2021年7月22日,武汉大学中南医院心脏中心团队完成TaurusElite®经导管主动脉瓣系统上市后华中地区心外科首次植入,成功为一例单纯主动脉瓣反流患者进行了救治,术前团队充分讨论及充分准备,术中反复调整释放位置,最终实现瓣膜零位精准快速释放,瓣膜位置稳定,无瓣周漏,显著改善了患者的血流动力学,获得了优异的即刻手术效果,保障了患者的远期预后。
患者基本信息
患者73岁男性,入院超声检查显示主动脉瓣重度关闭不全、稍增厚、回声稍强,升主动脉增宽。
术前CT评估
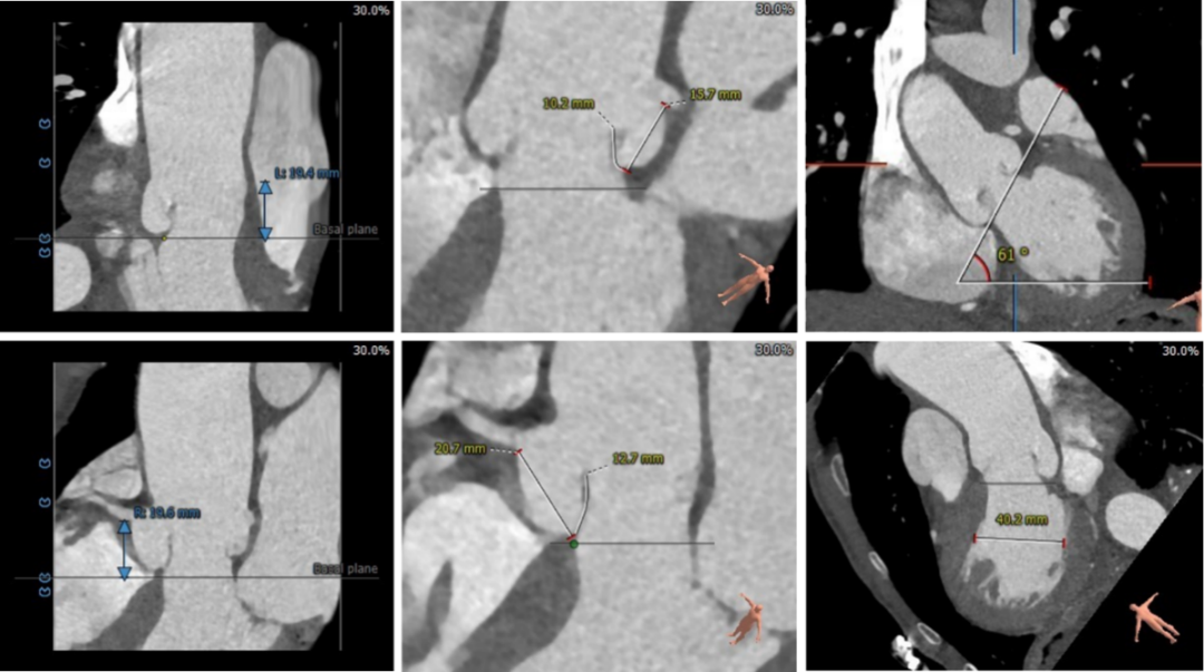
▪ 三叶式主动脉瓣,微量钙化,瓣叶稍增厚。
▪ 左右冠高度可,左右冠瓣长度小于冠脉开口与瓣叶附着缘距离。
▪ 左室流出道呈直筒型,瓣环下4cm流出道内径约26mm,瓣环下5mm内径约27.5mm,稍大于瓣环内径。瓦氏窦较宽,窦管交界及升主动脉内径可,升主动脉无扩张。
▪ 左室腔内径可,心室壁无增厚。
▪ 主动脉瓣环与水平面夹角较大61°,横位心,主动脉弓角度较锐利76°,弓距良好。
▪ 入路血管散在钙化,局部较严重,双侧血管内径良好,整体入路血管条件良好。


