2021年7月25日,在手术团队的密切配合下,山东大学齐鲁医院心脏外科张希全教授和谷兴华教授成功完成了健世科技经导管主动脉瓣置换系统(Ken-Valve)确证性临床研究的首例入组,手术圆满成功!此次捷报再次充分展示了Ken-Valve的安全性和优异临床效果,未来定可为更多的患者带来福音。
患者信息
患者为71岁男性,因“活动后胸闷乏力6个月,加重1月余”入院。查体:血压146/54mmHg,心率81次/分,心律齐,于R2可闻及中度哈气样舒张期杂音。超声心动图示:主动脉重度返流;左室壁节段性运动不良;左心扩大、室间隔增厚,左室充盈异常。术前CT评估显示,LVOT周径24.9mm,面积443.3m²;瓣膜无钙化,主动脉瓣瓣环面积522.1m²。综合考虑LVOT较瓣环偏小,遂选用JS/TAVI 27 Ken-Valve人工瓣膜进行经心尖TAVI手术。
手术过程
手术采用经心尖入路的策略。患者全麻后,在左侧心尖处(胸部对应位置)切开3-4cm的小切口,随即在DSA及超声引导下植入Ken-Valve瓣膜,手术仅耗时6分钟。术后即刻返流由术前大量转为消失,术后测得跨瓣压差为6mmHg,血流速度为1.2m/s。
术前超声影像图
术前DSA影像图
术中释放定位件造影图
瓣膜释放过程
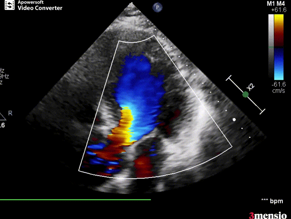
术后超声影像图

术后DSA影像
此次手术是Ken-Valve经导管主动脉瓣置换系统在山东地区的首次临床应用,手术成功标志着该区域主动脉瓣疾病的治疗手段更加多样化,为主动脉瓣返流患者提供更有效的治疗策略。
主动脉瓣是左心室与升主动脉连接的阀门,心脏在收缩时处于开放的状态,血流从左心室流入升主动脉,进而使全身的供血得到一定的支持,而心脏在舒张时主动脉瓣是处于关闭的状态。主动脉瓣返流是指左心室与升主动脉连接的阀门出现了关闭不全,血液大量回流至左心室、全身器官供血不足,长此以往心功能逐渐下降的情况。患者会出现胸闷、气短、头晕、乏力等症状,严重影响生活质量和预期寿命。主动脉瓣返流传统治疗手段为外科手术治疗,使用人工主动脉瓣替换本身病变的瓣膜,手术创伤大,患者恢复慢。近年来开展的主动脉瓣介入手术创伤小、无需体外循环,患者术后恢复快,且可以缩短住院时间,在危重的单纯主动脉瓣返流患者中有更好的应用前景。
根据相关行业研究报告显示,至2020年底,主动脉瓣狭窄在中国及全球的患病人群分别为440万和2,000万人,主动脉瓣关闭不全(返流)为390万和2,700万人。仅在中国,主动脉瓣返流患者数目已由2014年的350万人增加至2020年的390万人,到2025年预计将增至440万人,在全球范围内将超过2900万人,大量主动脉瓣返流患者的治疗需求未被充分满足。
目前,健世科技已成功与长海医院、北京阜外医院、武汉协和医院、北京安贞医院、四川大学华西医院、西京医院、山东大学齐鲁医院、上海瑞金医院、福建协和医院以及浙江大学医学院附属第一医院等多家知名医疗机构达成合作,开展确证性临床研究。随着主动脉瓣产品Ken-Valve确证性临床试验的开展,安全性和优异的临床效果获得了众多临床医生的认可,相信未来定会为广大结构性心脏病患者带来获益!