近期,北京积水潭医院心内科刘巍教授团队成功应用VenusA-Plus®可回收输送系统为两名重度主动脉瓣狭窄患者行经导管主动脉瓣置换术,术后患者症状明显改善。北京积水潭医院首次独立开展结构性心脏病介入手术治疗取得成功,标志着积水潭医院开始迈入瓣膜病介入领域,在诊疗技术上同步进入可回收时代。
横位心+冠脉风险高难度TAVR
患者老年女性,84岁,2年前因憋气发现主动脉瓣重度狭窄,此次感染后诱发喘憋加重入院。患者长期血压偏低,93/51 mmHg左右。术前超声心动提示主动脉瓣瓣叶增厚、钙化,开放受限,最大瓣上流速560 cm/s,峰值压差126 mmHg、平均压差77 mmHg;左心室舒末内径45 mm,收末内径29 mm,室间隔及左室后壁对称性增厚,LVEF 57%。
瓣环平均直径:20.1 mm,左室流出道平均直径:20.8 mm
左冠开口高度:10.6 mm,存在冠脉风险;心脏呈横位,角度约为60°
钙化积分:419.9 mm³,中度钙化
左室大小尚可,心尖部位薄弱
CT评估结果显示,患者为三叶瓣,中度钙化,法式窦结构相对可,右冠高度可,左冠开口高度低,瓣叶上缘达左冠开口下缘,植入主动脉瓣膜后有一定概率压迫冠脉开口,冠脉阻塞风险较高。横位心,心脏角度约60°,左室大小可,升主动脉未见明显扩张。术前CT提示患者术后房室传导阻滞发生概率较高,手术操作复杂风险较大。
为评估冠脉风险,特利用3D打印技术,将患者主动脉根部整体打印出3D模型,分别用18mm和20mm球囊充分扩张根据瓣叶被推来的方向与高度评估左侧冠脉风险。经评估左侧冠脉风险较低。
又利用Feops软件模拟不同型号瓣膜植入深度 预测瓣周漏情况与传导阻滞的发生几率。最终选择高位释放L23瓣膜。
释放后主动脉窦造影提示瓣膜膨胀良好,左、右冠脉均显影正常,主动脉瓣轻度反流,TTE测定反流面积3.5 cm²。所以继续使用20 mm球囊进行后扩张,再次造影示瓣膜位置良好,左、右冠脉均显影正常,无明显反流。

术后即刻TTE提示人工主动脉瓣活动正常,平均跨瓣压差2 mmHg,主动脉瓣上最大流速1.45 m/s,未见瓣周漏,未见瓣中反流,LVEF 62%。术后第二天心电监护示波恢复窦性心律,心电图呈完全性左束支传导阻滞,避免了起搏器植入。
PCI+TAVR一站式手术
患者老年男性,83岁,严重冠心病合并重度主动脉瓣狭窄,超声心动图提示EF 70%,LVEDD 43m,主动脉瓣重度狭窄并轻度关闭不全。患者冠状动脉造影提示LAD中段重度钙化伴狭窄。
刘巍教授团队对其病变进行深入分析、反复讨论后,考虑该患者病情复杂,高龄,外科开胸风险较大,瓣膜情况复杂,病情严重。决定为该主动脉瓣重度狭窄患者进行一站式治疗,冠心病介入治疗后,同时进行经导管主动脉瓣置换术。
瓣环平均直径:21.8 mm,左室流出道平均直径:21.4 mm
左室小,心肌肥厚
主动脉全程可见较多斑块
CT评估显示主动脉瓣为三叶瓣,钙化积分:121.5 mm³,轻度钙化。左冠高度:15.3 mm,右冠高度:16.5 mm,冠脉高度可,法式窦结构大,左室小,心肌肥厚,升主动脉未见明显扩张。结合患者主动脉根部情况及病情等综合因素,决定使用VenusA-Plus®可回收输送系统,经由右侧股动脉入路拟植入L23型号瓣膜完成此次手术。
手术开始后,术者团队先对左前降支进行介入治疗,LAD钙化严重,使用2.0、2.5、3.0 mm球囊及切割球囊反复充分扩张后,Guidezilla辅助下将3.0*22 mm支架植入至中段病变部位,造影提示扩张充分支架贴壁良好。
完成PCI手术后,术者团队行主动脉根部造影,确认瓣环结构、瓣叶活动等情况符合术前评估结果,选择经右侧股动脉入路,予以20 mm球囊进行扩张后,植入VenusA-Plus® L23型号瓣膜。
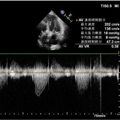
首次释放后发现植入位置不理想,利用VenusA-Plus®的可回收功能对瓣膜进行回收,重新精准定位后再次释放瓣膜。造影提示冠脉无阻塞,轻微主动脉瓣反流,无瓣周漏,术后即刻超声提示最大流速不足200cm/s,最大压差16mmHg,血压恢复至105/56 mmHg。术后患者状态恢复良好,已平稳出院。

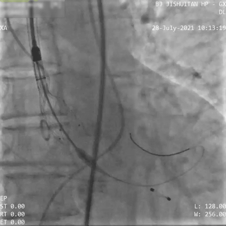
瓣膜释放过程

瓣膜完整形态
作为北京积水潭医院首次开展的两例TAVR手术,得到了积水潭医院院领导的大力支持,兄弟科室的密切合作。同时安贞医院周玉杰教授瓣膜团队也为手术的安全性提供强有力的保证。两例手术均采用局麻,在影像、经胸超声的共同指引下,充分利用VenusA-Plus®高支撑力,可回收的优势,凭借娴熟的技术,和团队的整体配合,调整输送系统至最佳位置实现精准释放,患者跨瓣压差即刻显著下降,取得了更好的临床获益。主动脉造影均提示瓣膜置入位置良好、形态完整,超声提示未见明显瓣周漏。术中及术后未出现相关并发症,圆满取得两例手术成功。刘巍教授带领的心内科介入团队将为周边地区主动脉瓣重度窄患者带来福音。
专家简介

北京积水潭医院心内科主任,主任医师、副教授、硕士研究生导师、医学博士。
于首都医科大学附属北京安贞医院心内科工作15年,先后在新加坡国立大学Tan Tock Seng医院,日本东邦大学大森医院心血管介入中心,美国休斯顿德州医学中心Methodist医院Debacky心血管中心及德州大学医学部接受心内科及心血管介入培训。
擅长冠心病介入治疗和结构性心脏病介入治疗。特别在主动脉疾病的诊断及介入治疗方面具有丰富的临床经验,帮扶国内十余家医院实施介入工作。在国内首先开展准分子激光治疗复杂冠心病。
目前担任欧洲心脏病学会委员,美国心脏病学会委员,中华医学会心血管分会冠心病与动脉粥样硬化学组委员,北京医学会心血管分会理事,青委会副主任委员,中国医师协会心血管分会结构学组委员等,北京生理学会理事。