CT动态预览
主动脉根部测量及钙化评估
冠脉阻挡风险评估
外周血管入路评估
手术难点及策略
根据术前CT报告分析,本例手术存在以下难点:
▪ 三叶式主动脉瓣反流患者,锚定力弱,人工瓣膜下移及瓣中瓣风险高,根部损伤及瓣周漏风险较小。
▪ 冠脉高度可,综合瓦氏窦内径等因素考虑,冠脉遮挡风险小。
▪ 横位心,考虑瓣口开放无受限,输送系统有跨瓣困难小;主动脉弓夹角锐利,有输送器过弓困难可能,必要时使用双超硬导丝策略或SNARE辅助过弓。
▪ 入路血管散在钙化,术中存在入路血管并发症可能。
相应的手术策略:
▪ 右侧股动脉为主入路,左侧辅助入路,使用20F戈尔血管鞘。
▪ 不预扩,预装AV29瓣膜,释放角度RAO 29° CAU37°(左右重合),较高位快速释放,下移明显时及时瓣中瓣治疗。
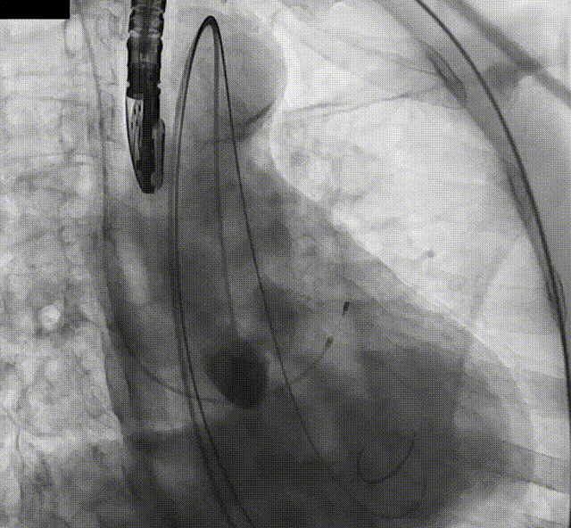
手术过程
主动脉根部造影,明显大量反流。
主动脉根部造影

TaurusElite®轻松过弓
精准定位

瓣膜快速释放工作位
反复调整释放深度,最终精准定位零度释放位点,起搏180次/分,TaurusElite®AV29mm瓣膜快速释放了四分之三。

瓣膜缓慢脱钩
术后造影评估
停起搏,缓慢释放瓣膜脱钩。观察几分钟,TaurusElite®AV29mm瓣膜锚定良好,未下滑。术后造影结果显示瓣膜形态、位置良好,无瓣周漏。手术即刻超声测量,主动脉瓣工作良好,无反流。

术前超声评估
术后即刻超声评估
专家点评:
武汉大学中南医院心外科主任刘金平教授点评,这是一台三叶式纯主动脉瓣反流患者,术前评估一定要做好钙化和锚定区域评估,并了解器械特点。此例病变有三个锚定点,第一个是瓣环平面,第二个是瓣环平面上26.4mm位置的STJ,第三个是升主。TaurusElite®高密度流入端瓣膜设计,保证足够强的径向支撑力,来确保瓣膜植入后的稳定性,同时外裙边的设计降低了瓣周漏风险。另外本例患者弓部夹角相对锐利、横位心,TaurusElite®瓣膜低密度流出段的设计也帮助术中更好的完成过弓与跨瓣操作。其次针对反流患者,瓣膜释放过程中一定控制好血压,最好降到50mmHg以下,初始位置不能太高,释放过程中要一气呵成,TaurusElite®在输送系统的设计上采用了的人体工程学大手柄设计,同步性良好,旋转操作简单方便,保证释放过程的顺利进行,其可回收功能,也给术中操作留有余地,给反流病人精准定位提供了保障。最后,瓣膜释放后预留足够时间观察瓣膜位移情况。这台手术的成功,是整个心脏中心团队,包括心外、心内、超声影像、麻醉等,通力合作的成果。
专家介绍

