短期效果显著,患者医生满意——武汉协和首例经皮二尖瓣夹合器植入者术后1个月随访显示MR1+

7月28日,炎炎夏日的武汉协和医院迎回了一位特殊的老人,这是NIMVR STUDY经皮二尖瓣夹合器全国首位敢于吃螃蟹者,自6月23日接受董念国教授团队介入手术以来,夹合器稳定、端正的夹在老人的二尖瓣前后叶A2/P2处,术前重度反流变为轻度。老人检查伊始便不断感谢董主任团队,也为国产器械进步神速感到骄傲。

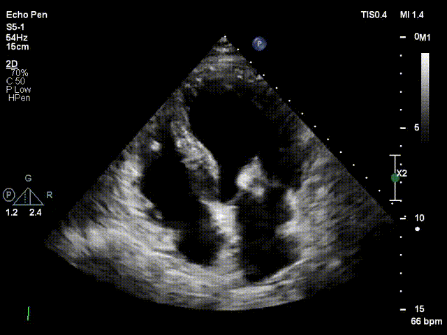
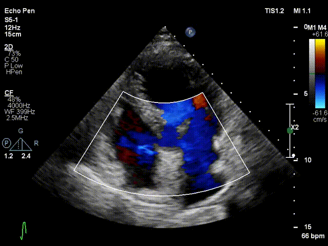
术后30天随访超声结果显示二尖瓣反流为轻度

武汉协和医院董念国教授表示,尽管二尖瓣介入治疗新技术的发展方兴未艾,但短期内依旧不能满足现有临床的需求,大量患者仍得不到有效治疗。尤其针对二尖瓣介入治疗器械,长期以来被国外大公司垄断,关键技术相对滞后,进口产品价格昂贵,这些卡脖子问题造成的社会影响巨大。为了解决这一供需矛盾,就需要更多新思路、新模式,新企业,甚至更多新医院参与进整个产业的发展。

武汉协和医院联合杭州端佑医疗经过充分的论证、设计验证、动物实验改良,终于开发出这款纯国产化可应用于临床的二尖瓣夹合器,“董念国教授团队参与并指导整个开发环节,且在患者需求与手术技术层面国内率先应用于临床,对整个产业发展的作用如引航灯一般。”

该款器械最大的优势在于其结构设计简单易上手,学习曲线短且效果显著,不仅针对退行性二尖瓣病变,对于心衰功能性二尖瓣反流一样可达到治疗效果。尚小珂教授表示,既往每年二尖瓣相关手术在4-5万例,其中微创介入治疗非常少。“经皮二尖瓣夹合器的应用成功,给大量无法耐受传统开胸手术的患者提供新的希望,微创介入术式必定会被越来越多的患者接受。”

杭州端佑医疗科技有限公司成立于2018年,核心团队曾成功开创多个系列产品及创新公司,在瓣膜介入领域拥有丰富的研究经验,具有资深的产品经验。该公司相关负责人表示,“端佑医疗首例经皮二尖瓣夹合器的成功植入,为中国特色民族品牌创新医疗器械的发展增添了新的光辉。我们相信在‘创新是引领发展的第一动力’精神贯彻下,在董念国教授的带领下,会有越来越多的国内外患者因技术的创新而获益。”

阅读数: 2587