近期,汕头市中心医院心胸外科联合心血管内科、麻醉科、超声诊断科、手术室、介入室等多个科室,与广东省人民医院心外科郭惠明、刘健TAVR团队联合在复合手术室成功完成四例TAVR手术,患者术后恢复良好。迄今为止,汕头市中心医院心外科已成功完成6台TAVR手术,成为粤东地区第一个能够为患者开展微创换瓣的心外科团队。
病例一
type1型二叶瓣,重度钙化
钙化主要分布在右冠窦和无冠窦
左冠高度稍低,存在一定冠脉风险
Annulus:25.8mm
LVOT:27.1mm
STJ 30.6mm
升主动脉:38.4mm
LM:10mm
RM:12.2mm
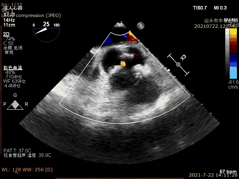
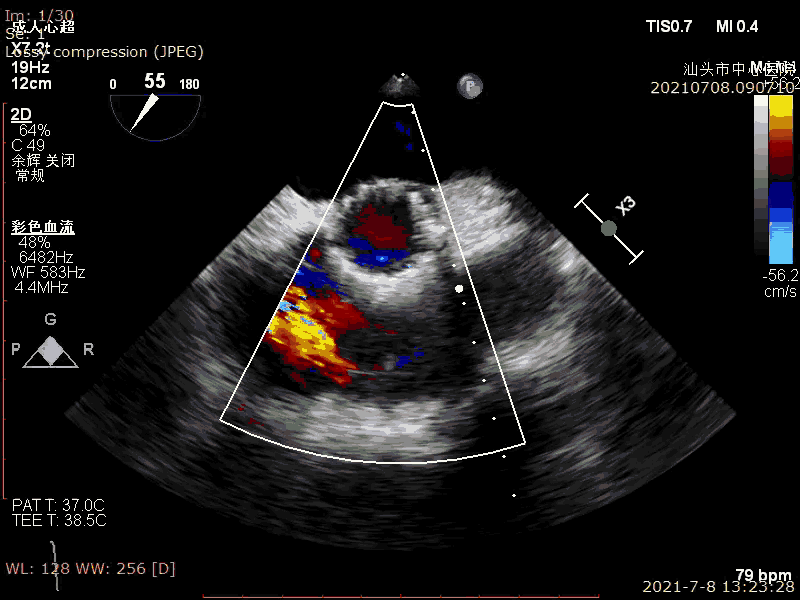
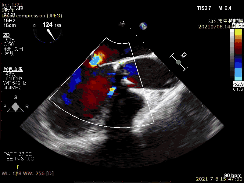
超声示:
LVEF:63%
重度主动脉瓣狭窄并轻度反流
CT分析
以3个窦消失最低点确认的平面作为虚拟瓣环平面初步筛选瓣膜尺寸。自展瓣参考周长得出的Annulus直径,该病人为25.8,根据自膨胀瓣膜特点需要oversize,初步判断为29/32瓣膜。LVOT直径大于Annulus,短径24mm,足够限制瓣膜,提供锚定支撑力。STJ高度足够,可提供足够空间给原有瓣叶,过宽的STJ则无法提供释放中锚定支撑力。
窦部的空间与左右冠脉开口高度结合瓣叶形态,是否增厚可以初步判断瓣叶是否会在瓣膜植入后遮挡冠脉开口造成急性的冠脉堵塞。该病人左冠开口略低,且钙化集中在右冠和无冠窦,判断冠脉风险较高。需术中球扩判断是否进行冠脉保护。
