2021年7月13日,天津市胸科医院心血管外科同影像科、麻醉科等科室多方合作,为一名6岁的先天性心脏病术后肺动脉狭窄的患儿,成功植入一枚Pul-Stent®PAS.S30的肺动脉支架。
患儿出生后诊断先天性心脏病,肺动脉闭锁,行肺动脉闭锁矫治术+室间隔缺损修补术+B-T管道切断缝合术+动脉导管结扎术,术后恢复良好,八月前复查发现主肺动脉分叉处吻合口狭窄,左右肺动脉起始部狭窄。此类患者既往多通过再次开胸手术解除肺动脉狭窄。复杂先心病再次手术患者病情复杂,位置深、有组织粘连、再次开胸创伤大,难度大,并发症多,风险高,根据患者的病情,采用经静脉植入肺动脉支架治疗患者的肺动脉狭窄将更加安全。本例患儿术前诊断:双侧肺动脉狭窄,由于早期手术使用牛颈静脉管道,预计未来还需要进行管道更换,故此次手术仅干预左肺动脉狭窄处,解除左肺动脉狭窄。
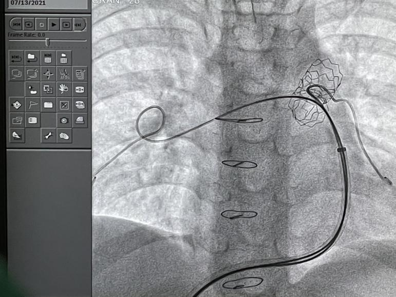
术中造影确认肺动脉狭窄长单21.62mm,狭窄处毗邻血管直径为11.28mm,根据患者情况,选择PAS.S30肺动脉支架。
选择admiral 8mmX40mm球囊进行预扩
手动装载支架
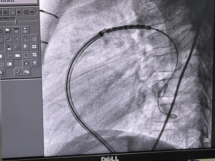
沿长鞘将支架送至狭窄处
使用BIB双层球囊,将支架扩张至12mm,与患儿正常血管直径相吻合。

科室介绍:
天津市胸科医院心血管外科始建于1963年初,是天津市开展心脏外科手术最早的科室之一,经过50余年的发展,现由3个普通病房、1个监护病房及灌注科组成,总床位167张。全科现有主任医师13人,副主任医师8人,主治医生6人,其中博士生导师1人,硕士生导师5人。承担天津市科委、卫生局等多项课题,其中重点项目三项,课题涉及先心病、终末期心脏病、冠心病、瓣膜病以及体外循环和麻醉等多个相关学科,为推动心血管外科的临床发展提供基础。取得天津市科技成果11项,获得科技奖励4项,新引进新技术5项。建立天津市同种瓣库并应用于临床婴幼儿复杂先心病的治疗,拥有净化实验室,并同天津医科大学、中国科学院等多个单位合作开展实验研究。共完成心脏大血管手术上万台,现年手术量在1500人次以上,位居天津市首位。手术成功率达98%以上,居国内外先进水平。