2021年7月22日,备受瞩目的CHINA VALVE(HANGZHOU)2021学术会议正如火如荼的展开,作为心脏瓣膜领域一年一度的学术盛会,本次会议设置了国内最大规模的瓣膜手术联播演示,陆军军医大学附属新桥医院心内科结构性心脏病团队本次受会务组邀请成功演示一例高难度TAVR手术,成功为一例高冠脉堵塞风险的重度主动脉瓣狭窄的患者进行了经导管主动脉瓣置换术。术中重庆新桥医院心内科结构性心脏病团队使用了TaurusElite®的可回收功能,实现了瓣膜位置的精准释放,显著改善了患者的血流动力学,这也是该系统上市后在重庆地区的首次植入,标志着新桥医院心内科微创瓣膜治疗再上新的台阶。
患者基本信息:
患者为74岁女性,左房增大、心功能IV级,患者2年前无明显诱因出现活动后气促,伴夜间阵发呼吸困难,双下肢间断水肿。超声提示:主动脉瓣增厚并明显钙化,开放明显受限,重度狭窄,微量反流;主动脉瓣上收缩期峰值流速Vmax=4.68m/s,峰值压差88mmHg,平均压差42mmHg,瓣下见反流,面积约1.9cm²。心电图提示患者窦性心律,左室肥大,T波改变,拟进行经导管主动脉瓣置换术进行治疗。
术前评估:
1.主动脉瓣瓣环周长67.0mm,平均周长径20.7mm。
2.主动脉瓣呈Type 1型二叶瓣,瓣叶纤维增厚,中度钙化,钙化散在分布。
3.左冠开口较低,左冠瓣长度大于冠脉开口至瓣叶附着缘距离,瓦氏窦内径偏小,有一定冠脉遮挡风险。
4. 主动脉瓣环与水平面夹角可,主动脉弓角度与宽度可。入路血管局限少量钙化,双侧血管内径良好,整体入路血管条件尚可。
病例特点:
该病人为一例典型Type 1型主动脉瓣重度狭窄患者,左冠有堵塞风险,瓣叶增厚,中度钙化,人工瓣膜的锚定有一定困难。
1.瓣叶纤维化增厚严重,瓦氏窦偏小,左冠瓣长度大于冠脉开口至瓣叶附着缘距离,左侧冠脉堵塞风险很高。
2.该病例少量钙化,合并主动脉瓣少量反流,瓣膜锚定难度偏高,有瓣膜位移风险。需采用较高位(瓣环下0-2mm)释放策略,释放位置需精准。
主动脉根部评估:
外周血管及主动脉弓解剖:
手术策略讨论:
晋军主任带领手术团队进行术前策略讨论
1.该病例主动脉瓣瓣环平均径、周长径数值位于瓣膜推荐型号AV23型号,球囊使用18mm进行预扩,需综合考虑左侧冠脉阻塞风险和瓣膜位移风险,术中需通过主动脉根部造影和球囊预扩最终确定瓣膜尺寸。
2.患者瓣叶增厚严重,瓦氏窦偏小,左冠瓣长度大于冠脉开口至瓣叶附着缘距离,冠脉风险极高,术中需根据球囊预扩情况决定是否做冠脉保护。
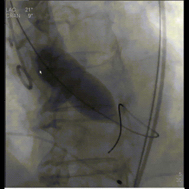
3.根据术前CT评估,球囊预扩角度为LAO 21° CRA 9°(左冠切线位)充分评估冠脉灌注情况,释放角度为RAO 10° CAU 28°(右足位)。使用18mm球囊预扩,根据沛嘉TaurusElite®产品设计特点采取瓣环平面下0-2mm高度释放策略。
4.患者双侧入路血管条件合格,常规选择右侧股动脉为主入路,左侧为辅入路。
手术过程概览:
晋军主任团队进行手术直播演示
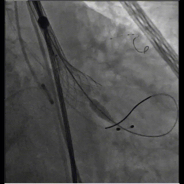
主动脉根部造影
球囊预扩
球囊预扩评估冠脉有阻塞风险,预埋导丝保护
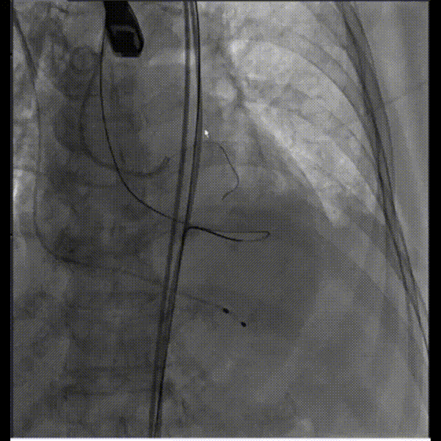
第一次释放
位置偏深回收调整,进行第二次释放
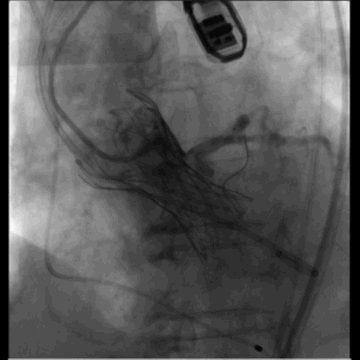
冠脉风险评估

冠脉遮挡,LM植入支架

冠脉灌注良好,确认人工瓣膜位置
左髂动脉“翻山造影”下缓慢退鞘,造影观察无血管损伤,手术结束。
退鞘
外周血管造影
术后超声:
术后压差显著改善,微量反流,患者血压良好。
植入后血流动力学有效改善,术后Vmean1.1M/S,Pgmean 5mmHg。
新桥医院心血管内科主任晋军教授:随着我国老龄化社会的到来,老年瓣膜退行性病变发病率不断增加,对于此类患者群体,若不及早干预,患者生存期很短,同时此类患者往往因为高龄、体质差、合并基础疾病等原因难以耐受开胸手术,TAVR避免了开胸及体外循环,具有创伤极小,术后恢复快的优点,是此类高危患者的最优选择。本台手术难点在于患者冠脉堵塞风险很高,在进行球扩后进行冠脉的保护,植入支架后发现有冠脉堵塞的可能果断采取冠脉球囊保护技术,避免了可能发生的危险,最终左主干开口植入一枚支架,顺利完成手术,本次手术在5万多名直播专家的见证下完成了重庆地区首台TaurusElite®可回收瓣膜,多次回收的回收性能可以帮助术者提高TAVR瓣膜的精确定位,大幅度提高了TAVR手术的最终效果。本台手术的成功开展,也标志着新桥医院TAVR技术再上一个台阶,全面进入了可回收TAVR时代。
专家介绍

主任医师、教授、博士生导师。重庆市首批医学领军人才,重庆市学术技术带头人,重庆英才-创新创业领军人才。
现任陆军军医大学第二附属医院(新桥医院)心血管内科(国家重点学科、国家临床重点专科)主任,军队“双重”学科学术带头人、全军心血管病研究所、重庆市心血管病研究所所长。是中华医学会内科学分会委员、中国医师协会腔内血管学专委会委员、中华医学会心血管分会大血管学组副组长、重庆市医学会内科学专委会主任委员等职、《中华心血管病杂志》编委、《JACC》中文版编委。