升主动脉未见增宽,心脏角度合适极重度钙化,多集中在基底部位二叶瓣重度钙化THV需要downsize选择26/29瓣膜。
钙化积分:
0-400 轻度
400-600 中度
600-800 重度
800以上 极重度钙化
投照角度:左冠切线位球囊扩张时采用,可以观察左冠是否有冠脉风险,工作体位三窦平均拉开,无冠窦位于最低处方便瓣膜释放和定位心室大。
入路:入路观察是否有溃疡、钙化、迂曲、血管狭窄等情况,以判断夹层风险。该病人入路情况良好,优先选择右股作为输送系统主入路。
病例分析及手术策略
术前分析
患者为二叶瓣重度狭窄并轻度返流,重度钙化,主要集中在右冠窦和无冠窦,可能会把THV往左冠方向推,左冠开口高度低,认为左冠风险大。此次手术风险大,对瓣膜释放位置要求高,两个限制条件,都大大增加了手术难度。
我院心脏瓣膜团队陈天博主任与广东省人民医院刘健教授团队对患者病变进行深入分析、反复讨论后,结合患者病情复杂等因素,决定使用VenusA-Plus®经导管人工主动脉瓣膜置换系统-可回收输送系统,选用L26型号的瓣膜经由右侧股动脉入路完成此次手术。
手术策略
选用22mm球囊进行预扩张,参考瓣环直径、左室流出道直径、钙化分布等因素,根据球扩的结果,考虑选用L26型号瓣膜。由于冠脉风险大、合并轻度钙化所以选择在可回收系统下标准位释放,球囊扩张时观察是否需要冠脉保护。
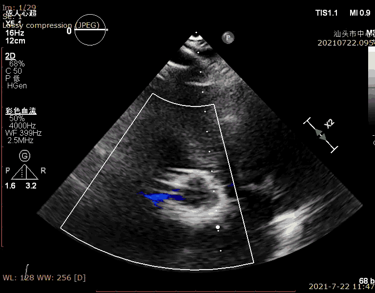
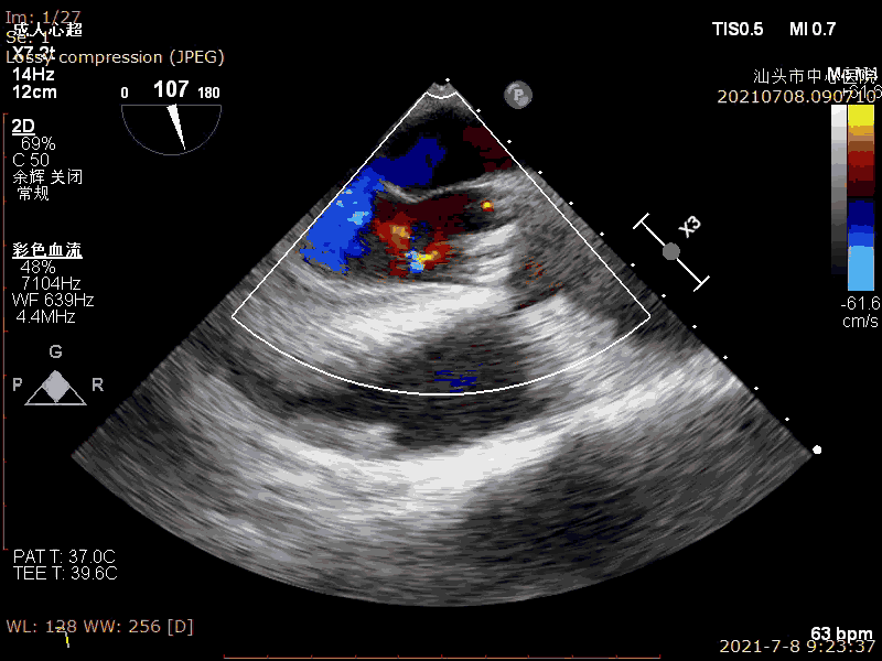
术前超声

