周周寄语:
病人自身的情况也与血管并发症的发生有显著的关系,包括血管壁的钙化、血管迂曲、管腔直径、外周血管疾病、糖尿病、鞘管与股动脉直径比值(SFAR)等一些风险因素与血管并发症的发生独立相关。当病人的血管钙化迂曲严重,SFAR要<1.0甚至0.95,如果血管比较直,钙化不重,SFAR甚至可以大于1.5。无论如何选择,在上大鞘的时候操作务必轻柔,如果觉得很紧一定要停下来查找原因。本例患者就是因为术者在上鞘过程中明显觉得手感和平时不同,停下来检查发现血管夹层,如果这种情况下继续送鞘,有可能导致灾难性后果。TAVR相关的下肢动脉夹层大多数是局限的、非阻塞性的。除非有神经血管损伤,通常采用保守治疗:监测下肢血管通畅性。严重的动脉夹层会因血栓后游离瓣堵塞而导致下肢急性缺血,一旦发生急性下肢缺血需紧急干预行血管成形术或植入支架封堵破口。本例患者术后检查发现夹层影响远端股动脉血流,故在术后直接植入支架封堵夹层。
总的来说,建立入路的要点就是三个,读图选路,穿刺技术,缝合器的使用,这三点做好了,剩下的就是熟悉外周介入器械及各种下肢并发症的处理方法,见招拆招,以不变应万变。
随着TAVR技术在国内如火如荼的进展,临床上遇到越来越多的挑战病例,除关注患者主动脉根部及弓步结构以外,入路常常是完成TAVR手术的拦路虎,临床上对于股动脉入路狭窄或者钙化,什么情况可以选择继续进行TAVR 手术,手术之前,如何做好预案,备齐耗材,在发生入路并发症时,如何处理,广东省人民医院TAVR借一例术中出现股动脉夹层且顺利完成TAVR手术病例与各位同道谈谈如何看待入路并发症。
对于TAVR准备阶段,以国内现在大规模使用的自展瓣为例,通常需要使用20F的大鞘,CT分析入路情况是保证手术安全的前提,除常规需要5.5甚至是6.0以上的股动脉内径外,股动脉的钙化情况,proglider的熟练使用都是避免血管相关并发症的前提,当然,术中出现入路并发症,也需丰富的经验来判断风险,手术是否能继续,术前需要准备什么耗材都是处理入路并发症的前提,广东省人民医院TAVR团队术前除常规耗材外,还常备外周8*60高压球囊及外周支架以备不时之需。
根部解剖:
术中DSA:
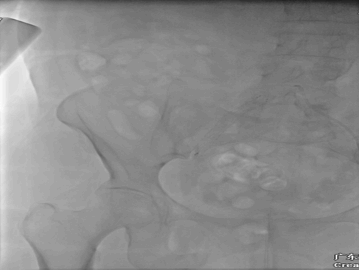
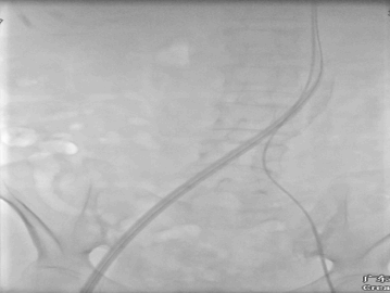
20F大鞘中DSA发现右股夹层DSA
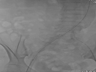
8*60外周球囊扩张DSA
根部造影
Numed22预扩
释放前定位
瓣膜释放前1/3
最后一枪造影
更换19F大鞘完成TAVR
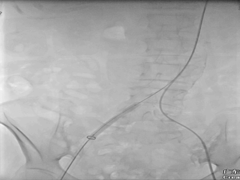
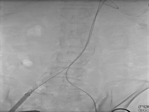
双侧造影证实真腔DSA
植入巴德ZVL10060支架
复查造影
术后:
专家介绍

医学博士、主任医师、博士生导师。现任广东省人民医院心内科副主任,广东省人民医院南海医院院长、广东省人民医院血管病诊疗中心主任、广东省冠心病防治研究重点实验室副主任。
学术任职:美国心脏病学院Fellow (FACC)、欧洲心脏病协会Fellow (FESC)、美国心血管造影与介入学会Fellow (FSCAI)、首批Global Hybrid Algorithm Community国际认证Hybrid CTO带教专家、卫生部心血管疾病介入诊疗培训基地(冠心病介入治疗)导师。
中华医学会心血管病学分会大血管学组副组长、中国研究型医院学会心血管影像专业委员会副主任委员、中国研究型医院学会血管医学专业委员会副主任委员、中国医疗保健国际交流促进会血管疾病分会副主任委员、中国医疗保健国际交流促进会难治性高血压与周围动脉病分会副主任委员、中国医药教育协会血管医学分会副主任委员、广东省介入性心脏病学会周围血管介入分会主任委员、广东省医师协会心血管介入医师分会副主任委员、广东省医师协会心血管内科医师分会常务委员、广东省医学会心血管病分会结构性心脏病学组副组长等。
血管疾病多学科协作论坛(VMDT)执行主席、冠心病与周围血管介入沙龙(CPIS)执行主席、亚太CTO俱乐部广州峰会共同执行主席、亚洲心脏病学会年会秘书长等。
技术特长:擅长复杂冠脉病变、主动脉疾病、瓣膜疾病、周围血管病等的介入治疗。在国内率先开展脑保护装置下颈动脉介入治疗、经桡动脉行肾动脉介入治疗、快速起搏与经皮穿刺主动脉腔内修复术(TEVAR),2016年4月完成华南地区首例经导管主动脉瓣置换术(TAVR),2019年2月成功实施全球首例经股动脉途径TAVR联合TEVAR一站式手术,团队整体TAVR手术量已超过500台,已经帮助全国100家中心开展TAVR手术。
科研成果:获中国医药教育协会科学技术奖二等奖1项、广东省科学技术奖二等奖2项、三等奖2项。参编学术专著6部,发明专利4项,发表学术论文100余篇。先后承担省市级课题数项,培养硕博士20余人,目前在研经费超过500万元。

医学博士,副主任医师,硕士导师。
学术任职:中国医师协会心血管病分会结构组委员;广东省介入性心脏病协会结构分会常务委员;广东省医师协会心血管介入医师分会委员;广东省医师协会高血压分会青年委员;广东省医院协会心血管质控管理分会结构性心脏病学组委员;中国大湾区心脏协会精准诊疗分会委员;中国结构周秘书长;血管疾病多学科协作论坛(VMDT)秘书。
技术特长:擅长经导管主动脉瓣置换术,手术量超600台,帮助全国70多家中心开展TAVR手术。擅长复杂冠脉病变、主动脉疾病、瓣膜疾病、周围血管病等的介入治疗。