周周寄语:
这周谈谈ECMO辅助:当遇到低流速低压差的AS患者,为了避免术中剧烈的血流动力学波动导致的循环崩溃,会考虑使用循环辅助装置。这种患者循环崩溃多数发生在球囊扩张前后,或者瓣膜输送系统到位后,因为瓣叶功能毁损,或者一侧瓣叶被输送系统顶开,导致急性的重度主动脉瓣反流,左室压急剧升高导致循环崩溃。此时如果没有辅助循环,通常需要边CPR边快速释放瓣膜,然后再持续CPR直至循环恢复,情况非常凶险。临床上可以选择的辅助装置主要是ECMO,或者体外循环装置。如果考虑术后可能带回CCU维持,首选ECMO。如果只考虑术中支持,体外循环装置也不失为一种经济的选择。
患者信息:
术前:反复呼吸困难伴胸闷3月余。
现病史:患者于3月前无明显诱因出现呼吸困难,轻微活动即可诱发,伴端坐呼吸,伴胸闷患者信息:伴双下肢轻度水肿,无咳粉红色泡沫痰,无腹胀,无晕厥,无咯血。至当地医院就诊,心脏超声示重度主动脉瓣狭窄,动态心电图示频发房早,2019年12月02日行冠脉造影示 RCA 中段次全闭塞,遂行 RCA — PCI 。术后行抗血小板、调脂、利尿处理,呼吸困难稍缓解。为进一步治疗至广东省人民医院就诊,2020年03月04日心脏超声示主动脉瓣病变,重度狭窄并重度反流,中度二尖瓣反流,中度三尖瓣反流,重度肺高压冠心病,PCI 术后:左室收缩舒张功能明显减退:少量心包积液:LVEF36%。拟诊断为“主动脉瓣狭窄合并关闭不全”收入心内科。
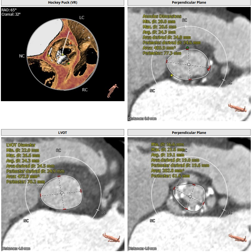
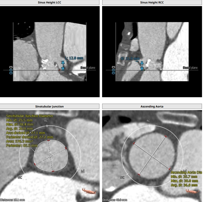
此病人瓣环为24.6,LVOT24.9,STJ27.2,法式窦长短径接近30,钙化积分767,右无窦融合,钙化较重,左窦侧瓣叶钙化较轻,瓣叶除钙化外,风湿样增厚,左冠高度12.8,右冠11.9,右无融合,左冠侧瓣叶长度到达左冠开口下缘,预计左冠风险相对较高,患者EF值低,心功能差,遂行ECMO辅助下TAVR术式。
根部解剖:
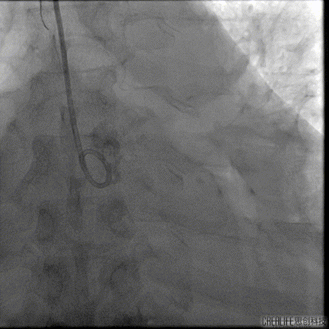