手术流程

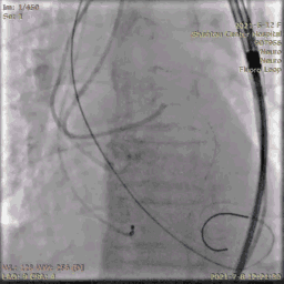
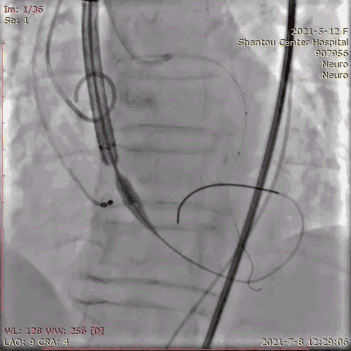
主动脉根部造影
临时起搏器植入后,辅入路穿刺,猪尾导管置于无冠窦底进行主动脉根部造影。
初步判断释放体位是否合适。
观察瓣叶活动度、是否合并反流,有利于跨瓣。
左右冠通畅,存在一定反流,有一定耐受能力,球扩时,循环崩溃风险较小。
左冠窦瓣叶活动度高、无钙化,无冠窦右冠窦活动度减轻,且钙化集中在基底部,右冠风险较左冠低。

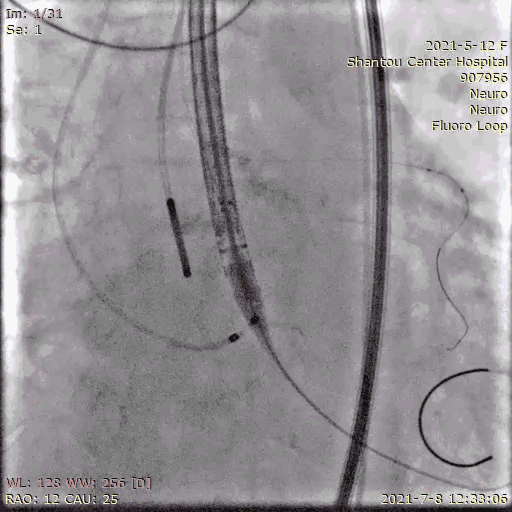
球囊预扩张
180bpm起搏后打球囊,造影,撤球囊,停起搏。22球囊预扩后,观察该患者有细微反流,左冠瓣叶略微遮挡冠脉开口,决定进行冠脉保护。

冠脉保护
指引导管将保护球囊送入左冠,防止紧急冠脉堵塞,若瓣膜释放后左冠灌注不良,则行开窗/烟囱植入冠脉支架。
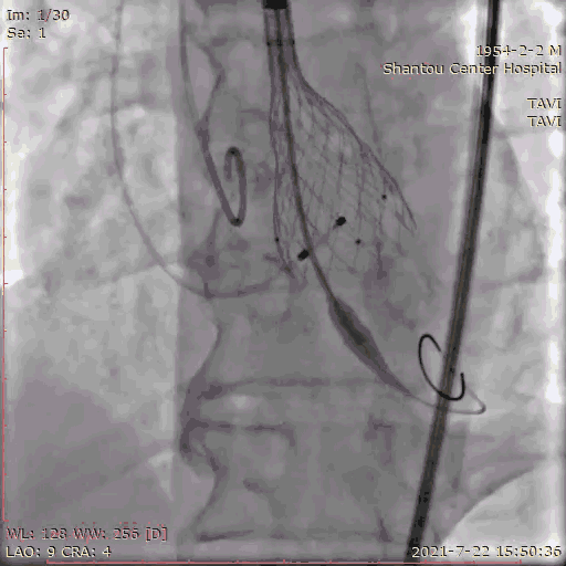
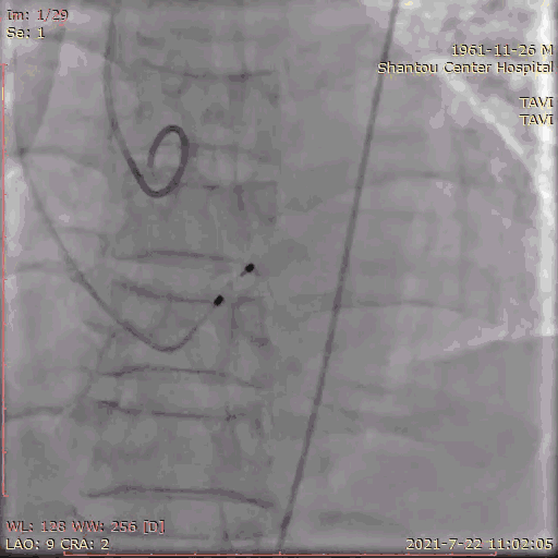
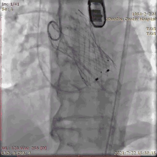
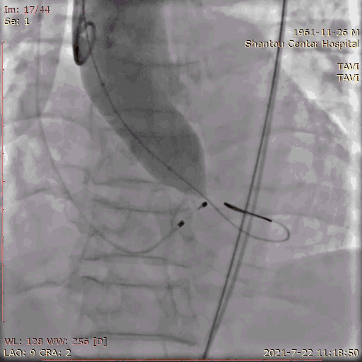
送入输送系统

