2020年7月21日,首都医科大学附属北京安贞医院瓣膜介入中心宋光远主任团队,顺利完成3台TAVR和1台使用MitraClip的TEER术,3例TAVR患者均创新采用“All in one”技术的超极简式操作。麻醉、超声、影像、导管室、手术室、外科以及体外循环个科室全力协作,大力支持,手术过程顺利,患者均安返心内科普通病房。
TAVR手术治疗通常需要使用两侧股动脉作为一主一副两条入路进行手术,主入路用于输送瓣膜等器械,副入路用于造影定位;在进行简化探索后,也可以使用桡动脉代替股动脉作为副入路,减少患者痛苦。经过熟练的极简式操作后,安贞医院瓣膜介入中心宋光远团队再次探索进一步简化TAVR操作,取消副入路,将造影导管同时置于主入路鞘管的“All in one”技术。并在同一天使用目前国内三家上市的国产自膨式TAVR瓣膜,证实三家瓣膜输送系统均可以采用“All in one”技术。
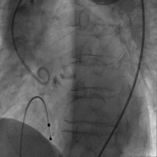
“All in one”技术示意:将瓣膜输送器与5F造影猪尾导管同时置于20F鞘管中
病例一简介
患者为76岁女性,诊断“主动脉瓣重度狭窄并轻度反流、心功能Ⅲ级(NYHA分级)、冠状动脉粥样硬化性心脏病、肾动脉狭窄”。STS评分10.475%。
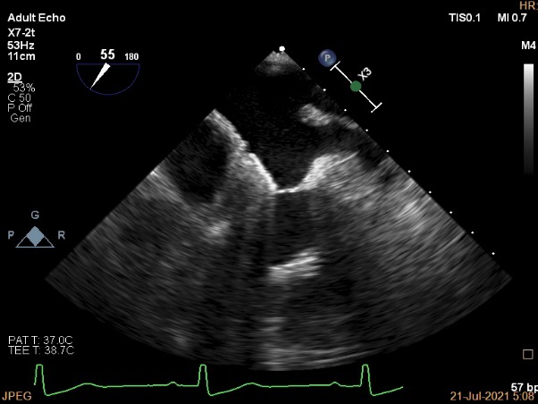
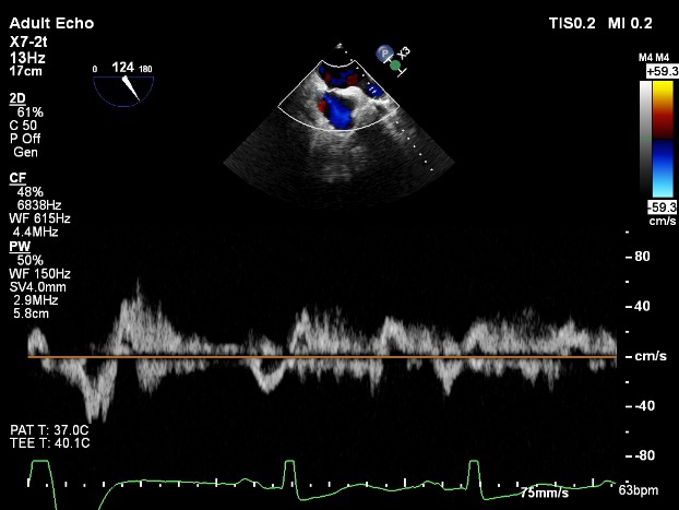
超声心动图:主动脉瓣重度狭窄并轻度关闭不全,PGmean:80mmHg, Peak Velocity:6.23m/s, LVEF 58%。
术前评估:
Annulus 19.8*23.5mm Perimeter=68.3mm
SOV 22.0*35.1mm
STJ 25.4*26.8mm
LVOT 18.7*24.3mm
Perimeter=67.5mm
Ascending Aorta 36.3*36.9m
该患者CT特点为:
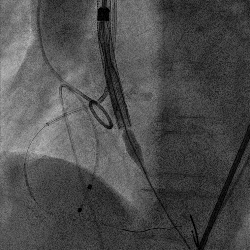
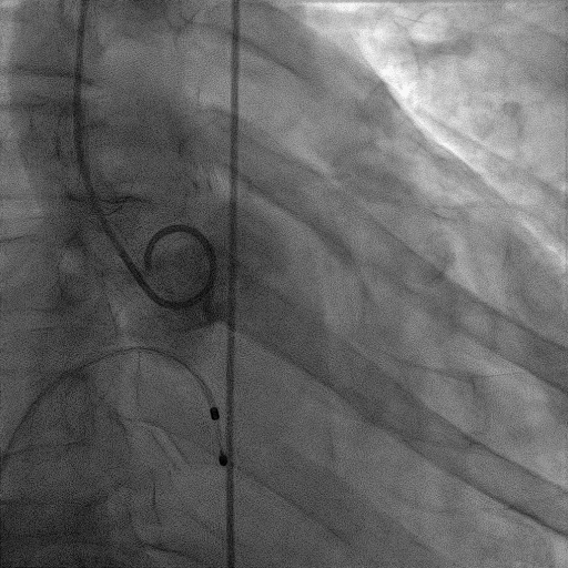
0型二叶瓣,冠脉起源于两侧,瓣叶较长,右冠瓣叶最高超过STJ,右冠开口相对较低(右冠闭塞风险高),STJ高19mm,内径约26mm, 左股动脉分叉较高,右股动脉分叉位于股骨头中下1/3;拟采用右股动脉入路,18球囊扩张,植入23TaurusElite®瓣膜,该病例使用极简式介入瓣膜手术策略进行操作。
