千磨万击还坚韧,任尔东西南北风|武汉协和医院Neonova™经导管二尖瓣夹合器连续植入成功

2021年6月伊始,由华中科技大学同济医学院附属协和医院董念国教授领衔,使用臻亿医疗全资子公司杭州端佑医疗科技有限公司自主研发的Neonova™经导管二尖瓣夹合器及输送系统,开展了命名为NIMVR STUDY—I/II/III的系列研究。8月13日下午,武汉协和医院心外科董念国教授团队、心内科曾秋棠教授团队、超声医学科谢明星教授团队、麻醉科武庆平教授团队再次使用Neonova™二尖瓣夹合器,成功为一位二尖瓣重度关闭不全的高龄患者实施经股静脉二尖瓣缘对缘钳夹术。NIMVR STUDY—I研究的顺利开展并且在短期内连续手术成功,与董念国教授团队的力学笃行辅车相依。从披荆斩棘到跬步千里,武汉协和医院瓣膜微创治疗团队的器械使用与手术技能镂月裁云,极大缩短了新器械的学习曲线,为后续开展NIMVR STUDY—II/III研究奠定了坚实的基础。

披荆斩棘的教授们

病人的一般情况

本例手术的患者是一位高龄男性,经超声心动图评估为二尖瓣后叶P2累及P1区脱垂,且P1区脱垂同样严重,重度反流伴随胸闷、气喘等临床症状,心脏瓣膜外科手术风险STS评分为8,经多学科评估建议为该患者进行经股静脉二尖瓣缘对缘钳夹术。值得一提的是疫情原因,原计划7月进行的手术推迟至8月份,等待期的患者通过第三方多次表达了希望尽快参与国产创新器械临床试用的意愿,并且相信在武汉协和医院可以保障他的安全和受益最大化。

手术过程

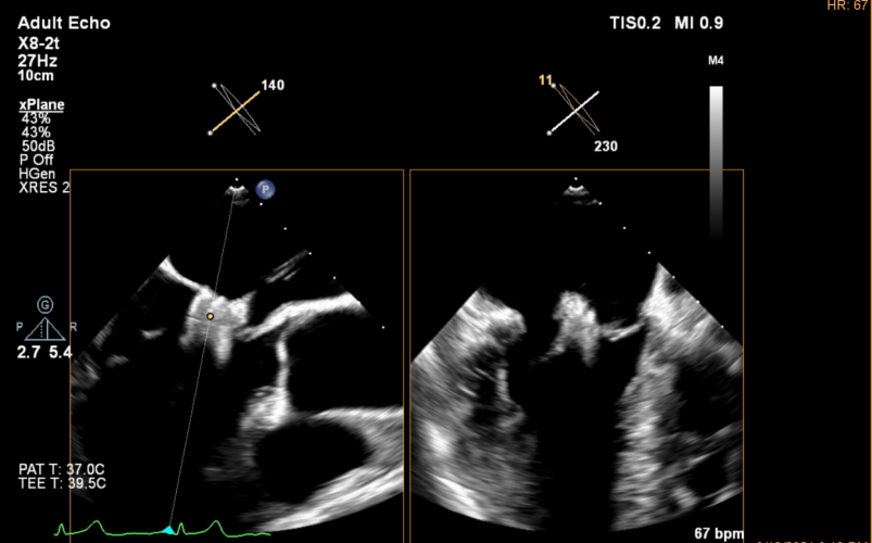
本次手术由尚小珂、陈澍,钟禹成教授为术者,超声医学科谢明星教授全程TEE监控引导下完成,法国波尔多里尔大学Thomas Modine教授远程指导。术后即刻超声心动图评估返流降至轻度,夹合器锚定良好、输送系统顺利撤出体外,手术取得圆满成功。

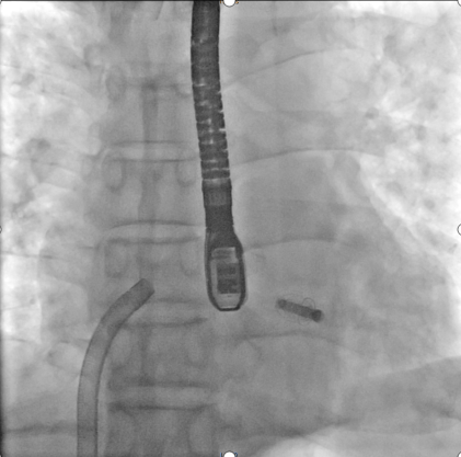
解离后DSA下夹合器形态

术后即刻超声心动图下夹合器形态

Neonova™经导管二尖瓣夹合器及输送系统

端佑医疗首席技术官表示:“作为一款全新的缘对缘修复器械,Neonova在结构设计上有许多独特之处。”其带来的优点有:

1.多款不同型号的瓣叶夹设计,符合中国人解剖特点,可以满足抓捕不同原因导致瓣叶的脱垂;
2.两个独立的瓣叶捕获固定装置,若出现单侧瓣叶固定捕获不佳可进行单独调整,从而减少反复双侧捕获对瓣叶造成的伤害;
3.特殊的封堵结构设计可以有效减少反流,使夹合器跟二尖瓣叶贴合更加紧密,同时减少瓣叶折叠程度,降低瓣叶所受的应力;
4.独特的机械结构设计,可以在夹合器缠绕二尖瓣腱索时轻松脱离;
5.优异的输送系统控弯性能,实现了极小的控弯半径和扭转传动比,从而确保器械顺畅精确地到达病变部位;
6.可同时运用于三尖瓣反流病变。

华中科技大学同济医学院附属协和医院结构性心脏病介入团队

武汉协和医院心脏大血管外科在董念国教授的领导下,在结构性心脏病领域持续探索,屡创佳绩:从2017年起,率先开展华中地区首例TAVR,华中地区首例生物瓣瓣中瓣植入,华中地区首例零造影剂下TAVR手术,华中地区独立手术的首家中心,华中地区首例手术全球直播,华中地区首例定位键一体式TAVR,华中地区首例单纯反流病变经皮TAVR手术,华中地区前30例经心尖TAVR......该中心已成为华中地区率先带教指导推广TAVR技术的中心,全国第三、华中地区第一家完成四个瓣膜置换中心。

该团队尚小珂教授同时表示:“NIMVR STUDY—I研究的连续成功,证明检验Neonova™是否满足临床可操作性和安全有效性上得到了肯定的答案,在接下来的NIMVR STUDY—II研究中将进行大样本量的验证。武汉协和医院结构性心脏病介入团队近期已成功开展多项最前沿的创新器械与技术,为结构性心脏病患者提供丰富多样的治疗选择,这在华中地区是史无前例的。”

阅读数: 548