2021年7月19日晚上,武汉大学中南医院心血管外科、心血管超声医学科、新生儿科、麻醉科、手术室等多学科的通力合作下,历经10小时,完成国内年龄最小术中经食道超声(TEE)监测复杂先心矫治术,亦为华中地区大动脉转位成功手术的最低龄患儿。
心血管外科刘金平主任及心血管超声医学科王斌主任在手术中
患者基本信息:
孕妇34岁,怀孕29周,在当地医院产检提示:大血管连接异常。随转至武汉大学中南医院就诊,产前超声显示:内脏、心房正位,左位心,心室右袢,房室连接一致,心室与大动脉连接不一致,完全性大动脉转位(S.D.D),小室间隔缺损可能(见下图)。
左室(LV)与肺动脉(PA)连接,右室(RV)与主动脉(AO)连接。室间隔似见一内径约0.3cm缺损(白色箭头所示)。
诊疗经过:
经心血管外科、产科等科室联合会诊后,告知孕妇腹中胎儿主动脉与右心室连接,肺动脉与左心室连接,会导致缺氧,胎儿出生后需要依靠未闭合的动脉导管勉强维持生命,一旦动脉导管自动闭合,将迅速出现呼吸衰竭和酸中毒。这种复杂先天性心脏病可以通过手术治疗。
7月19日上午11点40分,孕妇通过剖腹产生下一名体重不到6斤的男婴,出生后宝宝由于缺氧全身呈蓝紫色,呼吸微弱,身体各项指标非常差。心血管超声医学科王斌主任立即床旁急诊超声检查,心脏超声提示:内脏、心房正位,左位心,心室右袢,房室连接一致,心室与大动脉连接不一致,室间隔完整的完全性大动脉转位(S.D.D),细小动脉导管未闭(双向分流),左、右心室发育尚可(见下图)。
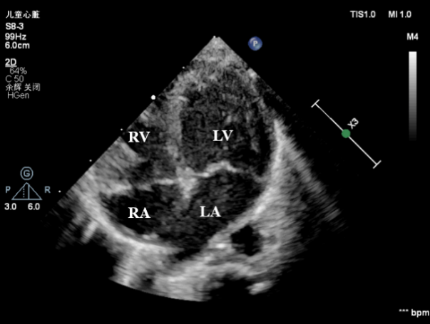
房室连接一致,室间隔连续完整(LA:左房;LV:左室;RA:右房;RV:右室)
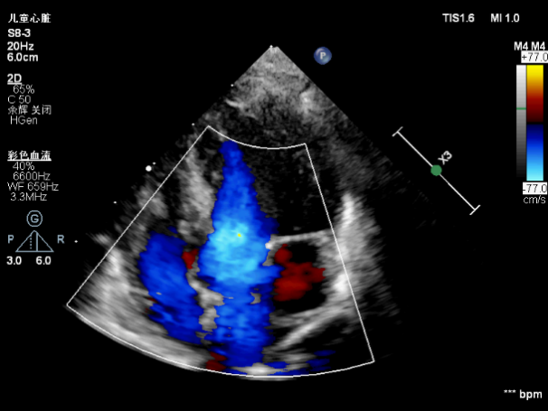
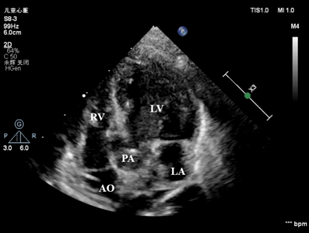
心室与大动脉连接不一致:左室与肺动脉连接,右室与主动脉连接(LA:左房;LV:左室;RV:右室;AO:主动脉;PA:肺动脉)
左心系统与右心系统仅靠0.2cm动脉导管连接(PA:肺动脉;DA:降主动脉,PDA:动脉导管)
术前讨论:
患儿出生后仅靠一根内径约0.2cm动脉导管来维持体肺循环的血流交通,如同“蓝婴”并出现呼吸衰竭,应该及时纠正错乱的血流动力学,如果动脉导管一闭合随时有生命危险。经过心血管外科、心血管超声医学科、新生儿科、麻醉科、手术室、重症监护室等科室的综合评估,符合急危重诊手术治疗的范畴,当晚9点半进入手术室,给刚出生仅10小时的新生儿进行“完全性大动脉转位矫正术”。
术前多学科讨论制定手术方案
手术经过:
当晚9:30患儿进入手术室,开始进行手术。为了保证手术的顺利进行,术中行经食道超声监护,明确术前诊断及术后评估。术中所见与术前超声诊断一致,行“完全性大动脉转位调转术+冠状动脉移栽+动脉导管缝闭术”,术后经食道超声评估:心室与大动脉连接正常,各瓣膜未见异常,肺动脉与降主动脉间未见残余分流。经过心血管外科刘金平主任及其团队10个小时的手术,患儿顺利返回新生儿ICU。经过多学科的密切配合诊治,目前患儿恢复良好,生命体征平稳。