手术过程:
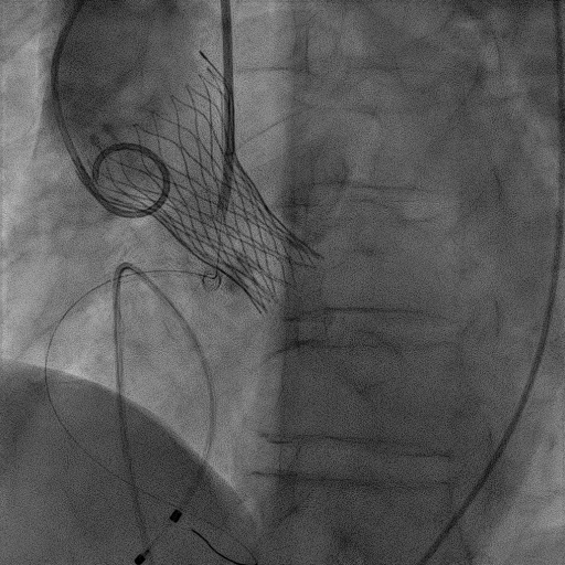
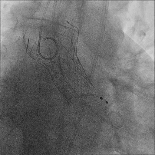
患者麻醉方式采取监护麻醉,建立静脉通路后,穿刺右肱动脉置入鞘管,穿刺右股动脉预置Proglide缝合器,置入动脉鞘管。右股静脉宜置入鞘管,经股静脉置入临时起搏器。经右股动脉行冠脉造影提示冠脉多处50%-60%狭窄。塑性后的加硬导丝送至左心室内,18mm球囊预扩张,主动脉根部造影提示右冠未见显影,右冠植入Chimney支架,同时释放TaurusElite® AV23主动脉瓣膜,造影示右冠血流通畅,瓣膜形态良好,结果满意。应用ProGlide缝合右股动脉穿刺部位并拔除临时起搏电极。术后患者即刻苏醒,安全返回普通病房。

主动脉根部造影
18mm球囊预扩张

23mm瓣膜精准定位
瓣膜+Chimney支架释放

瓣膜形态良好,结果满意
病例二简介
患者为78岁男性,主因“活动后喘憋1年余,突发晕厥9天”入院,诊断“主动脉瓣重度狭窄并轻度反流、心功能II级(NYHA分级)”。STS评分11.263%。
超声心动图:主动脉瓣重度狭窄并轻度关闭不全,PGmean:75mmHg, Peak Velocity:5.85m/s, LVEF 61%。
术前评估:
Annulus 22.9*29.0mm Perimeter=82.1mm
SOV 33.3*34.1*28.8mm
STJ 30.4*31.1mm
LVOT 22.7*29.2mm Perimeter=80.3mm
Ascending Aorta 35.5*36.5m
内径符合TAVI要求
该患者CT特点为:
功能性二叶瓣,左右融合,钙化极重,主要集中于无冠瓣叶,冠脉开口高度可,窦部空间可,腹主动脉轻度迂曲,右股动脉分叉位于股骨头中点,左股动脉分叉位于股骨头上1/3,拟右股动脉入路,22球囊扩张,植入26 Venus-A,该病例使用极简式介入瓣膜手术策略进行操作。
手术过程:
患者麻醉方式采取监护麻醉,建立静脉通路后,穿刺右侧股动脉预置两把Proglide缝合器。穿刺右侧股静脉,置入6F鞘管,将临时起搏器到位。经右股动脉行冠脉造影提示冠脉无有意义狭窄。加硬导丝送至左心室内,22mm球囊预扩张,Venus-A L26瓣膜精准定位并释放,后使用22mm球囊后扩张,瓣膜形态良好,结果满意。应用ProGlide缝合右股动脉穿刺部位并拔除临时起搏电极。术后患者即刻苏醒,安全返回普通病房。

