2021年7月27日,滨州医学院烟台附属医院王胜强教授团队,联合北京安贞医院张海波教授,成功完成一例腋动脉入路下TaurusElite经导管主动脉瓣膜系统植入。为一名“主动脉瓣重度狭窄、二尖瓣中度狭窄、心力衰竭、心功能IV级别”的患者进行了经导管人工主动脉瓣植入手术。瓣膜植入后工作稳定,未出现冠脉阻挡。患者术后即刻清醒,血流动力学指标得到明显改善。
患者基本信息:
72岁老年男性,主因“胸闷憋气2年,食欲不振10天”入院。既往高血压病史、糖尿病、陈旧性脑梗死病史明确。冠状动脉动脉粥样硬化,2020年1月15日行冠脉造影示:左主干未见明显异常,左前降支近段约60%狭窄,左回旋支近段约60%狭窄,左冠中段约60-70%狭窄。10天前感食欲不振、伴乏力,症状呈持续性,为求近一步治疗就诊我院门诊,以”心力衰竭“收入我科。超声心动图显示左房增大,心室壁增厚,二尖瓣狭窄(中度)三尖瓣少量返流,肺动脉高压(中度)CT报告显示冠状动脉粥样硬化,左、右冠内径可。
病例特点:
该病人为一例主动脉瓣重度狭窄并严重外周血管病变患者。
①患者主动脉瓣叶重度钙化,钙化分布欠均匀,锚定难度不高,瓣膜位移风险适中,预估瓣膜植入后支架受钙化挤压,存在瓣周漏风险;
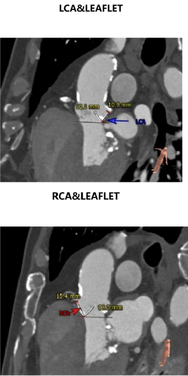
②患者左冠开口高度约12.2mm,近端开口处可见钙化,左冠窦瓣叶长度大于左冠开口到瓣叶根部距离,结合瓦氏窦宽度预估,左冠稍有封堵风险;
③患者主动脉根部、升主动脉和主动脉弓管壁弥漫性钙化,血管瓷化,输送器过弓、跨瓣操作难度偏高;
④患者腹主动脉及双侧股髂动脉多发重度钙化,左髂外动脉次全闭塞病变,右髂动脉局部环状钙化,血管内径较细,血管并发症风险偏高。
主动脉根部评估:
CT数据显示该患者为三叶三窦式主动脉瓣。
主动脉瓣瓣环周长70.8mm,平均周长径 22.6mm,SOV:31.9mm*28.0mm*29.0mm,瓣叶增厚,瓣上见明显钙化,瓣环水平夹角48°,左冠高度12.2mm,右冠高度15.5mm,HU850钙化积分704mm³。
钙化评估及主动脉弓影像:
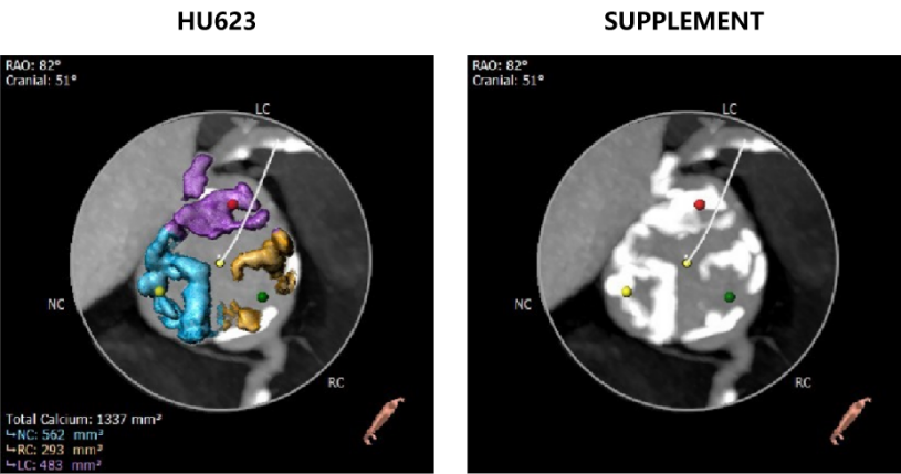
HU623钙化积分1337mm³,主动脉弓见大量钙化。
弓部角度及宽度尚可。
左心室影像:
左室腔较小,心室壁见明显增厚。
外周血管影像:
入路血管严重钙化,左髂外动脉次全闭塞病变,右髂动脉局部环状钙化,血管内径较细。
手术策略讨论:
①患者主动脉瓣重度钙化,钙化分布欠均匀,人工瓣膜植入后存在钙化挤压、瓣周漏风险,应灵活应用回收功能,调整瓣膜至最佳位置;
②患者左冠开口高度约12mm,近端开口可见钙化,瓣叶略大于开口高度,结合瓦氏窦宽度,应制定左冠保护策略;
③患者主动脉弓距可,主动脉弓夹角可,但主动脉弓大量附壁钙化,血管瓷化,避免暴力过弓引起血管内壁损伤及其他相关并发症;
④患者腹主动脉及双侧髂股动脉多发重度钙化,左髂外动脉次全闭塞病变,右髂动脉局部环状钙化,血管内径较细,血管并发症风险较高,必要时可选择桡动脉及其他外周动脉作为入路血管。