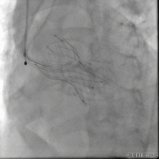
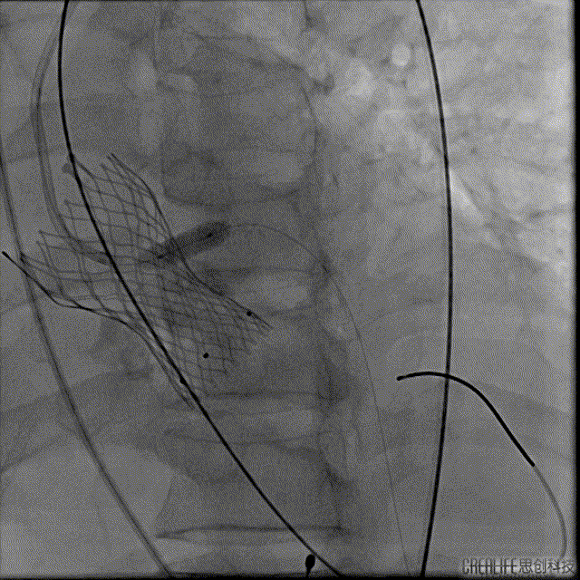
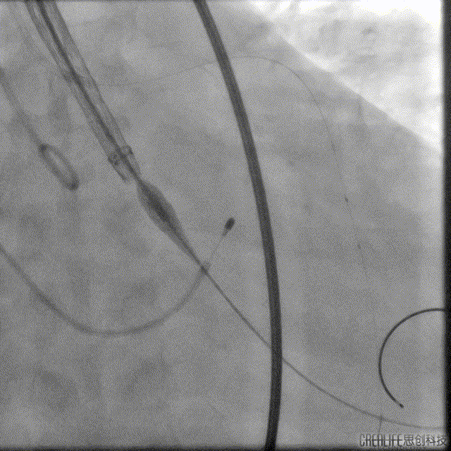
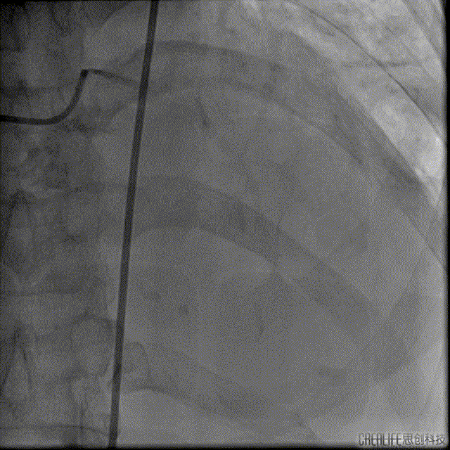
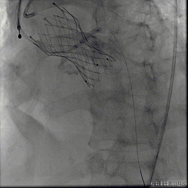
手术过程:
根部造影
Nmued20预扩
瓣膜定位
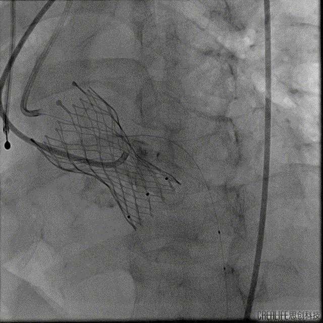
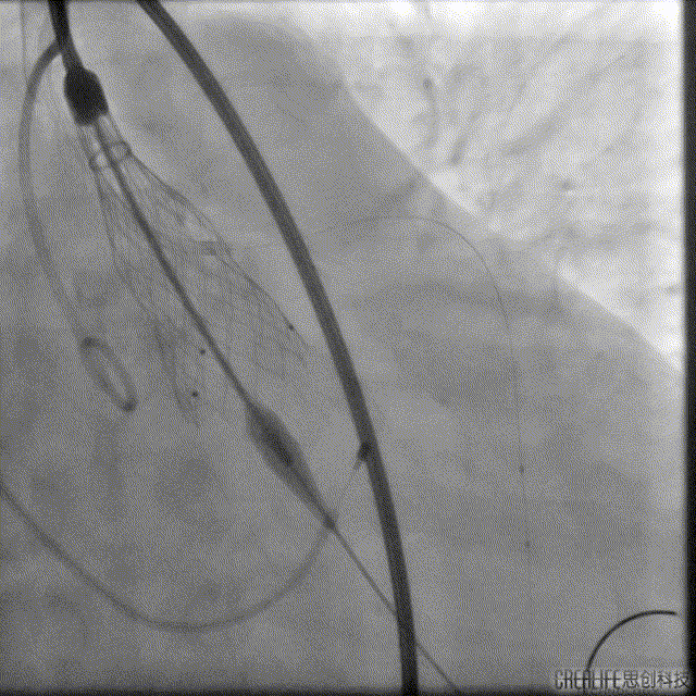
VenusA23前三分之一释放
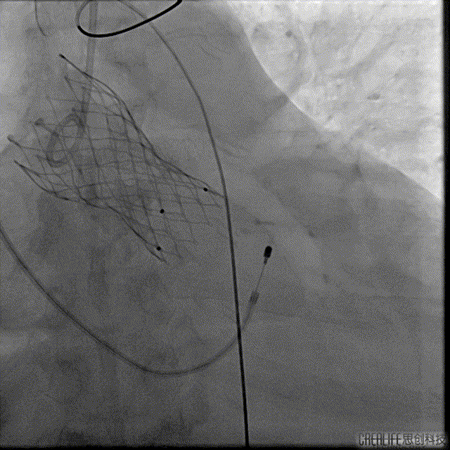
VenusA23冠脉保护下完全释放
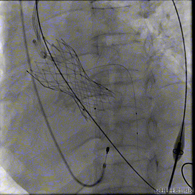
猪尾造影
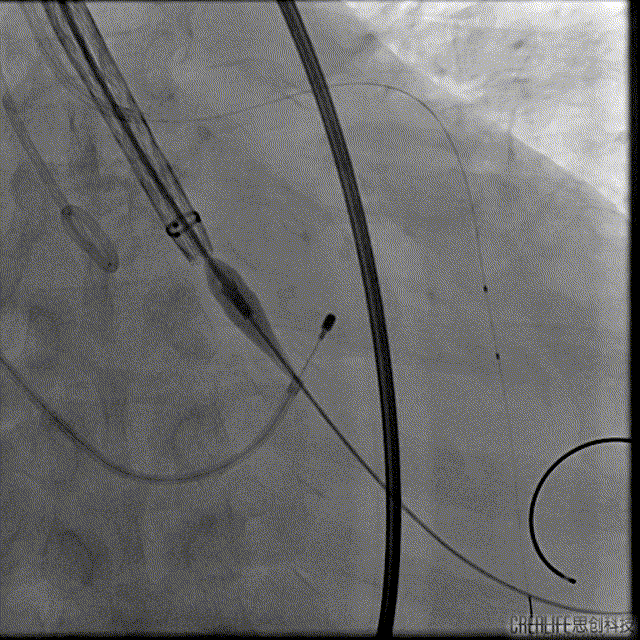
JL3.5runthrough到达前降支远端
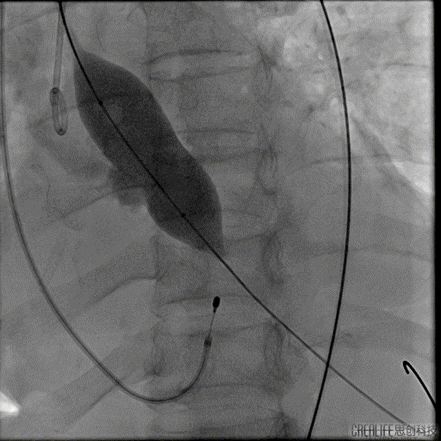
冠脉保护下Nmued20后扩
波科3.5球囊扩张
多体位造影左冠口狭窄70%
开窗支架
最后一枪造影,左右冠灌注良好
术后:
患者跨瓣压差消失,轻度瓣周漏,ECMO成功撤机后转入CCU,6天后转入普通病房,恢复后出院。
专家介绍

医学博士、主任医师、博士生导师。现任广东省人民医院心内科副主任,广东省人民医院南海医院院长、广东省人民医院血管病诊疗中心主任、广东省冠心病防治研究重点实验室副主任。
学术任职:美国心脏病学院Fellow (FACC)、欧洲心脏病协会Fellow (FESC)、美国心血管造影与介入学会Fellow (FSCAI)、首批Global Hybrid Algorithm Community国际认证Hybrid CTO带教专家、卫生部心血管疾病介入诊疗培训基地(冠心病介入治疗)导师。