主动脉根部造影
22mm球囊预扩张
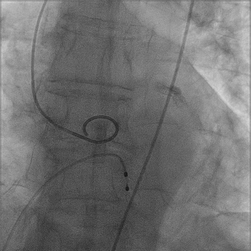
Venus-A L26瓣膜精准定位
22mm球囊后扩张

瓣膜形态良好,结果满意
病例三简介
患者为79岁男性,主因“间断头晕4年,加重伴喘憋1月”入院,诊断“主动脉瓣重度狭窄并轻度关闭不全、心功能II级(NYHA分级),冠状动冠脉粥样硬化性心脏病,完全性右束支传导阻滞”。STS评分13.761%。
超声心动图:主动脉瓣重度狭窄并轻度关闭不全,PGmean:43mmHg, Peak Velocity:4.53m/s, LVEF 58%。
术前评估:
Annulus 22.6*27.5mm Perimeter=78.8mm
SOV 27.1*27.0*27.2mm
STJ 28.0*32.1mm
LVOT 21.5*28.7mm Perimeter=78.5mm
Ascending Aorta 38.7*40.1m
内径符合TAVI要求
该患者CT特点为:
功能性二叶瓣,左右融合,钙化集中于无冠窦,长条状钙化自瓣上延续至二尖瓣前叶,冠脉开口高度可,腹主动脉至髂动脉多发钙化,内径可,拟右股动脉入路,22mm球囊扩张,植入VitaFlow 27。
手术过程:
患者麻醉方式采取监护麻醉,建立静脉通路后,穿刺右侧股动脉预置两把Proglide缝合器,置入鞘管,穿刺右侧股静脉,置入鞘管,临时起搏器经股静脉置入心室。经右股动脉行冠脉造影提示冠脉无明显狭窄。加硬导丝送至左心室内,22mm球囊预扩张,VitaFlow 27瓣膜精准定位并释放,瓣膜形态良好,结果满意。应用ProGlide缝合右股动脉穿刺部位并拔除临时起搏电极。术后患者即刻苏醒,安全返回普通病房。

主动脉根部造影
22mm球囊预扩张

VitaFlow 27瓣膜精准定位

瓣膜形态良好,结果满意
病例四简介
患者为70岁男性,主因“间断胸闷、气短15年,加重1年”入院,患者15年前与活动后出现胸闷、气短症状,无胸痛、心悸,无夜间阵发性呼吸困难及双下肢水肿,1年来上述症状加重,偶有夜间不能平卧。
