首例成功 再接再厉/厦门大学附属心血管病医院王焱教授团队再次成功完成申淇淇麟™二尖瓣缘对缘修复系统患者植入

王焱院长团队自6月份圆满完成运用自主知识产权的全新一代经导管二尖瓣缘对缘修复系统的全球首两例人体植入后,经过1个多月的随访,患者恢复良好。8月伊始,厦门大学附属心血管病医院王焱院长领衔的结构性心脏病团队,再次运用自主知识产权的全新一代经导管二尖瓣缘对缘修复系统 - 申淇淇麟™系统,为一位高危重度功能性二尖瓣反流患者成功实施了股静脉途径经导管二尖瓣介入修复术,手术过程顺利,患者术后恢复良好,次日下地行走,近期出院。此次研究的顺利开展,标志着以北部战区总医院韩雅玲院士为主要研究者的申淇淇麟™二尖瓣缘对缘修复系统全国多中心首次人体临床研究(FIM)正式进入推进阶段。

研究纳入患者为83岁高龄女性患者,诊断重度功能性二尖瓣反流FMR,在最佳药物治疗3个月以上的情况下二尖瓣反流仍无明显减轻,且存在临床症状,反复心衰发作病史,身体极度虚弱,同时患者合并包括房颤等多种并发症,STS评分15.2 %,经过心脏团队多学科讨论,评定患者不适合传统外科手术,决定行经导管二尖瓣缘对缘修复手术。此次手术由北部战区总医院韩雅玲院士、苏黎世大学医学院Maurizio Taromasso教授在线指导。

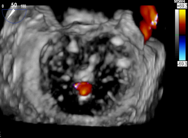
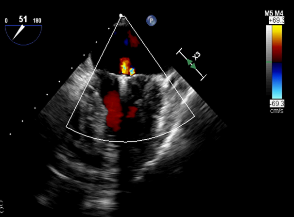
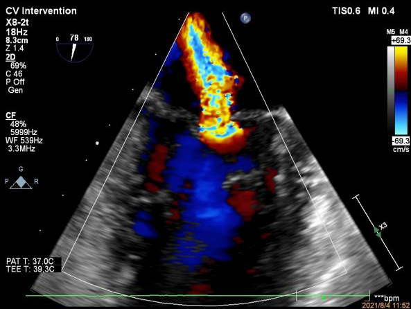
患者术前TEE提示重度功能性二尖瓣反流,反流位于A2/P2,瓣膜活动度可,后瓣较短,手术难度较高(图1)。手术采用经典股静脉房间隔途径,房间隔穿刺后植入24F导引导管及二尖瓣夹输送系统,在TEE引导下准确植入一枚二尖瓣夹,瓣膜夹位置稳定。瓣膜夹植入后反流明显减轻至轻度(图2),二尖瓣跨瓣平均压力阶差2mmHg,双孔化形成,遂移除输送系统。

患者术后恢复良好,术后TTE提示MR仅为轻度,瓣膜夹位置稳定。此次研究的顺利开展,标志着厦门大学附属心血管病医院在王焱院长带领下,在二尖瓣介入诊疗领域迈出了坚实的一步,成为国内少数几家能够独立开展股静脉途径经导管二尖瓣缘对缘修复技术的心血管病中心,也标志着申淇淇麟™二尖瓣缘对缘修复系统获得更多医生的认可。

  图1:术前TEE提示重度二尖瓣反流

  图2:植入一枚瓣膜夹之后二尖瓣反流明显减轻

二尖瓣病变是发病率最高、介入治疗难度最大的瓣膜疾病。据欧美流行病学显示,真实世界二尖瓣疾病治疗率不足5%,其主要由于较高的传统外科手术风险所致。在我国,据不完全统计,二尖瓣病变潜在患者人数逾千万,治疗缺口极大。同时,由退行性(DMR)及功能性(FMR)二尖瓣关闭不全构成的复杂二尖瓣反流疾病谱,大大增加了该类瓣膜病变的治疗难度。介入二尖瓣诊疗器械的研发已成为全球心血管介入诊疗领域的热点及难点,而唯一成熟的介入二尖瓣技术便是经股静脉途径经导管二尖瓣缘对缘修复系统,以雅培MitraClip为代表的成熟临床器械已被FDA,CE,NMPA批准用于治疗包括DMR及FMR的全二尖瓣疾病谱病变。

申淇淇麟™经股静脉途径经导管缘对缘瓣膜修复系统是由上海申淇医疗科技股份有限公司研发的具有完全自主知识产权的瓣膜介入修复系统,该系统的问世,为我国广大的二尖瓣反流患者提供了更多新的治疗选择。相信在韩雅玲院士,王焱教授等业内专家的指导下,通过此次临床研究,能够充分验证该系统的安全性和有效性,从而为正式开展上市前注册临床研究打下坚实的基础,让国产创新医疗器械更早、更多地惠及中国患者。


专家简介

王焱

厦门大学附属心血管病医院

厦门大学附属心血管病医院院长;香港大学医学博士、教授、主任医师、博士生导师;美国心脏病学院会员(FACC);欧洲心脏病学会会员(FESC);国际心血管介入学会会员(FSCAI);中华医学会心血管分会委员;中国胸痛中心认证委员会副主任委员;中华医学会心血管病学分会介入心脏病学组副组长、海峡两岸医学卫生交流协会心血管病分会候任主任委员,国家卫生健康突出贡献中青年专家,享受国务院特殊津贴。

王斌

厦门大学附属心血管病医院

医学博士,主任医师,厦门大学副教授,硕士研究生导师;中国胸痛中心区域认证中心(厦门)分中心办公室主任;厦门大学附属心血管病医院急诊科主任,胸痛中心主任;中华医学会心血管病分会结构组委员,中国医师协会心血管病分会结构组委员,中健科会结构专委会委员,中国胸痛中心认证专家;中国医促会血管高血压分会委员;福建省医学会心血管病分会青年委员;海峡两岸医药卫生交流协会心血管病分会委员;亚洲青年结构俱乐部黄金会员;澳大利亚The Prince Charles Hospital (TPCH)学习 ;厦门市第九批拔尖人才,厦门市第四批青年创新人才;从事心血管内科临床、冠脉、结构性心脏病介入及胸痛中心建设、维护及认证工作。

阅读数: 9245
相关专题