南昌大学第一附属医院彭小平团队应用VenusA-Plus可回收系统成功完成一例TAVR手术

2021年7月15日,南昌大学第一附属医院彭小平团队成功完成一例VenusA-Plus可回收系统成功为主动脉瓣重度狭窄患者进行经导管主动脉瓣置换。术前,彭小平主任团队联合麻醉,超声,影像,外科,导管室,介入室多个兄弟科室,仔细研讨手术方案,探讨术中突发情况的处理预案,确保手术顺利进行。

术后患者血流动力学得到了有效改善,患者将获得更长久的受益和更高生活质量。

病例资料

患者为73岁男性,主诉1年前活动后出现胸痛,伴有胸闷、气促,偶有心慌,休息后好转,无头晕头疼、咳嗽咳痰、呼吸困难,心脏彩超提示:重度主动脉瓣狭窄病变,现为进一步治疗,逐来我院就诊。


术前评估

CTA主动脉根部解剖:患者为二叶瓣,重度钙化,瓣环平面可见钙化,可见钙化延伸至左室流出道,右无、左无均可见融合,以右无融合为明显,冠脉高度尚可。升主动脉最宽处为超过 45mm,心脏角度约:49度。

Annulus Dimensions ——26.6 mm

LVOT——29.1mm

Sinus——32.6*34.5*32.7mm

STJ——31.4 mm

升主最宽处:39.8mm

心脏角度:49°

该病例为:Type1型二叶式主动脉瓣,重度钙化并严重增厚,法式窦结构大,双冠脉开口高度良好,主动脉瓣环夹角可,非横位心,主动脉弓夹角锐利,弓距可,左心室腔增大,推荐右侧股动脉为主入路,左侧辅助入路,建议使用20F戈尔血管鞘,备SNARE;推荐跨瓣角度LAO26°CRA5°左右,推荐使用22mm球囊预扩,角度为LAO22°CRA2°(左冠切线位);推荐预装L26瓣膜,释放角度RAO21°CAU35°(左右重合),释放高度推荐较高位(瓣环下0-2mm)。

手术过程

患者麻醉方式采取全麻,建立静脉通路后,穿刺左侧股动脉,建立副入路。采取右侧股动脉作为主入路,穿刺颈内静脉,然后经颈内静脉置入漂浮电极,临时起搏器入右室心尖。

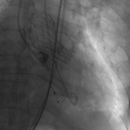
跨瓣成功后,将Lunderquist导丝送入左心室,23 mm球囊预扩张,VenusA-Valve L29型号瓣膜精准定位并释放,术中造影及超声反馈良好,瓣膜形态良好,结果满意。

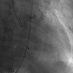
主动脉根部造影

球囊预扩图

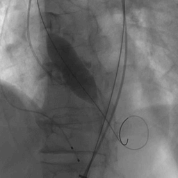
瓣膜释放定位

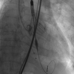
瓣膜释放过程

瓣膜释放完毕

患者即刻跨瓣压差显著下降,再行主动脉造影提示瓣膜置入位置良好、形态完整,未见瓣周漏,未出现相关并发症,取得了良好的手术结果。

术后总结


团队介绍

南昌大学第一附属医院心脏瓣膜团队由郑泽琪主任、彭小平主任牵头组建,联合心脏大血管外科、麻醉科、手术室、超声医学科等多个学科组成多学科团队,整合了多个部门精英骨干,聚焦经导管心脏瓣膜病介入治疗,制定了精细的术前筛查、手术计划,术中精诚合作,术后精细管理,为每一位心脏瓣膜疾病患者提供最优化的治疗方案。团队自2018年组建以来,已完成50余例TAVR手术,包括单纯主动脉瓣反流病例、全国首例经腋动脉入路无造影剂TAVR手术,取得了良好的社会反响。团队成员包括:郑泽琪主任医师、彭小平主任医师、姜宇副主任医师、郑耀富主治医师、华经海主治医师等。其中彭小平主任医师曾赴美国休斯敦医学中心及北京阜外心血管医院学习经导管介入心脏瓣膜病;姜宇副主任医师于德国汉堡Klinik St.Georg医院学习经皮导管介入治疗瓣膜病;郑耀富主治医师于北京安贞医院学习心血管介入彩超及北京阜外心血管医院学习TAVR手术,团队成员有较为丰富手术经验及相关技术。

阅读数: 510