输送系统定位




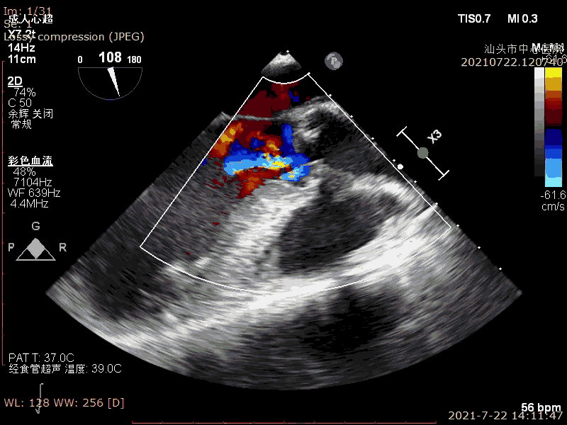
术后超声
病例二
type0型二叶瓣,中度钙化
Annulus:27mm
LVOT:31.7mm
STJ:33.6mm
升主动脉:37mm
LM:19.3mm
RM:22.5mm
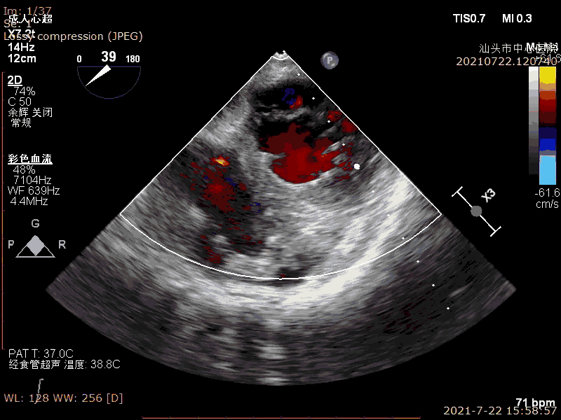
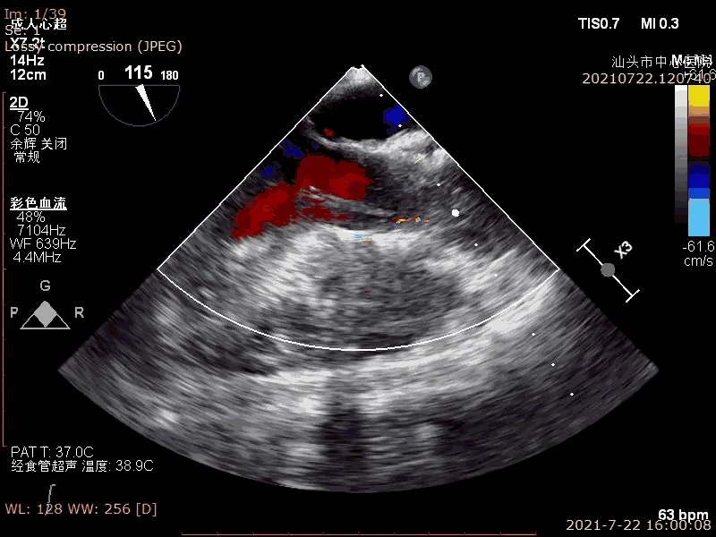
超声示:
LVEF:37%
疑似低流量低压差病人
中-重度主动脉瓣狭窄并轻度反流
术前超声

