2021年7月27日,在纪智礼书记、张宏家院长、朱俊明和孟旭教授的大力支持下,首都医科大学附属安贞医院心外科张海波教授团队成功挑战高难度“横位心”、单纯主动脉瓣关闭不全的病例,这代表了宁波健世科技经导管主动脉瓣置换系统(Ken-Valve®)确证性临床研究在安贞医院首例入组圆满成功!患者术后恢复良好,再次验证了Ken-Valve®的安全性和有效性。
患者资料
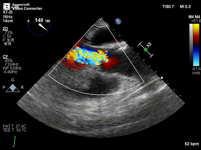
患者为84岁女性,因“主动脉瓣重度关闭不全”收治入院。入院诊断:主动脉瓣重度关闭不全,心功能IV级;冠状动脉粥样硬化性心脏病。心脏超声提示“主动脉瓣重度关闭不全;瓣口水平以下左室下壁、后下壁搏幅减低;左房、左室大、右房大小正常高限;主动脉硬化;左室收缩功能减低”。经张海波教授团队综合评估,患者属于外科手术高危人群。
CT评估

术前分析及手术策略
患者瓣膜结构为三叶瓣,无明显增厚和钙化,法式窦结构,双侧冠脉开口高度可。升主动脉增宽,主动脉根部角度78°。主动脉瓣环周径78.8 mm,面积487.9 mm²,平均直径25.1 mm;左冠高度14.7 mm,右冠高度14.7 mm;左室流出道周径26.0 mm,主动脉窦管交界处(STJ)高37.5 mm。
患者年龄较大,主动脉瓣单纯关闭不全,瓣膜锚定难度高,且该病例为典型的“横位心”,瓣膜释放空间较小。与王坚刚、李岩、王胜询、郑帅、孟斐、张春晓教授会诊讨论后,张海波教授团队决定利用3D打印技术,选择27#Ken-Valve瓣膜完成此次手术。
手术过程
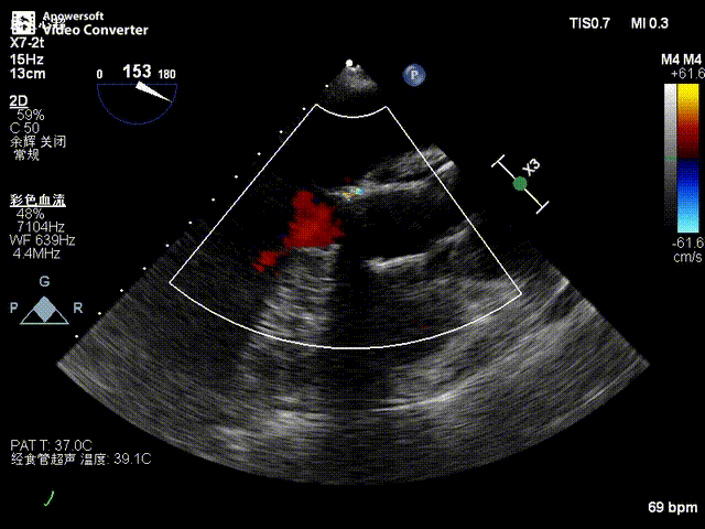
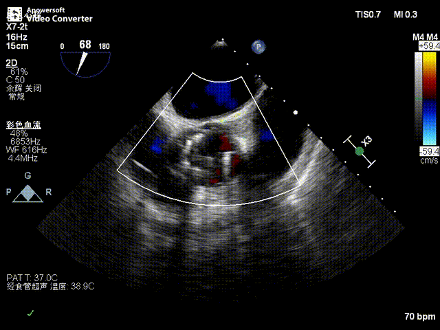
患者全麻后,于左侧心尖3-4cm处进行微创手术切口。在DSA及超声引导下,输送Ken-Valve瓣膜系统进入左心室,边调弯边推送,使得瓣膜在术中始终保持较好的同轴性,从送入输送器到瓣膜释放不足十分钟。术后即刻患者反流消失,于外科杂交手术室拔除气管插管,次日即由ICU转入普通病房。
术前超声影像图

术前DSA影像图
术中释放定位键后DSA影像图
术中瓣膜释放过程
术后超声影像图

术后DSA影像
术后点评
张海波:单纯主动脉瓣关闭不全治疗的新利器
张海波教授:此病例为单纯的主动脉瓣关闭不全患者。CT分析提示,主动脉根部角度为78°,为重度“横位心”患者,给瓣膜的植入带来了巨大的挑战。术中采用了Ken-Valve输送系统,进入左心室后进行调弯,减少了对升主动脉的影响,从而增加了瓣环上的操作空间,保证了瓣膜的同轴性,整个手术过程十分顺畅。对于重度横位心、单纯主动脉瓣关闭不全的病例,这是难能可贵的。术后即刻患者反流消失,结果令人满意。由于Ken-Valve瓣膜具有独特的定位件及裙边设计,其他长支架自展瓣难以企及。
目前,安贞医院已经在国内率先完成3例FIM临床试验入组、1例确证性临床试验入组,手术均获得圆满成功。此外,健世科技已成功与长海医院、北京阜外医院、西京医院、武汉协和医院、北京安贞医院、四川大学华西医院、上海瑞金医院、福建协和医院、浙江大学医学院附属第一医院等多家知名医疗机构达成合作,开展Ken-Valve®确证性临床研究,为广大主动脉瓣疾病患者提供优质的解决方案!