2021年7月17日,空军军医大学唐都医院李妍教授团队成功为一例三叶瓣重度钙化、纤细血管入路+左冠高风险+心肌肥厚小左室的高难度复杂病例进行了TaurusOne®经导管主动脉瓣膜系统植入,该例手术同时也是TaurusOne®上市以来陕西省内的首例植入。术中李妍主任带领多学科团队紧密配合,与专程参与手术交流指导的广东省人民医院罗建方教授团队密切协作,手术顺利成功,瓣膜植入后患者血流动力学有效改善,微量瓣周漏,手术效果理想,将为患者带来更好的临床和生存期获益!
病例情况简介:
患者76岁女性,体形瘦小,入院超声提示“重度主动脉瓣狭窄合并中度关闭不全”,LADD 31mm,LVEDD 35mm,LVESD 23mm,LVEF 64%,Vmax 4.5m/s,PGmax 89mmHg,RVol 13.5ml。
术前CT评估:
● 三叶式主动脉瓣,重度钙化,钙化分布不均匀,主要分布于左冠窦内沿瓣叶呈连续条状分布,R-N之间可见钙化融合,瓣叶增厚明显。
● 右侧冠脉开口高度可,左侧冠脉开口较低(11.5mm),左冠窦瓣叶冗长(16.1mm),结合瓦氏窦宽度预估左冠阻挡风险极高。
● 瓦氏窦内径可,窦管交界、升主动脉内径可,非横位心,主动脉弓部宽度及角度可
● 心室肌肥厚,收缩期左室内径偏小(17.7*21.1mm),存在术中循环崩溃风险。
● 双侧股髂血管入路生理性纤细,未见明显迂曲,双侧髂外动脉内径约4-4.5mm。
● 颈动脉血管内径可,未见明显迂曲及狭窄。
CT动态预览:
三叶式瓣,瓣口中央舒张时关闭不全,可见钙化融合和条状钙化。
主动脉根部测量:
三叶式瓣,瓣叶增厚,可见钙化融合,非横位心。
冠脉测量:
右冠开口高度可左冠开口偏低(11.5mm),左冠窦瓣叶冗长(16.1mm)。
钙化分布:
重度钙化,HU850 807mm³。
左室测量:
左室心肌肥厚,收缩期内径显著偏小(17.7*21.2mm)。
弓部及入路:
弓部宽度角度可,股髂血管纤细(左髂最窄处4.4mm,右髂最窄处4.3mm)。
颈动脉无迂曲钙化,血管内径可。
病例难点:
该病例为重度钙化三叶式瓣,并伴有左冠阻挡风险、循环崩溃风险及高难度入路多个特点于一身的高难度复杂病例。
● 三叶瓣重度钙化合并关闭不全,瓣叶增厚,存在钙化融合及条形钙化;
● 左冠瓣叶冗长,结合左冠开口高度和瓦氏窦尺寸,极高左冠阻挡风险;
● 心室肌肥厚,左室收缩期内径小于30mm,存在术中循环崩溃风险;
● 股髂动脉生理性纤细,双侧髂血管内径4.0-4.5mm,入路难度高;
● 若选择颈动脉为替代入路途径,操作难度及风险较股动脉更高。
根部3D打印模型20mm球囊扩张测试,左冠灌注缝隙狭小。
手术策略讨论:
李妍主任组织团队在术前对患者进行了整理讨论评估:
● 患者三叶瓣重度钙化,R-N之间存在钙化融合,LCC内条状钙化,瓣膜锚定难度适中,但假体植入后支架易受压形变,存在瓣周漏风险,结合TaurusOne瓣膜设计特点,计划采取左右重合体位瓣环下0-2mm定位释放;
● 结合CT影像测量及3D打印模型球扩实测评估,左冠阻挡风险高,计划术中提前冠脉保护,于左冠保护下结合球扩造影观察,植入中必要时采取“烟囱支架”策略;
● 患者高龄,心肌肥厚小左室,存在循环崩溃风险,术中多学科紧密配合,关键步骤减少快速起搏及循环中断时间,密切关注容量及循环状况,体外循环团队后备;
● 股髂动脉纤细,器械通过难度高,结合影像评估血管状况可,无动脉血管疾病,术中拟先采取18F鞘芯逐步缓慢尝试扩张评估血管弹性,尝试18F大鞘置入,若难以通过则将颈动脉作为后备入路使用。
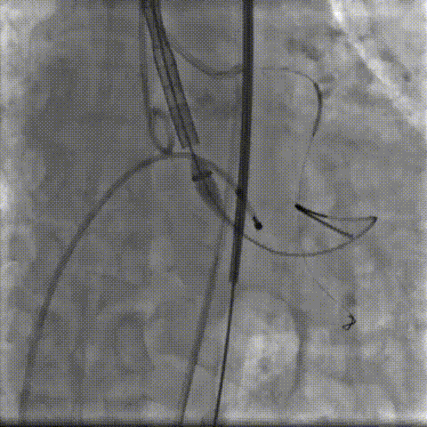
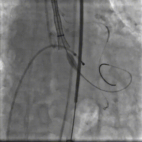
术中影像:
双侧侧髂血管造影血管纤细
LCA保护下18mm球囊预扩,扩张充分,瓣叶向LCA开口偏移;输送器过弓顺利。

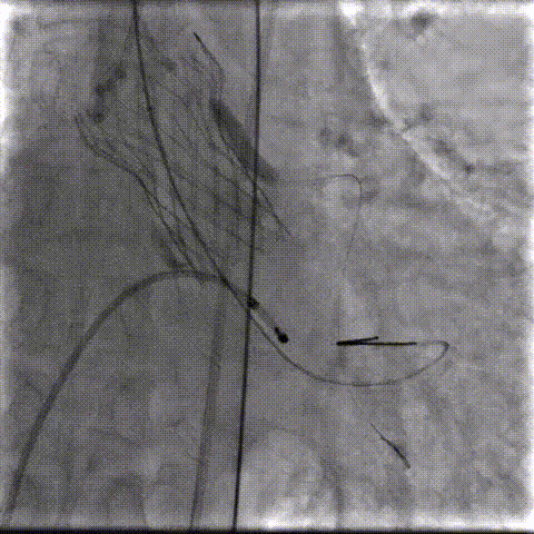
瓣环下精准定位稳定释放,瓣膜工作位造影考虑瓣叶推挤LCA阻挡临界状态,释放“烟囱支架”。

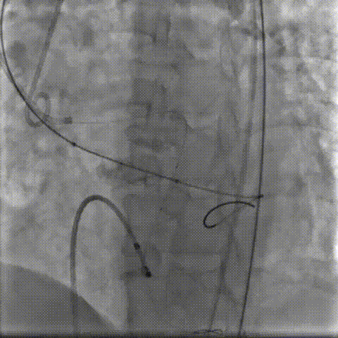
瓣膜稳定脱钩,20mm球囊后扩,“烟囱支架”Kissing,后扩后支架形态改善。
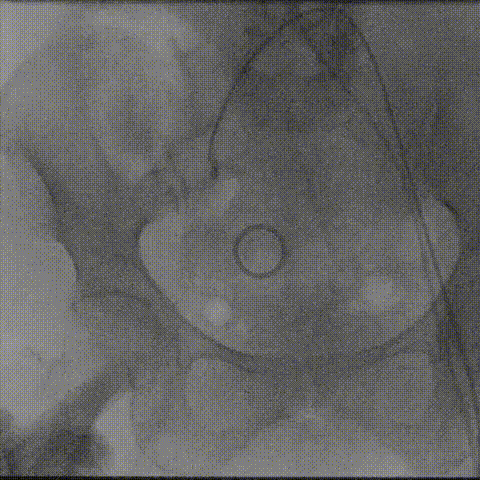
左髂动脉“翻山“,造影+覆膜支架预备伴随保护下顺利退鞘,造影观察无血管损伤,手术顺利结束。
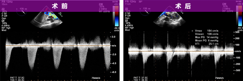
跨瓣压差:
超声影像:
20mm球囊后扩后支架腰部形态接近理想膨胀状态,瓣周漏微量。
植入后血流动力学有效改善,术后Vmean 1.06m/s Pgmean 6mmHg。
嘉境·瓣旅 扬帆起航
术后采访
李妍主任术后感悟:
该病例是唐都医院TAVR团队开展手术以来比较挑战的一例。术前评估存在三大手术挑战,即冠脉风险、入路过于狭窄、心室过小循环崩溃风险。这种高风险TAVR考验的是团队默契合作与多样化预案制定,以及术中面对复杂多变的病情灵活应变的能力。“宜未雨而绸缪,勿临渴而掘井”,一台手术的成败往往在术前预案制定时就已决定大半,TAVR手术尤其需要充分的规划。
首先“不打无把握之仗”,针对三种风险,我们分别采用了主动脉根部3D打印预估冠脉风险、烟囱支架预先置入预防术中冠脉闭塞;针对入路并发症预备颈动脉入路支持;针对患者心室收缩期内径较小可能循环崩溃,预备了体外循环支持和ECMO备台,术前术中关注容量。