当地行超声提示:“二尖瓣中-重度关闭不全,射血分数减低”,予药物治疗,上述胸闷、心悸、喘憋症状仍间断出现。10月前因胸痛不缓解,当地医院诊断为“急性心肌梗死”,行球囊扩张术,术后活动仍存在胸闷、气促症状。6月前余当地医院查超声心动:LVEDD74mm,LVEF 31%,二尖瓣重度反流。
既往史:
高血压病史,目前血压控制在130-140/80-90mmHg,冠心病(心肌梗死)病史。
入院诊断:
心脏瓣膜病 二尖瓣重度关闭不全 心功能III级(NYHA分级);冠状动脉粥样硬化性心脏病 陈旧性心肌梗死,高血压。
术前讨论:
患者老年女性,二尖瓣重度关闭不全诊断明确,患者存在心力衰竭症状及体征,目前经积极药物抗心衰治疗,其心衰症状改善不明显,左室增大,考虑二尖瓣重度关闭不全对患者心功能影响较大,但其二尖瓣置换STS评分15.098%,经综合评估后,认为该患者有行MitraClip指征。
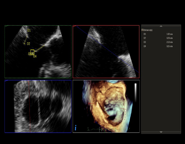
术前超声诊断:
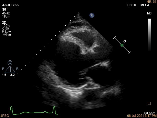
长轴:左室下后壁节异,LAV:101ml,LVEDV:239ml
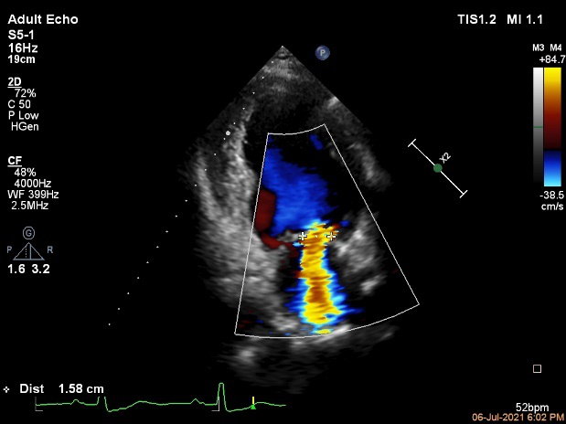
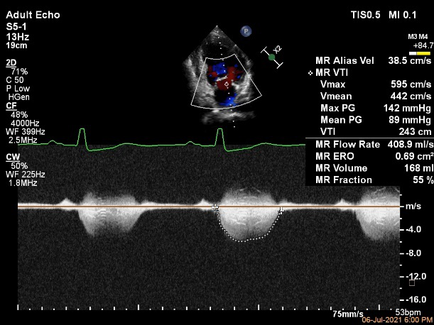
Bicom:MR(重度),返流束宽15.8mm,返流面积10.6cm²
PISA法定量EROA:0.69cm²,Rvol:168ml,RF:55%
肺静脉血流频谱呈收缩期反向
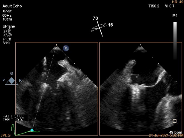
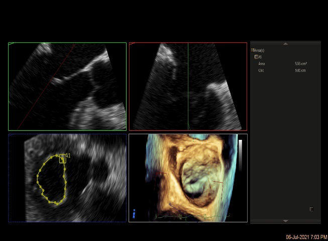
3D MV View
3D-color MV view:血流主要来源于2区近3区
Qlab软件勾画估测瓣口面积约:6.16cm²
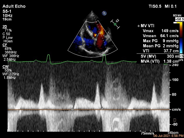
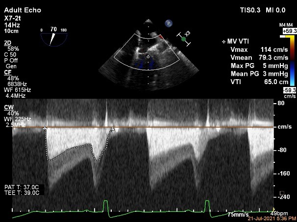
二尖瓣口平均跨瓣压差:1mmHg
TEE Bicom返流量评估
TEE 4-Ch view返流量评估
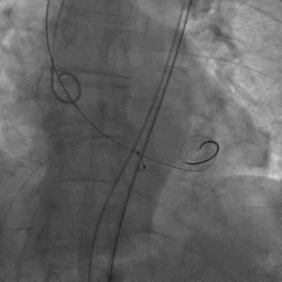
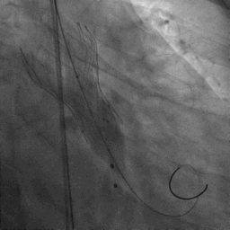
手术过程:
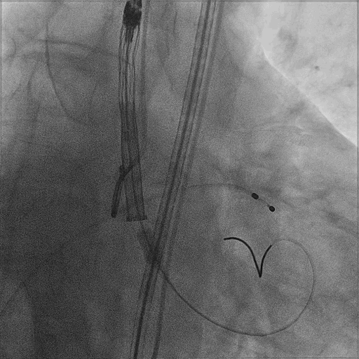