CT分析
Anulus 27,LVOT 34.2,短径25.9,STJ高度可,初步预估32/29瓣膜。
窦部短径26mm、左右冠空间足够,冠脉高度可心脏角度51°、升主未增宽。
体位:LAO 4° CRA 7° ;type0型二叶瓣一个角度即可,有需要可测cusp-overlap角度;轻度钙化,位于瓣叶游离缘,基本不影响瓣膜位置。
心尖薄,导丝塑性需注意形态,入路可,右股做为主入路。
预装32瓣膜,25球囊扩
手术流程
术前怀疑冠脉有狭窄,一站式冠脉造影检查,狭窄程度无需行PCI。
冠脉造影
左右冠通畅,存在一定反流,有一定耐受能力,球扩时,循环崩溃风险较小。双侧瓣叶活动度高。

主动脉根部造影
180bpm起搏后打球囊,造影,撤球囊,停起搏;25球囊预扩后有略微漏,冠脉通畅,选择32瓣膜。

球囊预扩张

输送系统定位,标准位置释放
120bpm起搏

轻微反流,压差降低

病例三
功能型二叶瓣,轻度钙化、贲门癌
Annulus:23.5mm
LVOT:22.2mm
STJ 32.4mm
升主动脉:39.7mm
LM:11.8mm
RM:15.7mm
超声示:
LVEF:70%
重度主动脉瓣狭窄并中度反流
CT分析
Annulus:23.5,初选26/29瓣膜。LVOT短径19.3mm,STJ高度足够,宽度适中。
窦部空间足够,升主增宽,左右冠高度合适。
心脏角度不大,轻度钙化,左右窦黏粘;释放体位LAO 9、CRA 1;运用cusp-overlap技术定位角度;RAO17°、CAU 28° 。
心室腔较小,左右入路正常,患者为二叶瓣轻度狭窄并轻度反流,使用Venus-A可回收输送系统,放置L26瓣膜,病人同时伴有贲门癌,改为经胸超声检测病人瓣膜形态。
术前超声
手术流程
主动脉根部造影
导丝跨瓣
180bpm起搏后打球囊,造影,撤球囊,停起搏;22球囊预扩后,观察到无反流,左右冠脉通畅。决定使用26号瓣膜。
球囊预扩张

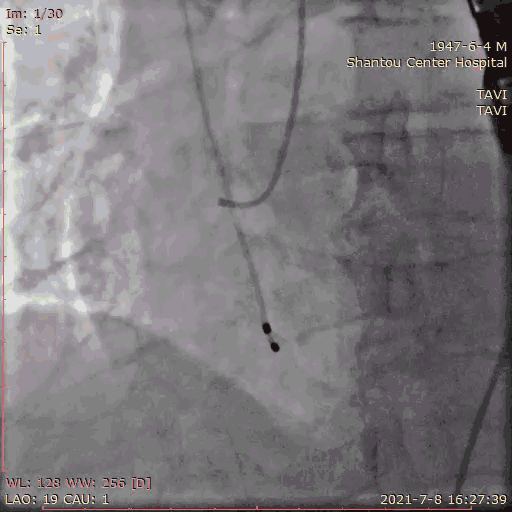
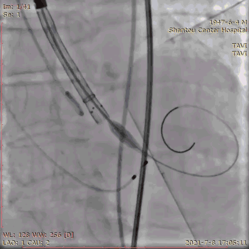
输送系统定位
有一定瓣周漏,位置良好