中华医学会心血管病学分会大血管学组副组长、中国研究型医院学会心血管影像专业委员会副主任委员、中国研究型医院学会血管医学专业委员会副主任委员、中国医疗保健国际交流促进会血管疾病分会副主任委员、中国医疗保健国际交流促进会难治性高血压与周围动脉病分会副主任委员、中国医药教育协会血管医学分会副主任委员、广东省介入性心脏病学会周围血管介入分会主任委员、广东省医师协会心血管介入医师分会副主任委员、广东省医师协会心血管内科医师分会常务委员、广东省医学会心血管病分会结构性心脏病学组副组长等。
血管疾病多学科协作论坛(VMDT)执行主席、冠心病与周围血管介入沙龙(CPIS)执行主席、亚太CTO俱乐部广州峰会共同执行主席、亚洲心脏病学会年会秘书长等。
技术特长:擅长复杂冠脉病变、主动脉疾病、瓣膜疾病、周围血管病等的介入治疗。在国内率先开展脑保护装置下颈动脉介入治疗、经桡动脉行肾动脉介入治疗、快速起搏与经皮穿刺主动脉腔内修复术(TEVAR),2016年4月完成华南地区首例经导管主动脉瓣置换术(TAVR),2019年2月成功实施全球首例经股动脉途径TAVR联合TEVAR一站式手术,团队整体TAVR手术量已超过500台,已经帮助全国100家中心开展TAVR手术。
科研成果:获中国医药教育协会科学技术奖二等奖1项、广东省科学技术奖二等奖2项、三等奖2项。参编学术专著6部,发明专利4项,发表学术论文100余篇。先后承担省市级课题数项,培养硕博士20余人,目前在研经费超过500万元。

医学博士,副主任医师,硕士导师。
学术任职:中国医师协会心血管病分会结构组委员;广东省介入性心脏病协会结构分会常务委员;广东省医师协会心血管介入医师分会委员;广东省医师协会高血压分会青年委员;广东省医院协会心血管质控管理分会结构性心脏病学组委员;中国大湾区心脏协会精准诊疗分会委员;中国结构周秘书长;血管疾病多学科协作论坛(VMDT)秘书。
技术特长:擅长经导管主动脉瓣置换术,手术量超600台,帮助全国70多家中心开展TAVR手术。擅长复杂冠脉病变、主动脉疾病、瓣膜疾病、周围血管病等的介入治疗。