近日,广东省人民医院罗建方教授,范瑞新教授TAVR团队完成一例因腹主动脉瘤且腹主迂曲,无法常规使用股动脉作为入路,经综合评估,决定使用左颈动脉作为入路,最终顺利完成手术。
周周寄语:
这周谈谈纯反流。目前用经股动脉TAVR做纯反流的患者仍然是III类适应证,不过因为纯反流的患者群体其实是超过狭窄的患群很多的,所以经常会遇到外科手术高危的纯反流病人,如何去治疗这些患者?是否可以尝试用TAVR来治疗纯反流?经股TAVR治疗纯反流的解剖适应证是什么?国内的不少同行在这方面做出探索。本中心回顾了之前做的30例纯反流患者,简单做了一些分析和总结,供大家讨论。瓣中瓣的发生率大概在20%左右,使用最多的型号是29mm(34%)和32mm(34%),其次是26mm(31%),没有使用过23mm瓣膜。三叶瓣占79.3%,二叶瓣占13.7%,四叶瓣占6.9%。解剖上来看,瓣环平均直径是24.99±2.80mm,流出道平均直径是25.85±3.55mm,STJ平均直径是33.31±3.97mm,升主动脉平均直径是37.55±3.61mm。总体来说瓣环选择的oversize在15.88%±6.45左右。我们认为,在严格挑选解剖的情况下,是可以用TAVR治疗纯反流的。瓣环≤25,流出道≤26,STJ≤33,升主动脉≤37,这四个平面的解剖学参数不超过以上标准,或者4个满足3个以上标准,同时非开放性流出道(A/L≥0.96),那么一个瓣膜成功的可能性会比较大。其次就是瓣膜释放的一些小技巧,这个我们卖个关子,且听下回分解。
本次的病例解剖上来说是比较大的,所以术者很巧妙的选择了经颈动脉。一方面是因为我们评估患者的腹主动脉瘤,上下的瘤颈不够,不适合行腔内治疗,所以不考虑一站式手术,那么就只能绕行;另一方面,利用颈动脉距离短,控制稳的优势,大胆尝试在大结构的纯反流患者中行TAVR治疗,最后效果完美。
术前评估:
患者男,83岁,解剖为三叶瓣,瓣环径25.5,LVOT25,法式窦结构大,长短颈均超过43,左冠高度16.2,右冠高度18.4,STJ39.9,高度为27.7,升主动脉稍增宽,均径在40.1。
综合整体结构,决定选用VenusA29号瓣膜进行植入,VenusA29号瓣膜29MM的瓣环经相对于25.5的瓣环解剖,25的LVOT有13%以上的oversize,且STJ高度为39.9,升主为40.1,相对于VenusA29号瓣膜最大处44的特点,均可以提供锚定力。
病例难度主要在于患者入路,该患者腹主迂曲且腹主动脉瘤,无法经常规股动脉入路进行植入,广东省医TAVR团队是国内率先开展颈动脉入路的中心之一,李捷教授介绍,经颈动脉入路TAVR的难点在于整个MDT团队的配合,对于手术器械的摆放,术中无菌操作,尤其是释放瓣膜时器械的整体稳定性相比于常规股动脉入路都对整个团队提出更高的要求。此例患者心功能差,且为避免长时间阻断颈动脉对患者远期脑功能造成影响,导管操作时间需尽量控制在20分钟以内,此次此颈入路反流病例,在华南地区,尚属首例。
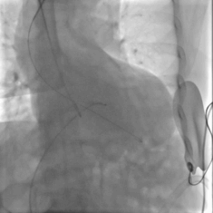
根部解剖:
入路解剖:
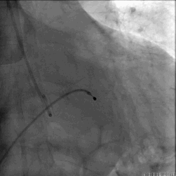
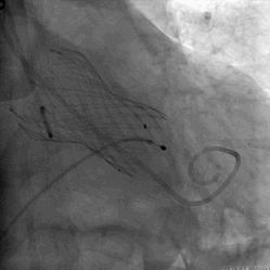
手术过程:
跨瓣DSA
根部造影
瓣膜释放DSA
最后一枪造影
术后:
瓣膜功能良好,患者反流消失,颈动脉阻断时间12分钟,患者术后顺利苏醒,无脑血管并发症,一周后顺利出院。
专家介绍

医学博士、主任医师、博士生导师。现任广东省人民医院心内科副主任,广东省人民医院南海医院院长、广东省人民医院血管病诊疗中心主任、广东省冠心病防治研究重点实验室副主任。
学术任职:美国心脏病学院Fellow (FACC)、欧洲心脏病协会Fellow (FESC)、美国心血管造影与介入学会Fellow (FSCAI)、首批Global Hybrid Algorithm Community国际认证Hybrid CTO带教专家、卫生部心血管疾病介入诊疗培训基地(冠心病介入治疗)导师。
中华医学会心血管病学分会大血管学组副组长、中国研究型医院学会心血管影像专业委员会副主任委员、中国研究型医院学会血管医学专业委员会副主任委员、中国医疗保健国际交流促进会血管疾病分会副主任委员、中国医疗保健国际交流促进会难治性高血压与周围动脉病分会副主任委员、中国医药教育协会血管医学分会副主任委员、广东省介入性心脏病学会周围血管介入分会主任委员、广东省医师协会心血管介入医师分会副主任委员、广东省医师协会心血管内科医师分会常务委员、广东省医学会心血管病分会结构性心脏病学组副组长等。
血管疾病多学科协作论坛(VMDT)执行主席、冠心病与周围血管介入沙龙(CPIS)执行主席、亚太CTO俱乐部广州峰会共同执行主席、亚洲心脏病学会年会秘书长等。
技术特长:擅长复杂冠脉病变、主动脉疾病、瓣膜疾病、周围血管病等的介入治疗。在国内率先开展脑保护装置下颈动脉介入治疗、经桡动脉行肾动脉介入治疗、快速起搏与经皮穿刺主动脉腔内修复术(TEVAR),2016年4月完成华南地区首例经导管主动脉瓣置换术(TAVR),2019年2月成功实施全球首例经股动脉途径TAVR联合TEVAR一站式手术,团队整体TAVR手术量已超过500台,已经帮助全国100家中心开展TAVR手术。
科研成果:获中国医药教育协会科学技术奖二等奖1项、广东省科学技术奖二等奖2项、三等奖2项。参编学术专著6部,发明专利4项,发表学术论文100余篇。先后承担省市级课题数项,培养硕博士20余人,目前在研经费超过500万元。

医学博士,副主任医师,硕士导师。
学术任职:中国医师协会心血管病分会结构组委员;广东省介入性心脏病协会结构分会常务委员;广东省医师协会心血管介入医师分会委员;广东省医师协会高血压分会青年委员;广东省医院协会心血管质控管理分会结构性心脏病学组委员;中国大湾区心脏协会精准诊疗分会委员;中国结构周秘书长;血管疾病多学科协作论坛(VMDT)秘书。
技术特长:擅长经导管主动脉瓣置换术,手术量超600台,帮助全国70多家中心开展TAVR手术。擅长复杂冠脉病变、主动脉疾病、瓣膜疾病、周围血管病等的介入治疗。