CICI2021 | 微光医疗斑块光衰指数(IPA)全球首秀!

  随着影像学工具的不断发展,冠状动脉易损斑块的识别与评估方法也在不断迭代和进步,传统冠脉造影仅可评估冠脉狭窄程度,无法准确识别易损斑块。IVUS、OCT等腔内影像学工具可以对斑块进行评估,但IVUS有限的分辨率限制了其对纤维帽厚度的测量及微结构的识别,而OCT凭借高分辨率优势可以精准测量纤维帽厚度并观察到巨噬细胞和胆固醇结晶。但是,不同术者解读OCT图像的水准与人工测量的结果均存在差异,难以做到一致性。

  斑块光衰指数(IPA,Index of Plaque Attenuation)是近年来诞生的一种基于OCT的全新技术:使用传统OCT成像导管,通过一次OCT回拉扫描即可自动完成斑块稳定性的综合评估。IPA技术最早由荷兰鹿特丹伊拉斯姆斯大学医学中心( Erasmus MC )Gijs van Soest教授发明并开展了相关研究工作,在体外试验中首次证实了IPA与人工脂质评分的相关性;在临床研究中证明了IPA鉴别TCFA的能力优于NIRS-IVUS。

A1-A3:NIRS-IVUS,B1-B3:OCT,C1-C3:IPA

IPA与人工脂质评分有良好的相关性(r²>0.7)

IPA可以准确鉴别TCFA,且优于NIRS-IVUS(LCBI4mm
2018年,微光医疗与Erasmus MC签署了科研合作协议,成为Dr. Van Soest实验室全球独家合作伙伴。

2019年,微光医疗推动IPA技术从算法转化为临床工具,并与中国人民解放军总医院等中心开展相关临床研究及转化,通过医工结合,成功实现了IPA的图形化显示及自动计算。

斑块光衰指数(IPA)原理

不同组织间光的衰减程度各不相同,IPA计算结果反映了OCT近红外光进入不同成分的斑块内形成的明暗梯度变化,按变化由弱至强的程度从蓝色到红色再到黄色进行染色标记。薄纤维帽脂质斑块、巨噬细胞、胆固醇结晶、斑块内出血等明暗变化强烈的结构较易被IPA识别为“阳性”,而纤维斑块、厚纤维帽脂质斑块等明暗变化较均匀的结构则易被识别为“阴性”。

2021年7月17日,CICI2021大会主题手术演示中,中国人民解放军总医院陈韵岱教授团队展示的一例在斑块光衰指数(IPA)指导下进行的PCI手术,受到了业界同行的广泛关注。

患者情况

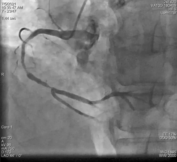
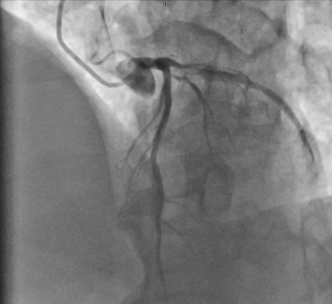
此次手术的患者为61岁男性,主因活动后胸闷、胸痛8年余,加重半月入院。患者8年前有急性心梗病史,分别于前降支及右冠植入3枚支架。此次入院造影可见右冠近端支架通畅,中至远段弥漫性狭窄,最重85%,后降支远段节段性狭窄60%。左主干无异常,前降支支架通畅,回旋支近端节段性狭窄80%。

右冠造影结果

左冠造影结果


手术过程

根据造影结果首先处理右冠,对右冠预扩后进行了OCT检查,并生成了IPA图像。远段后三叉处从OCT上看可见信号均质的纤维斑块,5点- 6点方向可见少量浅层点状钙化,从IPA上分析大多数IPA数值是偏低的。图像9点- 12点方向可见较多高亮点片状信号,根据影像特点考虑为胆固醇结晶,亮点片状信号后伴有强衰减处IPA数值也显示较高。

右冠IPA

在第二个接近支架近段的狭窄部位,该位置呈360度强衰减信号,考虑向心性的脂质斑块为主,附近回撤可见高亮点片状信号,考虑为胆固醇结晶,同时影像上显示纤维帽厚度存在相对较薄的区域,此位置附近的IPA数值普遍较高,与OCT横断面图像判断吻合。

右冠IPA

回旋支OCT显示病变呈偏心性严重狭窄,部分OCT呈强衰减,考虑脂质成分为主。病变远段可见结节样钙化,整体的病变长度约14mm,从IPA上分析最大的IPA值是122,与OCT横断面图像相吻合,根据患者影像学资料决定对该病变进行PCI治疗,植入2.75×18mm支架一枚。

回旋支IPA

术后点评——关于IPA

术后,陈韵岱教授介绍道,IPA是基于OCT技术来评价斑块易损性的一个定量分析的技术。由于管腔内的不同组织具有不同的光学特性(即光衰系数),富含脂质的坏死核心、巨噬细胞浸润、胆固醇结晶等组织的光衰系数要显著高于纤维及其他斑块。管腔内OCT扫描后,根据OCT画面中每个像素光衰减系数的大小,对应由蓝色到黄色,形成光衰系数图谱。可以直观地反映每帧OCT横断面的光衰特性(即斑块易损性),实现“定性”分析。在其基础之上,将每帧OCT画面中光衰特性“阳性”的像素占总像素的比值换算成斑块光衰指数(即IPA数值),则实现了“定量”分析。IPA数值在0~1000之间,数值越高,则代表斑块越不稳定。
作为一项有望推广的易损斑块临床评估工具,IPA仍需要大量的临床研究去证明其与临床预后的相关性,并获得能预测心血管事件的IPA cut-off数值,同时IPA对于PCI以及术后用药策略的指导意义都需要我们去深入探索和总结。
阅读数: 1466