患者男性,57岁,主因“反复咳嗽、咳痰、活动后气短16年,加重伴腹胀3月”入院。
现病史:
16年前(2005年)于受凉后反复出现咳嗽,咳少量白色粘痰,上楼或搬运重物时感气短,于当地职业病医院确诊为“尘肺(II期)”,予抗炎、袪痰、平喘对症治疗后好转,其后上述症状间断发作,对症治疗后好转;7年前(2014年)无明显诱因出现咯血,量约10ml,就诊于当地医院,予抗感染、止血药物等对症治疗咯血好转,其后每年因间断咯血反复住院对症治疗。2年前(2019年)因活动后呼吸困难加重就诊于当地三甲医院,查超声心动图示重度肺动脉高压,肺通气灌注显像示双肺多发通气灌注显像不匹配,CTPA示双下肺动脉狭窄,诊断为“纤维性纵隔炎、重度肺动脉高压”,予利尿、吸入支气管扩张剂、肺动脉高压靶向药物等治疗,患者活动后呼吸困难缓解不明显,为进一步治疗入我院。自发病以来精神状态一般,食欲不佳,大小便正常,体重无明显减轻。
既往史及个人史:
高血压病史10余年,长期口服硝苯地平控释片,1年前因齿龈增生停用,血压未见明显升高。吸烟8年,10支/日,已戒烟20余年。接触矿石10余年。对“泰诺”药物过敏,否认食物过敏史。婚育史和家族史无特殊。
查体:
体温36.3℃,脉搏103次/分,呼吸20次/分,血压130/85mmHg
口唇无明显紫绀,颈静脉无怒张,双肺呼吸音粗,未闻及干湿性啰音和胸膜摩擦音,心率103次/分,律齐,三尖瓣区可闻及Ⅲ级收缩期杂音,无心包摩擦音。腹软无压痛,双下肢轻度水肿。
诊治经过:
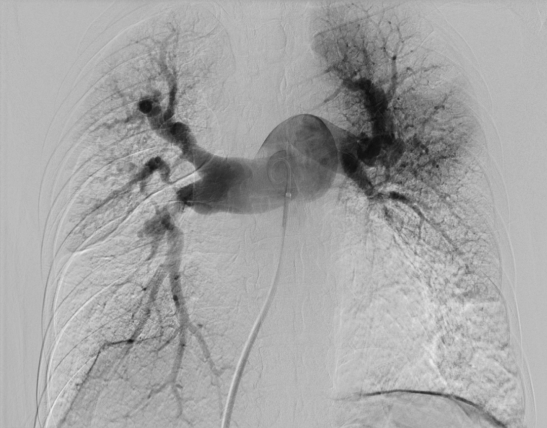
第一次入院(2019.12)查血常规、凝血功能、血沉、抗核抗体谱均(-);肝肾功能:总胆红素 29.78μmol/L↑,甘油三酯2.69mmol/L↑;NT-proBNP 4369pg/ml;血气分析(FiO2 0.21):pH 7.45、PaCO2 40mmHg、PaO2 78mmHg;超声心动图估测PASP 57mmHg;CTPA示纤维性纵隔炎,双肺多发肺动脉起始部狭窄,左肺下叶肺动脉闭塞,双肺内尘肺改变。
右心导管检查:肺动脉压75/25(42)mmHg,PVR 16.5WU;
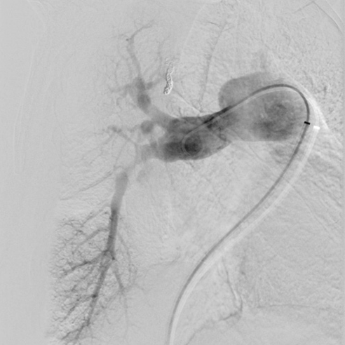
肺动脉造影:右肺上叶前段、后段肺动脉,中叶肺动脉、基底干肺动脉重度狭窄,尖段肺动脉迂曲扩张;左肺下叶肺动脉次全闭塞。
对右肺上叶前段、后段和基底干肺动脉行球囊扩张治疗。出院后应用利伐沙班、他达拉非等药物治疗。
第二次(2020.9)因咯血入我院,查NT-proBNP 1760pg/ml,2020-09-21行支气管动脉栓塞术,2020-09-23右心导管检查:肺动脉压70/27(41)mmHg,PVR 16.1WU,对左肺舌段和基底干肺动脉行球囊扩张治疗。
第三次(2021.3)复查入院,查NT-proBNP 857pg/ml,CTPA示左肺下叶肺动脉较前好转,右肺基底干肺动脉仍然重度狭窄。
考虑患者病变单纯球囊扩张效果不佳,未再行球囊扩张治疗,建议患者择期行肺动脉支架植入术,予利尿、抗凝,他达拉非和马昔腾坦治疗出院。患者出院后仍有活动后呼吸困难,上二层楼需要休息。
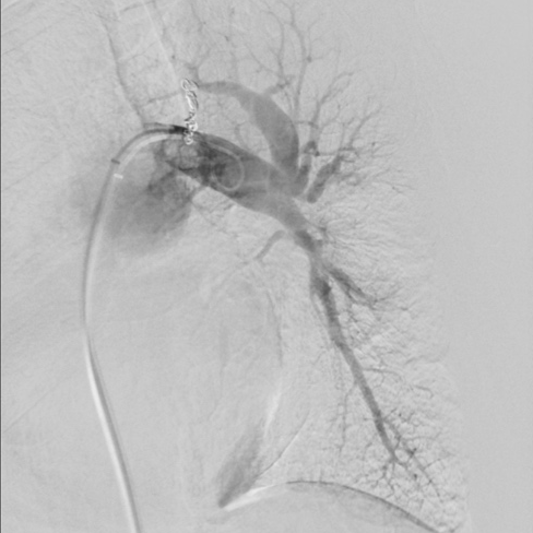
第四次(2021.7)拟行肺动脉支架植入术入院,于2021-7-7行右心导管检查+肺动脉造影+肺动脉支架植入术:支架植入前测量右房压为25/9(15)mmHg,右心室压为55/2(19)mmHg,肺动脉压为55/29(38)mmHg,CO 2.2 L/min,PVR 11.8WU。测量左肺下叶肺动脉近端压力51/23(32)mmHg,远端压力为15/11(12)mmHg,右肺下叶肺动脉近端压力52/20(31)mmHg,远端压力为11/8(9)mmHg,于右肺动脉基底干狭窄处植入PLU-STENT M30支架一枚,测量病变远端压力为51/23(32)mmHg,未见明显压差。
术前肺动脉造影
肺动脉支架植入术
讨论:
纤维性纵隔炎是由纵隔内胶原和纤维组织聚集引起的一种少见疾病,病因包括结核分枝杆菌、非结核分枝杆菌、真菌等微生物感染,结节病、纵隔放疗、IgG4相关疾病、结缔组织疾病以及特发性纤维性纵隔炎等。
纤维性纵隔炎早期可无明显症状,随着病变缓慢加重,逐渐出现纵隔内器官受压的相应表现,常见受累部位包括上腔静脉、气道和肺血管,胸部CT有较高的诊断价值,可见纵隔内增生的软组织,也能清晰显示相邻的受压结构。
纤维性纵隔炎的治疗比较困难,治疗目标在于缓解症状,病变局限的患者可以考虑外科手术切除局部病变,广泛纤维化和继发性侧支血管形成增加手术难度及死亡率。
部分患者因肺动脉受累出现肺动脉高压表现,血管内球囊扩张或支架植入有助于改善血管狭窄导致的相关症状。肺动脉支架较早用于先天性肺动脉狭窄儿童患者的治疗并取得较好疗效,临床治疗目标为病变近端和远端压力梯度改善超过50%,支架内再狭窄发生率为1.5-4.0%。成人肺动脉狭窄常为继发性改变,多篇文献报道了肺动脉支架植入术的临床治疗效果,Welby JP等回顾性分析了9例纤维性纵隔炎患者,支架植入后血管腔狭窄改善了54-79%,压力梯度平均下降了9.38mmHg,1年再通率为90%,89%的患者术后早期呼吸困难即有明显改善,未见围手术期死亡和并发症。
肺动脉支架植入术的风险包括大血管损伤、再灌注肺水肿、支架内血栓形成、支架移位、短暂胸痛等,术前充分评估、合理手术器械选择可降低手术并发症风险。
综上所述,肺动脉支架植入术是治疗纤维性纵隔炎所致肺动脉狭窄的有效方法,可改善肺动脉狭窄程度,缓解临床症状,提高生活质量。
撰稿人:宋成峰 陶新曹 翟振国
中日友好医院呼吸与危重症医学科
专家简介