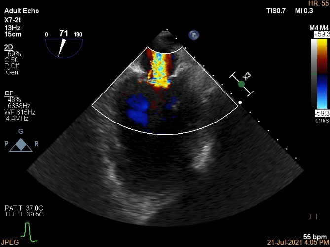
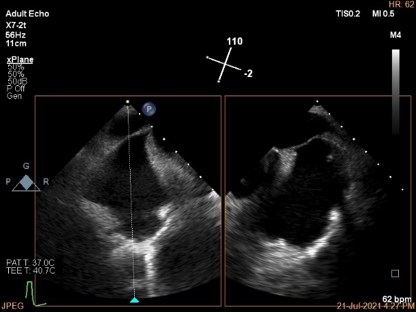
麻醉方式为全麻,建立静脉通路后,穿刺右侧股静脉,预埋ProGlide缝合器,食道超声指导下房间隔穿刺成功,鞘管扩张穿刺部位,沿导丝将导引导管送入左房,MitraClip调整后顺利到达二尖瓣目标位置,在X线及食道超声辅助下,将MitraClip NTR二尖瓣夹精确定位后,成功夹合二尖瓣A2-P2区,超声显示反流明显减少,多切面证实夹合组织充分,肺静脉多普勒波形由反向恢复正常,手术顺利结束,安返普通病房。
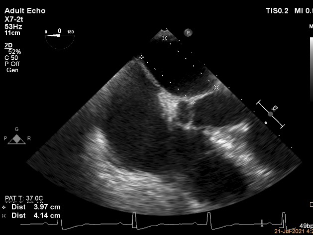
术中超声引导:
确定房间隔穿刺点:靠后
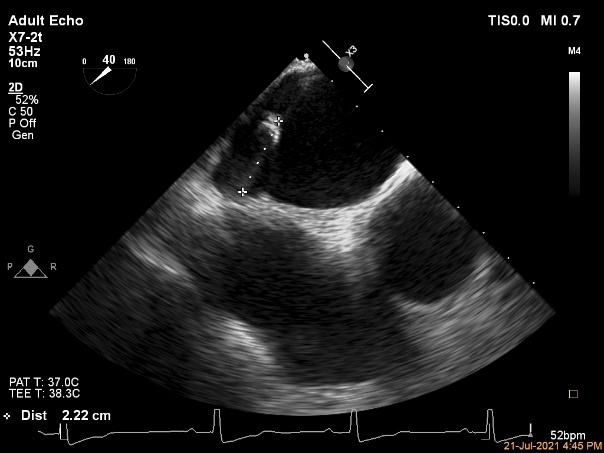
穿刺点高度测量:4.14cm
2D视图下测量大鞘长度2.2cm
2D视图下建立trajectory
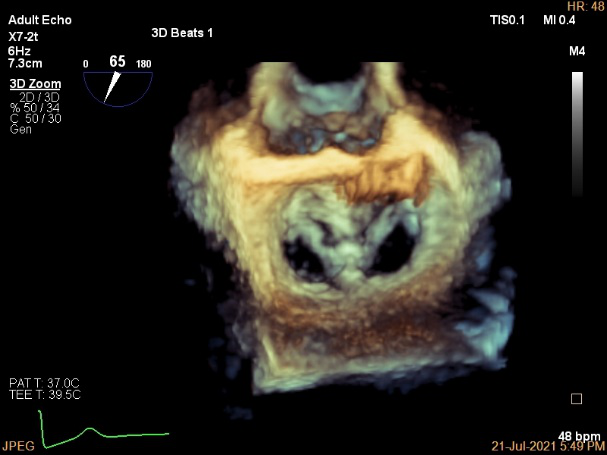
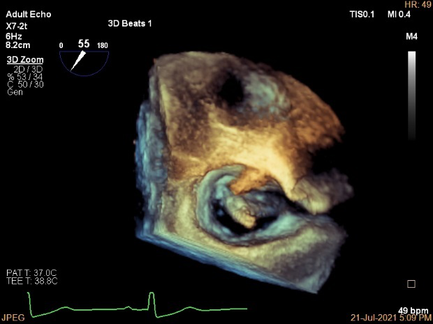
3D视图打开夹子
3D视图下调Rotate,定位2区
X-plane:下夹子尝试捕获2区
夹子逐渐夹闭后,2区返流逐渐减少
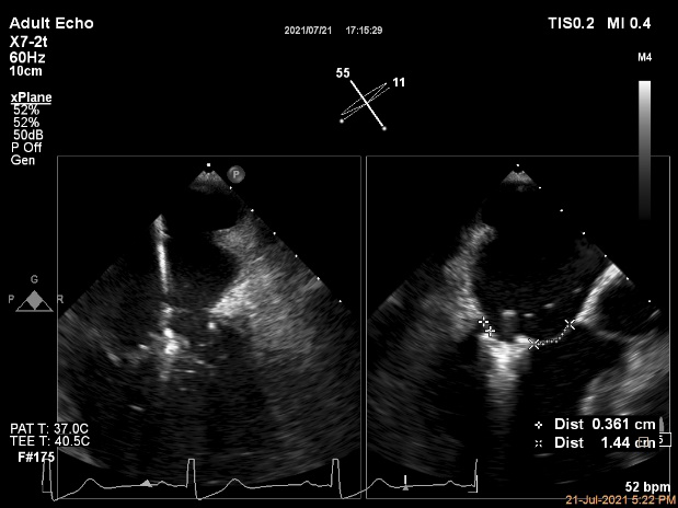
3D:测量前叶长21.2mm,后叶长10.2mm
X-plane:计算前叶捕获长度6.8mm,后叶捕获长度6.5mm
夹子放置后二尖瓣口平均跨瓣压差:3mmHg
肺静脉血流频谱恢复正常
3D视图下观察二尖瓣双孔形态
3D-color:残余少量返流
专家简介
教授,博士生导师,心脏瓣膜病介入中心主任。
专业擅长:主动脉瓣狭窄、二三尖瓣关闭不全等心脏瓣膜病的介入治疗,左心耳封堵术,复杂冠心病的介入治疗。
中国医师协会心血管病分会结构专家委员会秘书,中华医学会北京分会心血管病委员会结构学组秘书,中华医学会北京分会心血管病委员会青年委员会委员,亚太结构性心脏病青年俱乐部秘书长,亚洲心脏病瓣膜病学会中国分会心脏瓣膜病介入治疗技术学术委员会副主任委员,中国医疗保健国际交流促进会心血管预防治疗分会“冠心病防治学组”委员,世界中联专业委员会心血管介入协会 