2021年07月10日,由四川大学华西医院心脏外科郭应强教授带领团队成功完成了2例健世科技经导管主动脉瓣置换系统(Ken-Valve®)注册临床确证性研究的入组,其中一例为全国首例重度返流合并重度狭窄伴钙化患者确证性临床入组,累计已入组4例,均获得成功。
Case1
患者基本信息:
该例患者73岁,男性,因“气紧3+月”之主诉入院。
病情简介:
1.起病缓,病程长。既往有冠脉支架植入,射频消融手术史,慢性阻塞性肺疾病病史。
2.查体:心率64次/分,律齐,主动脉瓣听诊区可闻及舒张期叹气样杂音。
入院诊断:心脏瓣膜病 主动脉瓣返流(重度) 心功能IV级 窦性心律-完全性右束支传导阻滞 慢性心衰 肺动脉高压慢性阻塞性肺疾病-慢性支气管炎 冠状动脉粥样硬化性心脏病 冠状动脉支架植入后状态 室壁瘤 高血压病 射频消融术后 外周动脉狭窄 陈旧性脑梗塞。经心外科专家团队综合评估,判定患者为外科手术高危患者。
手术过程:
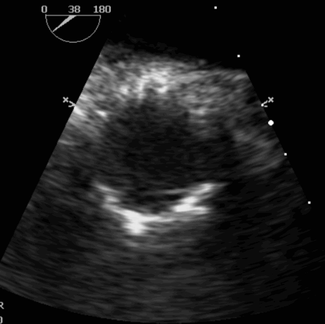
手术采用经心尖入路,对患者进行全麻后,在左侧心尖处微创手术切口仅3-4cm,在DSA及超声引导下植入JS-TAVI29#牛心包瓣膜,手术顺利完成。术前升主动脉根部测压86/47mmHg,左室压91/9mmHg,术后升主动脉根部测压87/49mmHg,左室压98/10mmHg。从导入器械到完成瓣膜置入,耗时9分钟。术后即刻主动脉瓣返流程度由术前大量返流转为消失,术后测得跨瓣峰值流速1.8m/s,平均跨瓣压差6mmHg,峰值跨瓣压差12mmHg。
术前超声影像图
术前DSA造影

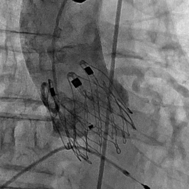
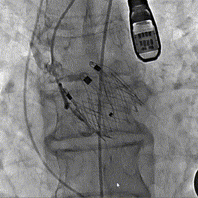
瓣膜释放过程
术后DSA影像图