医学硕士,副主任医师。
毕业于中南大学,现任职于湘潭市中心医院,呼吸与危重症医学科副主任。
担任湖南省呼吸哮喘联盟专业委员会委员;湖南省第一届肺健康分会理事;湘潭市呼吸专业委员会委员。
擅长诊治各类急、慢性呼吸系统疾病,熟练掌握气管镜、内科胸腔镜检查、多项气管镜下介入诊疗技术及各类有创及无创机械通气技术。

医学博士,CHINA-CHEST认证的PCCM专科医师。
毕业于北京协和医学院,现任职于国家呼吸医学中心、中国医学科学院呼吸病学研究院,中日医院呼吸中心医疗组长。担任中国医师协会呼吸医师分会介入呼吸病学工作委员会呼吸病血管介入学组副组长,北京医学奖励基金会心肺循环专业委员会委员,中国中医药信息学会青年医师分会常务委员。
擅长急性和慢性肺栓塞介入诊疗,完成肺血管介入手术1000余例次。

医学博士,主任医师,教授,博士生导师。中日医院呼吸中心、肺栓塞与肺血管病学组学术带头人;中国医师协会呼吸医师分会肺栓塞与肺血管病工作委员会主任委员;中华医学会呼吸病学分会肺栓塞与肺血管病学组副组长;美国胸科医师学会(ACCP)资深委员;入选卫生部有突出贡献的中青年专家。
致力于肺栓塞与肺血管病的临床与转化医学研究,组织管理全国肺栓塞-深静脉血栓形成防治协作组,推广全国肺栓塞和深静脉血栓形成防治能力建设项目。
在欧洲呼吸病学杂志(ERJ)、CHEST等杂志发表SCI论文100余篇,获国家科学技术进步二等奖,中华医学科技奖二等奖,北京市科技技术奖各一项,主持国家重点研发计划1项,国家自然科学基金2项,省部级项目5项。