天下无栓:看中山医院结构团队如何破解术中血栓栓塞风险难题

2021年7月14日,复旦大学附属中山医院葛均波院士结构团队成功为一例高龄重度二尖瓣狭窄合并左房血栓患者,行颈动脉滤器脑保护,联合动静脉轨道下二尖瓣球囊扩张成形术(PBMV)。手术由周达新教授、潘文志教授、陈莎莎、侯士强、龙榆良医生及心超李伟医生完成。

患者为一名87岁女性,胸闷气促40余年,近1月活动耐量明显下降,夜间不能平卧,诊断为:风湿性心脏病、重度二尖瓣狭窄、心功能IV级(NYHA)。

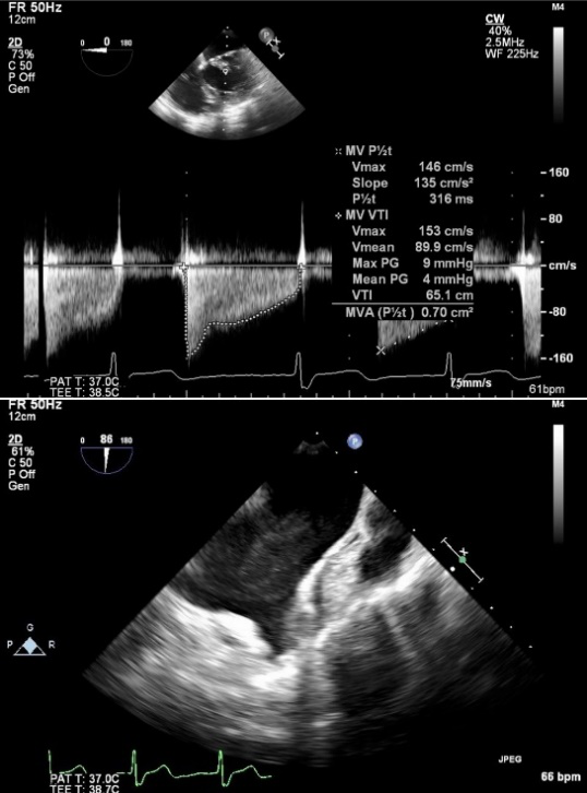
患者华法林抗凝治疗3年,INR达标情况下左房血栓仍存在,就诊于多家医院均无有效治疗手段,遂就诊于中山医院。我院食道心超提示重度二尖瓣狭窄、左房内附壁血栓形成、中度肺高压(图1)

图1. 术前食道心超

患者高龄,基础状态差,不适合外科手术;又因合并左房血栓,亦不适合常规PBMV术;但药物治疗仍症状明显。为解决患者这一困境,经团队讨论为患者量身定制了手术方案:颈动脉滤器脑保护+动静脉轨道+PBMV。手术在静脉复合麻醉、食道超声下进行。穿刺右侧股动静脉及左侧股动脉,经左侧股动脉入路成功于左右颈内动脉分别置入雅培颈动脉滤器进行脑保护(图2)

图2. 颈动脉滤器置入

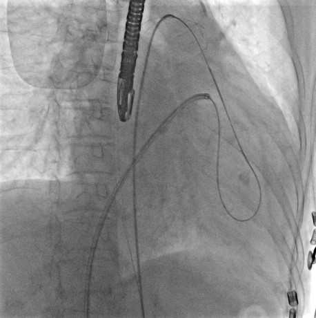
食道超声指导下经右侧股静脉入路穿刺房间隔,J型超滑导丝跨二尖瓣经左心室至升主动脉。使用圈套器将超滑导丝从右侧股动脉入路拉出,建立股静脉-右心房-左心房-二尖瓣-左心室-主动脉-股动脉动静脉轨道(图3)

图3. 建立动静脉轨道

沿动静脉轨道送INOUS二尖瓣扩张球囊至二尖瓣口,依次以18mm、19mm、20mm、22mm扩张(图4),术后心超测得二尖瓣瓣口面积2.2cm2,彩色多普勒示轻微二尖瓣反流(图5)

图4. 二尖瓣球囊扩张

图5. 扩张后食道心超

扩张效果满意后,成功回收左右颈内动脉内滤器,其内见血栓(图6)。术后苏醒即刻,患者无四肢活动障碍及言语障碍等脑梗征象。术后第二日即下床活动,心衰症状较前明显改善,无器官栓塞表现。患者病情得到有效治疗。

图6. 回收颈动脉滤器

既往二尖瓣狭窄合并左房血栓患者,不适宜行PBMV。但对于高龄基础条件差,且抗凝无法消除左房血栓的患者,介入治疗是其唯一选择。本病例为此类患者提供了一项全新且安全的PBMV术式:沿动静脉轨道输送球囊至二尖瓣口,避免球囊操作导管在左心房大幅度的不可控的摆动导致左心房血栓脱落,摒弃了传统的操纵导丝指引下的球囊操作法;在动脉滤器脑保护下预防意外血栓脱落导致的脑梗。此双重保护,为二尖瓣狭窄合并左房血栓患者提供了介入治疗的可能,具有重要的临床实用价值。可为其他中心相关病例提供实战参考,扩大了PBMV适应症。

阅读数: 2816