南方医科大学南方医院完成DragonFly临床入组

2021年7月15日,南方医科大学南方医院修建成教授、超声刘俭教授团队与浙江大学医学院附属第二医院王建安教授团队密切合作,应用DragonFly经导管二尖瓣瓣膜夹系统,为一位二尖瓣重度反流患者实施经导管二尖瓣缘对缘修复术。标志着南方医科大学南方医院正式进入国产经导管二尖瓣介入修复阶段。

患者一,89岁,男性

既往病史:高血压、痛风

主诉:活动后气促8年余;二尖瓣轻度脱垂并中重度反流

患者二,72岁,男性

既往病史:高血压

主诉:反复胸闷,气短3月余,加重10天。

二尖瓣轻度脱垂并中重度反流

手术过程:

南方医科大学南方医院修建成教授团队通过术前和美国弗吉尼亚大学医学中心David Scott Lim教授及香港亚太医学中心林逸贤教授进行了详细的讨论并制定了最优的手术策略,同时术中视频连线获得David Scott Lim教授、林逸贤教授的技术支持,心脏瓣膜治疗团队刘俭医师负责术中超声心动图引导。

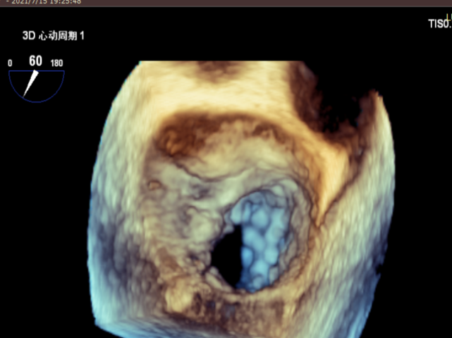
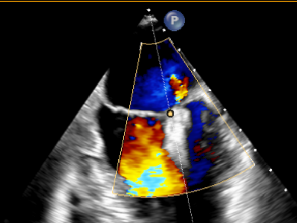
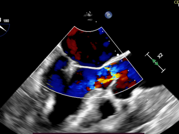
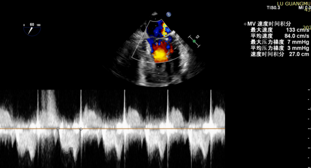
患者全麻后在超声和射线引导下穿刺股静脉-房间隔,器械顺利到达病变的二尖瓣区域,成功完成二尖瓣夹合后,患者二尖瓣反流即刻显著下降,左房压力即刻减低,预示着患者的临床症状将会得到明显改善。

本次手术的顺利完成标志着DragonFly在全国开展的多中心注册临床研究陆续在各地医院开展,本研究计划入组DMR、FMR二尖瓣反流的患者百余例,为入组患者提供二尖瓣反流治疗的优质解决方案及各地医院的专业医疗服务和术后随访服务。

专家简介

修建成

南方医科大学南方医院 

博士,博士生导师,主任医师。

中华医学会心血管病学分会第九届委员会动脉粥样硬化与冠心病学组委员;中华医学会心血管病学分会第九届委员会青年委员会委员;第三届中国人类遗传资源管理专家组成员;广东省介入性心脏病学会冠脉影像与功能学分会副主任委员兼秘书长;广东省医学会心血管病学分会第十届委员会青年委员会副主任委员;广东省介入性心脏病学会冠心病介入分会委员;广东省介入性心脏病学会周围血管介入分会委员;广东省胸痛中心协会理事;广东省医学会老年医学分会动脉粥样硬化组秘书;广东省医学会医学科普与健康传播分会常委;广东省中西医结合学会心血管介入专业委员会第一届委员会委员;广东省中医药学会老年病专业委员会第一届委员。

吴爵非

南方医科大学南方医院 

博士,博士生导师,副主任医师/副研究员。

广东省自然科学杰出青年;广东省杰出青年医学人才;广州市珠江科技新星。

美国心脏学院Fellow (FACC);美国超声心动图协会Fellow (FASE);中国医疗保健国际交流促进会超声医学分会超声造影培训部副组长;广东省医药质量管理协会心脏超声造影专业委员会副主任委员;亚太基层卫生协会超声医学分会青年委员会副主委;中国医师协会超声医师分会分子影像与人工智能专业委员会委员;中国超声医学工程学会“超声分子影像”专委会委员;广东省超声医学工程学会常务理事。

阅读数: 3361