一台成功的TAVR手术,除了要关注瓣膜锚定区域,还要关注冠脉风险,心室大小、流出道内径、冠脉风险、传导阻滞风险、外周血管条件,要求团队医生具备冠脉、结构、电生理、外周血管处理经验。除此之外还要关注患者卒中风险、肝肾功能等方面。因此对介入医生的素质要求是全方位的。
以本例手术为例,患者的瓣环锚定难度不是太大,主要风险来自与股髂动脉的生理性狭窄,如何在4.5mm的血管中建立一条18F的通路成了第一道难关。有幸在罗建方教授的指导下,经过反复评估,认为患者长期处于低灌注状态,患者血管弹性尚可,遂使用18F鞘芯缓慢进入股动脉试探,后经小心操作成功建立通路。撤鞘时鞘管被血管抱死,又备好覆膜支架,边退边翻山造影,无缝连接,确认每一节段股髂动脉均无渗漏与夹层。
在术中面临的一个艰难的抉择:瓣膜释放后位置虽然理想,但造影和超声均显示2点及11点瓣周漏偏多,原本常规选择后扩张,但本例植入烟囱支架,后扩时瓣叶会不会进一步挤压烟囱支架闭塞?不后扩患者预后又难以保障。在这两难的局面下,我们依据术前3D打印的模型在20mm球囊扩张时左冠窦仍有缝隙,决定使用20mm球囊进行后扩,并与冠脉支架球囊对吻扩张,扩张结果瓣周漏明显减少为少量,瓣口面积从2.1cm2增大至2.7cm2。
本台手术的圆满成功,是在未雨绸缪的充分准备下,在山雨欲来的惊心考验下,最终取得令人满意的结局,也标志着唐都医院TAVR团队技术的进一步成熟和精进。
专家介绍

心血管内科主任医师,教授、主任医师、博士生导师。担任美国心脏学会专家委员(FACC),美国心血管造影及介入学会专家委员(FSCAI)全军心血管分会常委,国家卫健委介入培训导师,中国医师协会心血管分会委员。
专业方向:心脏瓣膜病不开胸介入治疗;房颤左心耳封堵及综合治疗;复杂危重冠心病介入治疗,包括中重度钙化病变、慢性闭塞病变、左主干病变等介入治疗。擅长使用 IVUS /OCT/ FFR 等影像学及3D打印辅助精准评估病变,实现精准优化治疗。
主持国家自然科学基金面上课题5项、军队及省级课题7项,“十三五“国家支撑计划子课题1项。主编参编著作11部,临床顾问1部。获空军高层次科技人才称号,发表 SCI 及核心期刊论文90余篇,最高影响因子23.063。荣获中华医学会医学科学技术奖一等奖、军队医疗成果一等奖、中华医学会青年菁英奖、陕西省青年科技奖。荣立个人三等功1次,陕西省三八红旗手称号。

心血管内科,空军军医大学唐都医院心血管内科副主任医师,担任西安结构青年委员会常委、陕西医促会国际胸痛委员会委员。专业擅长复杂危重冠心病介入治疗,老年瓣膜病:经皮主动脉瓣置换术(TAVR),房颤射频消融及左心耳封堵术。主持陕西省基金1项,军队及省部级课题2项。发表SCI及核心期刊论文10余篇。