球囊后扩,贴合更加良好
反流明显减轻
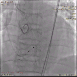
撤出大鞘,主入路缝合,造影示入路血管。灌注良好。
病例四
功能型二叶瓣,轻度钙化、瓣叶增厚
Annulus25.7mm
LVOT:24.0mm
STJ:32.2mm
升主动脉:35.9mm
LM:13.2mm
RM:16.1mm
超声示:
LVEF:71%
重度主动脉瓣狭窄并中度反流
CT分析
Anulus 25.7、LVOT 23.7;STJ高度可,窦部空间足够;初步预估29/32瓣膜。
升主未见增宽,角度尚可,轻度钙化。
左右冠高度不低,球扩体位:LAO 26、CRA 18;释放体位:LAO 9、CRA 4;心室腔略小。
入路直径足够,分叉点足够高。右股作为主入路。
手术流程
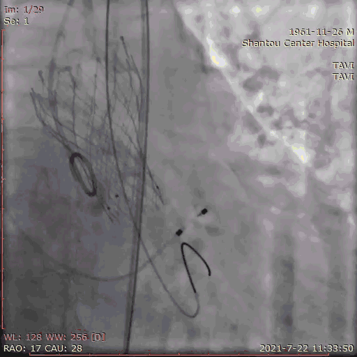
主动脉根部造影

跨瓣
180bpm起搏后打球囊,造影,撤球囊,停起搏;23球囊预扩后无漏,冠脉通畅,选择29瓣膜。

球囊预扩张

输送系统定位,标准位置释放

25球囊后扩
无瓣周漏
闭合入路,股浅股深无误
无瓣周漏
手术意义
相比较欧美患者,中国主动脉瓣膜狭窄患者的二叶瓣畸形比例很高,这类患者通常表现出钙化重、不对称、角度大且合并升主动脉疾病等特点,手术难度很大,因此临床迫切需要加快器械的更新换代。VenusA-Plus®在保留第一代VenusA-Valve®经导管人工主动脉瓣膜置换系统强径向支撑力的优势基础上,增加了可回收、可重新定位的功能,能有效降低手术难度,缩短医生的学习曲线,加速TAVR手术在我国的发展普及,让更多术者掌握这一技术,从而惠及更多病患。
近期的4台TAVR手术成功完成,标志着汕头市中心医院心外科成为粤东地区领先的瓣膜团队,为广大粤东地区瓣膜病患者带来福音。

中心介绍:
汕头市中心医院心胸外科于20世纪50年代成立,是粤东地区最早建立的省级医学重点专科,近年来,开展先心病外科封堵手术、胸腔镜心脏手术、经导管人工主动脉瓣膜置换术(TAVR)等新技术,取得较好效果,获得广大患者欢迎。同时,科室常规开展(1)各类先天性心脏病和风湿性心脏瓣膜病手术、包括低体重儿、婴幼儿先天性心脏病,杂心脏畸形矫治手术等技术难度较大的手术。二尖瓣置换、主动脉瓣置换、双瓣置换等手术的成功率达95 %以上。(2)冠心病和大血管疾病外科治疗:包括心脏不停跳冠脉搭桥手术,二尖瓣+主动脉瓣置换+冠状动脉搭桥同期手术,主动脉夹层急诊外科手术,马凡氏综合症bentall手术和巨大腹主动脉瘤切除、人造血管置换手术等。(3) 微创心脏病手术,包括先天性心脏病外科微创封堵手术及胸腔镜心脏手术等。从2021年初开展TAVR手术,如今已积攒了6台手术经验,是在粤东地区领头的一家心脏瓣膜中心。
专家简介

大外科主任兼心胸外科主任、外科教研室主任、心血管病中心主任。广东省"十一五"医学特色专科学科带头人,中山大学硕士生导师。“国务院政府特殊津贴专家",“南粤好医生”和”优秀医学专家”等。
主要社会学术任职:
中国医师协会心血管外科医师分会委员,广东省医师协会心血管外科学会副主任委员;广东省医学会心血管外科分会常委等。

医学博士,副主任医师。现任汕头市中心医院心胸外科副主任,广东省医师协会心血管外科分会青年委员,擅长对风湿性心脏病、瓣膜性心脏病、冠状动脉粥样硬化性心脏病、先天性心脏病以及大血管疾病的诊治。