委员,中国结构周核心工作组秘书长,亚太结构心脏会议(AP-CASH)日程委员会委员,中国心脏大会(CHC)日程委员会/主席团委员,中国介入心脏病大会(CIT)工作组/主席团委员,欧洲介入心脏病年会(EUR-PCR)主席团成员,德国结构和先天性心脏病年会(CSI)主席团成员,美国介入心脏病年会(TCT)主席团成员,美国心脏病学院(ACC)复杂冠心病介入介入导师,复杂冠脉CTO介入治疗-正向内膜下重回真腔技术(ADR)认证术者,全球TAVR(启明、微创、爱德华等)带教专家,全球LAAC(波士顿科学等)带教专家。
主要进行退行性瓣膜病介入治疗、复杂冠心病介入治疗,糖尿病合并冠心病诊疗、冠心病介入治疗术后微循环功能评价等系列研究,2015.2-2016.7 美国Cedars Sinai Medical Center博士后学习,累计完成TAVR手术超过1000例,其中TAVR+PCI一站式治疗100余例,累计完成LAAC超过200例,其中LAAO+PCI一站式治疗50余例,主持结构性心脏病影像核心实验室,目前完成CT分析2000余例,包括TAVR和LAAC,为全国提供临床和科研支持,带教省级医院横跨30余省市60余家,主持国家自然青年基金、教育部博士点基金、协和青年基金等多项课题,研究成果在ESC、CHC和CIT等大会报告,发表论文20余篇,共计他引110余次,发表文章质量高:63.2%的文章均发表在《我国高质量科技期刊分级目录》收录的期刊中; 21%的文章位于T1区(国际一流期刊),31.6%的文章于T2区(国际知名期刊),参与编写、翻译多部书籍,主译《心脏导管手册》,《结构性心脏病介入治疗》。《结构性心脏病集萃2020》。
中心介绍:
首都医科大学附属北京安贞医院是治疗心肺血管疾病为重点的三级甲等综合性医院,心血管内、外科手术例数名列全国综合医院第一,在全国心血管领域处于领军地位,也是全国较早开展瓣膜病介入的医院之一。安贞医院心脏瓣膜病介入中心应时而生,荟聚了安贞医院院内以及全国范围内的结构性心脏病的菁英专家,着力于各类心脏瓣膜性疾病的介入治疗,打造心脏瓣膜病介入领域重点学科。
安贞医院心脏瓣膜病介入中心是年轻的科室,现拥有医生15名,护士12名,集合了安贞医院以及全国的一批成熟的结构性心脏病的术者和医生团队,核心小组成员来自影像科、超声科、麻醉科、导管室、康复团队等多个科室,最大程度上在开展手术的同时保证病人的安全性,让病人得到最佳的治疗效果,同时通过瓣膜病介入中心,可以更好做到质控以及病人的中远期管理。