2021年7月20日,在首都医科大学附属北京安贞医院(以下称“安贞医院”)纪智礼书记和张宏家院长支持下,在心外科瓣膜中心等多学科协作下,安贞医院心外科9病区,张海波主任团队王胜询、郑帅、孟斐、张春晓、沈经伦医生等精过精心的术前讨论和详细准备,在周玉杰副院长、王志坚、郭永和、刘巍等内科专家协助下顺利完成双冠脉保护下经导管主动脉瓣置换术,该例为预装干瓣临床试验安贞中心第10例也是本试验首例在双冠脉保护下完成的经导管主动脉置换手术,同时,手术也在CHINA VALVE (HANGZHOU) 会议上正式进行了转播。
患者基本信息
患者为72岁女性,瘦弱外科手术风险大,风湿性主动脉瓣膜病变重度狭窄伴有轻度反流。
心脏彩超提示

最大流速:558cm/s
平均速度:420cm/s
最大压力梯度:125mmHg
平均压力梯度:78mmHg
主动脉瓣重度狭窄,右、左冠瓣交界处可见融合嵴,瓣缘增厚,轻度反流二尖瓣三尖瓣中度反流。
术前评估与讨论
周玉杰教授、张海波教授及内外科团队对该病例进行了专题评估探讨:
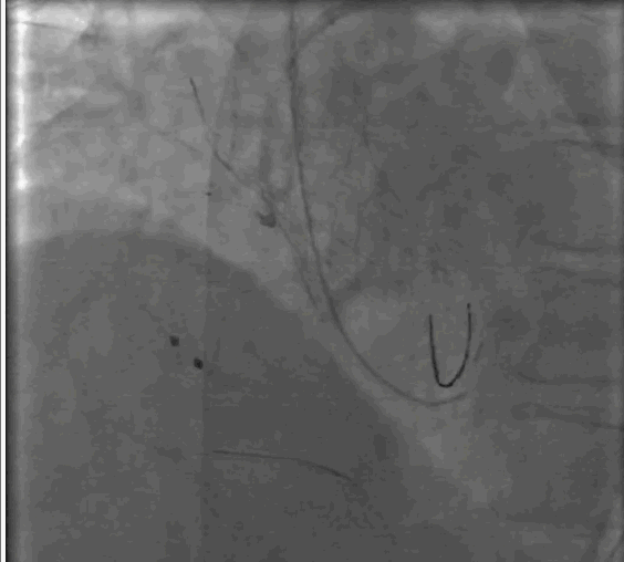
该病例为老年女性,主动脉瓣重度狭窄伴有轻度反流。CT及超声检查提示三叶式主动脉瓣,瓣膜钙化重度钙化,右无冠窦钙化较多,主动脉弓长度可,瓣环角度为57°,左、右冠脉开口高度13mm,但瓣叶增厚绵长,左右冠脉术中均有堵塞风险因此瓣膜选择及释放均需十分谨慎,并预先做双侧冠脉。双侧股动脉直径可,综合评估考虑右股动脉更适宜为主入路。
经过团队严谨的评估及充分的讨论,决定先行23mm球囊充分预扩并进行瓣环测量,并准备TAV26规格的Pro Style预装干瓣可回收TAVR系统。
手术过程
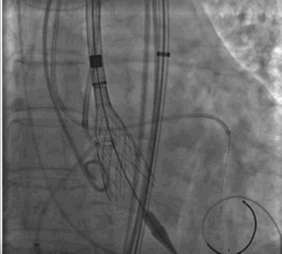
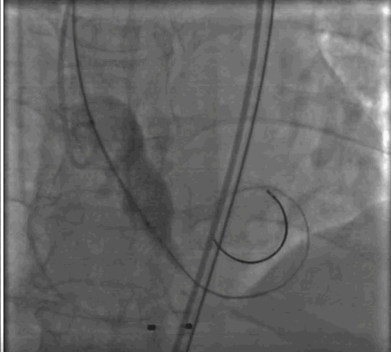
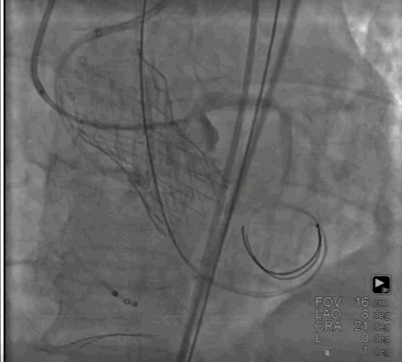
按照预先制定手术策略,首先,周玉杰教授内科团队首先进行左右冠脉保护,然后进行超硬导丝跨瓣进,23mm快速起搏预扩,左右冠脉均无显影,证实冠脉预先评估无误,选择右冠脉居中体位释放,利用瓣膜底部与无冠猪尾导管定位,快速起搏开始释放,释放至限位,由于是可回收系统进行多次反复观察评估冠脉情况,释放位置稳定较好,确认冠脉无风险完全释放瓣膜,撤出体外。
术后评估冠脉情况,瓣膜型号Downsize选择26mm恰好。无球囊后扩,主动脉瓣膜无反流,平均压差6.7mmHg。
手术步骤:


瓣膜评估
术后恢复情况
术后返回病房,患者康复良好已出院。
由金仕生物科技研发的第三代介入主动脉瓣Pro Style,是全球第一个进入NMPA注册临床试验的可回收预装瓣膜,目前临床入组数过半。瓣膜采用MicroEX心包处理技术,有效的覆盖生物材料的钙结合位点,为牛心包材料提供了更加优异的抗钙化和生物力学性能,为介入瓣的长期耐久性提供了坚实的保障。Pro style创新性的采用半预装的专利技术设计,干瓣在植入前处于展开的自然状态,极大的保障了瓣膜纤维组织的完整性和力学特性,在手术开始时,仅需要3分钟,就可以完成瓣膜植入前的准备,极大的方便临床使用及瓣膜运输,而且干瓣不含醛残留,具更好的生物安全性;为更广大患者带来更优质的术后效果。
专家简介

心外科主任医师、博士生导师、教授、九病区副主任,主持国际合作课题、国家自然科学基金、北京市科委等科研课题十余项。
长期进行瓣膜修复、TAVI等瓣膜介入手术、房颤、人工心脏和心脏移植等研究。中国医师协会心外科分会全国委员兼结构心脏病委员会副主委、房颤委员会副主委。亚洲心脏瓣膜学会中国分会常委兼秘书长、瓣膜病介入委员会副主委兼秘书长。中国研究型医院学会心脏瓣膜病专委会秘书长、房颤委员会常委。首都医科大学心外科学系委员。获得北京市科委科技新星、北京市委组织部优秀人才、北京市科技进步奖、教育部科研优秀成果奖、北京市卫生局学科骨干、北京市优秀青年知识分子、中国医师协会中国心外科好医师、生命时报荣耀医者青年创新奖、国之医者青年新锐等奖励和称号。
更多精彩内容,
请扫描二维码观看活动回放