手术过程概览:
术前测量,患者主动脉峰值流速452cm/s,平均跨瓣压差36mmHg,术中通过患者左侧锁骨下动脉建立辅入路,造影示主动脉根部明显钙化,左室内中量反流影像。
右侧股动脉入路建立后,在双侧髂总动脉汇合处遭遇顽固钙化,器械无法向心推进,术中改以左侧腋动脉为主入路。
22mm球囊预扩影像示双侧冠脉灌注良好,无明显腰征,决定植入AV26号瓣膜。
造影辅助下精准释放
术后即刻评估:
造影,超声示微量瓣周漏,术后平均跨瓣压差5mmHg,主动脉血流峰值流速1.7m/s,患者血流动力学指标显著改善。
王胜强教授团队术后复盘总结:
本例TAVR手术,既是我院开展的第一台TAVR手术,同时也是沛嘉Taurus瓣膜上市后第一次采取腋动脉入路的TAVR手术。患者基本情况较差,合并有高血压、糖尿病、冠状动脉性心脏病等疾病。既往有明确脑梗史,入院后颈部超声则提示右侧颈总动脉有效内径较小,脑部存在供血不足风险。经CT评估后确认,患者外周血管内壁普遍钙化严重,左侧髂外动脉存在钙化封堵,整体入路风险较大,左侧辅入路较难建立。经术前讨论,改以左锁骨下动脉为辅入路血管。术中造影示患者主动脉瓣严重钙化,并有中度反流影。在右侧主入路大鞘置入过程中,由于患者血管钙化迂曲情况复杂,大鞘难以进入。经内外科同仁商讨,改以左侧腋动脉切开入路为主入路。
左侧腋动脉入路建立后,团队密切配合,高效完成了跨瓣、球囊预扩操作。22mm球扩影像示双侧冠脉灌注良好,无明显腰征,决定植入AV26号瓣膜。输送器过弓顺利。在瓣膜定位过程中,通过善用造影辅助,我们成功将瓣膜定植于预定释放位(瓣环下约3mm处)。瓣膜释放后形态规整,工作状态良好,未发生明显位移。
本例植入,虽然患者病情复杂,但经由团队密切配合,终给予患者病情较大改善。在手术过程中,TaurusElite输送器系统良好的血管顺应性,让我们团队印象深刻。此次腋动脉入路TAVR术的成功,证明了沛嘉出品的经导管人工主动脉瓣膜系统在外周中动脉内的广泛适用性,为临床术者提供了解决股动脉入路状况不良患者的TAVR施术方法。
专家介绍

心血管内科主任,临床医学硕士,主任医师。目前担任亚太心脏联盟结构性心脏病分会委员、中国医师协会结构性心脏病专业委员会委员、原济南军区心血管专业委员会副主任委员、山东省高血压联盟常务委员、山东省医师协会心律失常专业委员会常委,山东省医师协会心血管介入医师分会委员等学术职务。
毕业于第二军医大学,对心血管疾病的诊断和治疗具有丰富的经验,擅长冠心病、急性心肌梗死、扩张性心肌病的综合优化治疗;高血压、高血脂、糖尿病、心力衰竭的综合诊治。在心脏病介入治疗方面有深厚造诣。其中先心病封堵术、心力衰竭的三腔起搏器治疗、经桡动脉入路复杂冠脉介入治疗、室性心律失常的射频消融治疗,急性心肌梗塞的急诊介入治疗等方面在省内处于领先水平,已完成各种心脏介入手术10000余例。发表SCI论文3篇,国家级论文20余篇,主编专著1部,参与编译专著一部。