“天空把答案都藏的好美丽,倒可以 多点信心,我为了了解爱的神秘下定决心,谁中意 星座话题,快告诉我哪一颗星应该怎么搞定,可惜天气 阴晴不定‘’——《十二星座》 。
那么当十二星座遇上PCI和IVUS,会给我们演绎怎样的故事,接下来有请武汉大学中南医院心血管内科的范永臻教授为我们一一讲述,首先有请水瓶座。
大家好,欢迎来到星座PCI,我是范永臻。在十二星座中最清醒的星座是哪个?很多人站台水平座,他们人情世故看的很透彻,也很容易看穿别人在想什么。水瓶座喜欢标新立异,在别人眼中非常独特。在我们PCI遇到的患者中,有一类人群是对造影剂过敏的,还有的患者肾功能欠佳不能耐受造影剂使用的。那么对于这样的患者,水瓶座的医生如何处理呢?下面分享一个病例——IVUS指导0造影剂PCI。
“Zero Contrast ” PCI : How Its Done?
Medical History
• 63岁,女性,活动后心绞痛3月, CKD V (Cr 336, GFR 11.8)
• 危险因素:高血压,2型糖尿病
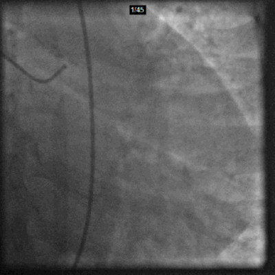
Ultra-low Contrast Angiography-RCA
RCA 2.4mL
Angiography-LCA
AP/CAU 3.3mL
AP/Cr 3.4mL
CAG造影剂用量:10.1mL
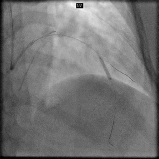
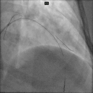
Cx Wire (Anchor)
以CAU体位的造影静态图为路标,送入回旋支导丝
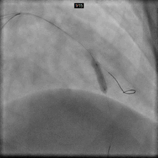
LAD Wire
先后以CAU及CRA体位的造影静态图为路标,送入前降支导丝

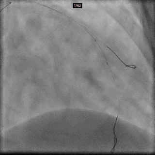
D1 Wire
以CRA体位的造影静态图为路标,送入对角支导丝

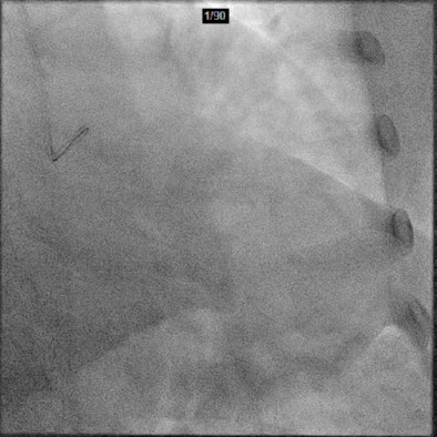
IVUS Co-registration
以IVUS探头位置记录下支架远端落脚点参考位置(无须“冒烟”)
Previous angiogram used as roadmap
IVUS测得LAD远端参考直径(media-media) = 3.65mm
以IVUS探头位置记录下支架近端落脚点参考位置(无须“冒烟”)
Previous angiogram used as roadmap
IVUS测得LAD近端参考直径(media-media) = 4.03mm
IVUS指导支架植入位置及尺寸
远端参考直径3.65mm
Distal to Proximal 17.61mm
近端参考直径4.03mm
1.2.0*20mm半顺应性球囊进行预处理
2.植入3.5x18 Stent
Stent Deployment
以IVUS探头位置记录下的远端参考位置,作为支架远端落脚点(无须“冒烟”)
3.5x18 以12atm 释放
Targeted Optimization
根据IVUS测得参考直径,先后选择3.5x15、 4.0x15 NC球囊进行后扩张优化处理
Post PCI-IVUS
IVUS 检测提示支架贴壁良好,扩张充分,支架边缘无夹层,支架内无明显脱垂
Alternatives
• 可以选择使用3ml造影剂明确术后前降支血流及边支受累情况
• 若患者术中无明显胸闷胸痛不适,生命体征平稳,可选择不做最终造影
“Zero Contrast “ PCI
• IVUS的灵活应用使得肾功能不全、造影剂过敏等不能耐受造影剂的患者也可精准、安全的接受PCI术
• IVUS指导PCI可以使PCI术中明显减少造影剂的使用量或完全不使用,降低甚至避免造影剂肾病发生
• 但需要术者在术中对IVUS灵活、规范、成熟地解读及使用
团队介绍:
武汉大学中南医院心内科是全国腔内影像与功能学培训中心,湖北省心血管介入培训基地,强生电生理培训中心,全国胸痛中心、心衰中心、晕厥中心等。年介入量八千余台次,专科特色为腔内影像指导下复杂高风险冠脉介入、各类心律失常的消融手术、希蒲系统起搏和无导线起搏、先心病介入和瓣膜病介入手术、MDT团队配合下的心脏危急重症诊治。
专家介绍
武汉大学中南医院副主任医师,美国心血管研究基金会(CRF)fellow,中国冠脉腔内影像及功能学学会(CCEC)委员,中部复杂冠脉学组委员,中国冠脉血流贮备分数专家共识执笔人,Crossroad冠脉生理培训导师;
2013.1-2013.6 日本草津心脏中心研修血管内超声及复杂冠脉介入手术,师从冠脉介入大师、CCT主席Eisho Kyo教授;
2014.9-2015.9 于韩国首尔大学心脏中心担任访问学者,研修冠脉介入技术及冠脉生理学,师从世界著名冠脉生理学家Bon-Kwon Koo教授;
2018.7-2019.7 于美国心脏基金会(CRF)、哥伦比亚大学医学中心、纽约长老会医院担任访问学者及冠脉介入fellow,接受系统的最新冠脉腔内影像技术培训,师从著名冠脉腔内影像学大师Gary S. Mintz教授;
获得国家卫计委冠脉介入手术资质,擅长使用IVUS、OCT、FFR等新技术指导复杂冠脉病变手术。在国内外发表学术论文数篇,曾数次在ACC、TCT、CCT、IPS、ENCORE、TCTAP等国际学术会议交流学术及研究成果,参与编写冠脉介入专著3部。