术后超声影像图
Case2
患者基本信息:
该例患者72岁,男性,因“发现心脏杂音伴心悸,气促2+年”之主诉入院。
病情简介:
1.患者既往有冠心病,高血压病,短暂性缺血性脑病,慢性阻塞性肺疾病等病史。
2.查体:心率91次/分,律齐,主动脉瓣听诊区可闻及双期杂音。
入院诊断:心脏瓣膜病 主动脉瓣返流(重度)伴狭窄(重度) 心功能III级 冠状动脉粥样硬化性心脏病 慢性阻塞性肺疾病-慢性支气管炎 高血压病3级(极高危) 外周动脉狭窄短暂性脑缺血性脑病 痛风。经心外科专家团队综合评估,判定患者为外科手术高危患者。
手术过程:
手术采用左侧心尖处微创手术切口,植入前用25mm球囊进行预扩1次,在DSA及超声引导下植入JS-TAVI 29#牛心包瓣膜,瓣膜释放后造影及TEE确认瓣膜位置及功能良好,采用25mm球囊后扩张1次,手术顺利完成。术前升主动脉根部测压114/41mmHg,左室压154/11mmHg,术后升主动脉根部测压109/50mmHg,左室压94/47mmHg。从导入器械到完成瓣膜置入,耗时8分钟,术中失血30ml,未输血。术后即刻主动脉瓣返流程度由术前大量返流转为消失,术后测得跨瓣峰值流速1.6m/s,平均跨瓣压差4mmHg,峰值跨瓣压差10mmHg。
术前超声影像图
术前DSA造影
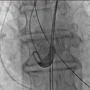
25mm球囊术前进行
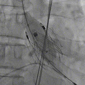
瓣膜植入后25mm球囊进行后扩
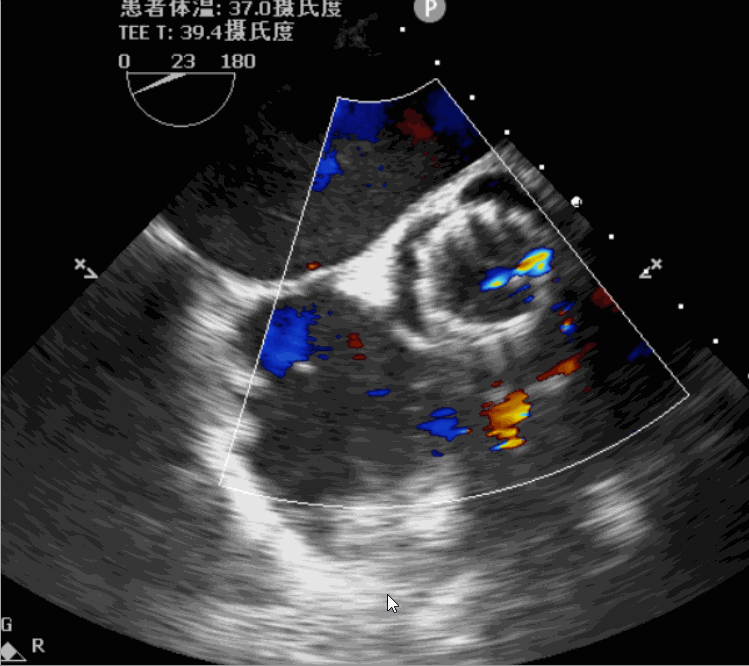
术后超声影像图
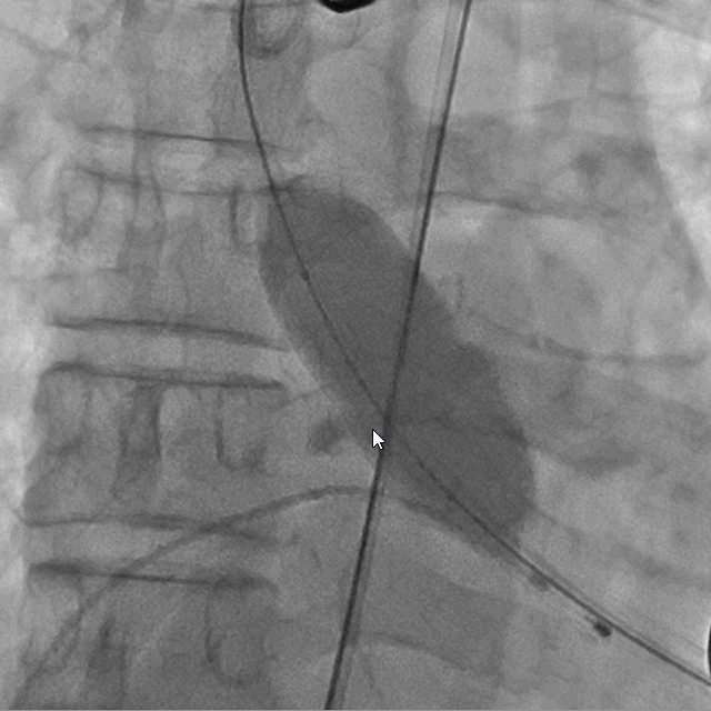
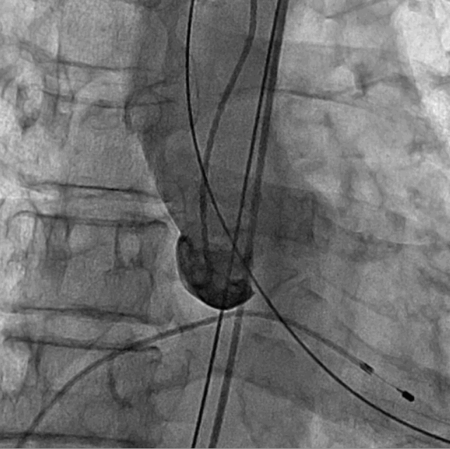
术后DSA影像图
随着主动脉瓣产品Ken-Valve®启动确证性临床试验,满意的治疗效果为临床医生提供了更加微创及多样化的手术方式,同时也给广大结构性心脏病患者带来福音! 目前,健世科技已成功与长海医院、北京阜外医院、四川大学华西医院、西京医院、武汉协和医院、北京安贞医院、上海瑞金医院、福建协和医院、浙江大学医学院附属第一医院等10余家知名医疗机构合作,开展确证性临床研究。
四川大学华西医院心外科微创瓣膜团队专家简介:

咨询电话:18349231281