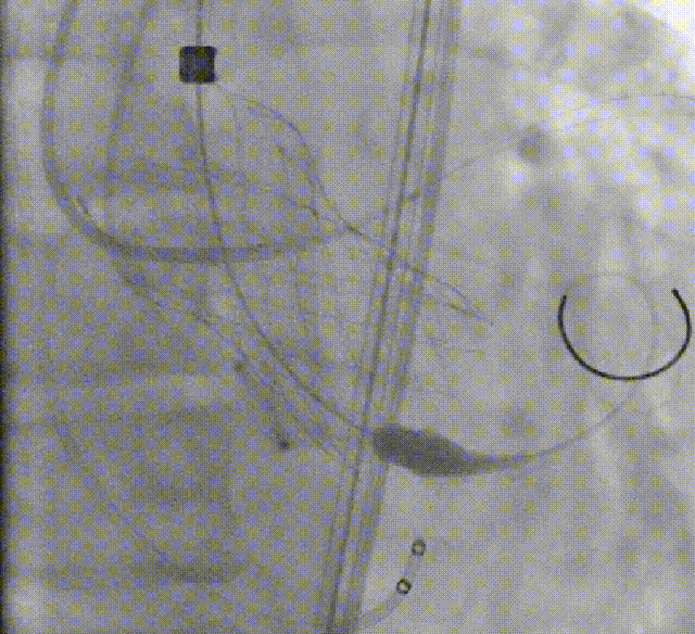
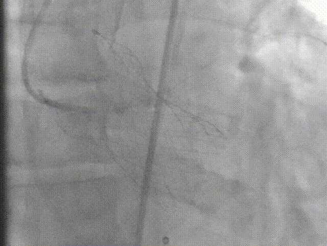
术者采用患者右侧主入路,顺利完成导丝和猪尾跨瓣等准备工作。进Landerquist超硬导丝,采用25mm球囊进行预扩,仔细评估冠脉风险后,决定对冠脉采取保护措施。根据球囊扩张情况,术中决定使用金仕生物的ProStyle预装干瓣TAV32。打开包装后,很迅速的完成了瓣膜和系统植入前的准备。输送过程系统和瓣膜轻松过弓并顺利跨瓣;开始初步释放,然后快速起搏下释放,发现位置略高后进行回收,重新定位后最终成功完成释放。反复造影发现冠脉存在阻塞风险,武汉协和团队按照风险预案在左冠植入4.0*18mm支架进行保护。术后显示左右冠脉血液灌注通畅,术后超声测量峰值流速1.45m/s,峰值压差8mmHg,几乎无瓣周漏。入路闭合顺利,无心脏及血管并发症,手术成功。

球囊扩张

初步释放

再回收后释放,术中冠脉评估

系统撤出

支架植入

术后评估

术后恢复情况

患者术后恢复良好,拟近日出院。

华中科技大学同济医学院附属协和医院结构性心脏病TAVR团队

武汉协和医院心脏大血管外科在董念国教授的领导下,在结构性心脏病领域持续探索,屡创佳绩:从2017年起,率先开展华中地区TAVR、华中地区生物瓣瓣中瓣植入、零造影剂下TAVR手术,华中地区独立手术的中心、定位键一体式TAVR、单纯反流病变经皮TAVR手术,经心尖TAVR.该中心已成为华中地区率先带教指导推广TAVR技术的中心,是全国完成四个瓣膜置换中心之一。

该团队尚小珂教授同时表示:金仕生物ProStyle新一代预装干瓣全可回收TAVR系统首例采用大瓣膜植入成功,证明该TAVR系统具有良好的过弓性能和可操作性,其安全性和有效性在接下来的确证性研究中将进行大样本量的验证。武汉协和医院结构性心脏病TAVR团队近期已成功开展多项前沿的创新器械与技术,为结构性心脏病患者提供丰富多样的治疗选择。

关于金仕生物ProStyle瓣膜:

由金仕生物科技研发的第三代介入主动脉瓣ProStyle,是全球第一款预装干瓣膜可回收系统,也是全球第一个进入NMPA注册临床试验的可回收预装瓣膜,标志着自主原创国产介入瓣的发展进入新的里程。金仕生物ProStyle瓣膜采用先进的MicroEX心包处理技术,有效的覆盖生物材料的钙结合位点,为牛心包材料提供了更加优异的抗钙化和生物力学性能。ProStyle创新的半预装的专利设计,干瓣在植入前处于展开的自然状态,极大的保障了瓣膜纤维组织的完整性和力学特性。干瓣不含醛残留,具更好的生物相容性和抗钙化性能。除此之外,ProStyle还集成多项核心技术,瓣膜可完全回收/重新定位、具有防瓣周漏裙边和内置鞘设计。

目前,华中科技大学同济医学院附属协和医院参与的ProStyle产品全国多中心NMPA注册临床研究,在部分经济困难的适宜主动脉瓣狭窄患者中,经核心实验室评估符合入选标准,可享受该瓣膜的免费捐赠,为广大主动脉狭窄患者带来福音。

阅读数: 1406
相关专题