心血管外科科主任,教授,主任医师,博士生导师,留美、留澳博士,博士后。中华医学会胸心血管外科分会青年委员会副主任委员、湖北省医学会胸心外科学会副主任委员、湖北省心血管外科医师协会副主任委员、国家心脏病质控专家委员会委员、国家心脏病微创专家委员会委员、国际微创心胸外科学会委员、中华医学会器官移植分会心脏移植学组委员、亚洲心脏瓣膜委员会中国分会常委、湖北省医学生物免疫学会心血管免疫专委会副主任委员、湖北省器官移植学会委员,国家自然科学基金评审专家。中华胸心血管外科学会“厄尔巴肯奖”、中国医师学会心血管外科分会首届“杏林奖”获得者。《Arterioscler Thromb VascBiol》、《中华实验外科》、《中国体外循环》、《心血管外科杂志》等重要期刊杂志编委及审稿人。在《Circulation》、《Arterioscler Thromb Vasc Biol》等国际国内权威期刊以第一作者及通讯作者身份发表学术论文30余篇,多次获国家级、省部级奖励。在微创、重症及心肺移植领域有深入研究和广泛影响力。

博士,主任医师,教授,博士生导师,心内科主任,任中华医学会心电生理与起搏分会青年委员,室性心律失常工作组委员,起搏工作组委员,中国医师协会心血管分会湖北省副主任委员,中国生物医学工程学会心律分会青年委员会副主任委员,台海医学会心律心电学专业委员会常委,武汉市心血管病学会心律失常分会委员,湖北省ClT心律失常青年俱乐部主席,中国绿色电生理联盟湖北分部副主席。任美国SCI杂志Autonomic Neuroscience:Bacic and Clinical杂志编委(editor),中国心脏起搏与心电生理杂志特邀审稿人,武汉市医学骨干人才,武汉大学珞珈青年学者。

心血管超声医学科主任,副主任医师,湖北省医学会胸心外科分会结构性心脏病专业委员会超声学分会主任委员,湖北省TAVR联盟秘书,国家心血管病专家委员会先天性心脏病专业委员会(NSCHD)委员,亚洲心脏瓣膜病学会(AAHVD)中国分会委员会委员,中国研究型医院学会心脏瓣膜病专委会委员,湖北省医学会胸心外科分会结构性心脏病专业委员会第一届常委,湖北省医学会胸心外科分会第五届委员会结构性心脏病学组组员,湖北省卒中学会委员,中华医学会心血管病分会肺血管病学组委员,中国医师协会心脏重症专业委员会重症影像专业委员会常委,武汉医学会第一届智能医学分会常委。主要从事心血管疾病的超声诊断工作,对各种简单先心、复杂先心、心肌病、瓣膜病、冠心病、心脏肿瘤等各种心血管疑难病例的超声诊断具有丰富的临床经验。全球首位开展经鼻咽食道超声引导左心耳封堵的术者,国内最早开展超声引导下行经皮肺动脉瓣置换(TPVR)、经皮及经心尖主动脉瓣置换(TAVR)、微创三尖瓣置换(TTVR)、微创二尖瓣置换(TMVR)、左心耳封堵(LAAC)及超声引导下房间隔分流器植入术者。目前为湖北省TAVR联盟秘书,负责国内各大医院的TAVR超声带教及经食道超声(TEE)带教。近年来主持及参与国家、省、校级科研项目5项, 参与科技部国家重点研发计划“数字诊疗装备研发”重点专项子课题1项,国家“十二.五”科技支撑项目子课题1项。共发表科研学术论文60余篇,其中SCI论文30余篇,以第一作者及共同第一作者发表SCI 20篇,包含European Heart Journal、JACC:Cardiovascular Imaging、Circulation-Cardiovascular Imaging、ASE等国际顶级期刊,总IF:171.142,平均IF:9.007,单篇最高IF:29.983,IF > 5有11篇,另中华等核心期刊5篇,参与指南撰写2篇。参编著作11部,其中担任《心血管疑难病例超声心动图解析》副主编。