术中经食道超声(S8-3t探头)
专家点评:
武汉大学中南医院心血管超声科王斌教授点评,新生儿经食道超声的最低体重是针对2.5Kg以上的患儿进行监测,术中在插管及操作要非常小心、细致,新生儿食道及粘膜较稚嫩,如果操作不当或过于暴力容易造成食道穿孔、出血等并发症。此例患儿出生仅10小时,体重3Kg,目前为国内开展的年龄最小的术中经食道超声。随着医疗技术的发展及革新,国内仅部分医院开展了小儿术中经食道超声检查,而对于新生儿的术中经食道超声评估要求较高。武汉大学中南医院心脏中心目前已经开展了年龄段从刚出生的新生儿至100岁老人的各类心脏手术,为了适应临床学科的发展,心血管超声医学科配备了飞利浦的S8-3t新生儿食道超声探头,主要是为了针对心脏中心及妇儿医院开展各类新生儿心脏手术进行术中监护,尤其是为各种复杂先心及疑难病例的手术开展进行保驾护航,致力于打造国际一流的心血管病中心。
专家介绍

武汉大学中南医院心血管超声医学科主任,副主任医师,副教授,湖北省医学会胸心外科分会结构性心脏病专业委员会超声学分会主任委员,湖北省TAVR联盟秘书,国家心血管病专家委员会先天性心脏病专业委员会(NSCHD)委员,亚洲心脏瓣膜病学会(AAHVD)中国分会委员会委员,中国研究型医院学会心脏瓣膜病专委会委员,湖北省医学会胸心外科分会结构性心脏病专业委员会第一届常委,湖北省医学会胸心外科分会第五届委员会结构性心脏病学组组员,湖北省卒中学会委员,中华医学会心血管病分会肺血管病学组委员,中国医师协会心脏重症专业委员会重症影像专业委员会常委,武汉医学会第一届智能医学分会常委。主要从事心血管疾病的超声诊断工作,对各种简单先心、复杂先心、心肌病、瓣膜病、冠心病、心脏肿瘤等各种心血管疑难病例的超声诊断具有丰富的临床经验。全球首位开展经鼻咽食道超声引导左心耳封堵的术者,国内最早开展超声引导下行经皮肺动脉瓣置换(TPVR)、经皮及经心尖主动脉瓣置换(TAVR)、微创三尖瓣置换(TTVR)、微创二尖瓣置换(TMVR)、左心耳封堵(LAAC)及超声引导下房间隔分流器植入术者。目前为湖北省TAVR联盟秘书,负责国内各大医院的TAVR超声带教及经食道超声(TEE)带教。近年来主持及参与国家、省、校级科研项目5项, 参与科技部国家重点研发计划“数字诊疗装备研发”重点专项子课题1项,国家“十二.五”科技支撑项目子课题1项。共发表科研学术论文60余篇,其中SCI论文30余篇,以第一作者及共同第一作者发表SCI 20篇,包含European Heart Journal、JACC:Cardiovascular Imaging、Circulation-Cardiovascular Imaging、ASE等国际顶级期刊,总IF:171.142,平均IF:9.007,单篇最高IF:29.983,IF > 5有11篇,另中华等核心期刊5篇,参与指南撰写2篇。参编著作11部,其中担任《心血管疑难病例超声心动图解析》副主编。