来自复旦大学附属中山医院心内科葛均波院士、周达新教授心脏团队的捷报,汇禾医疗出品的K-Clip™的人道主义临床试验全部顺利入组,所有患者安康!
本次临床试验是中国首个经导管三尖瓣修复临床试验,研究器械为全球原研首创,具有世界级的探索价值和深远意义。临床试验全部在复旦大学附属中山医院进行,由葛均波院士、周达新教授领导的心脏团队完成。入组的患者均为重度以上三尖瓣反流,术后所有患者的三尖瓣反流均降至轻中度以下。患者平均术后ICU天数为0.8天,住院天数为3.2天,无术后并发症发生。
取得良好的成绩,得益于和复旦大学附属中山医院心脏团队早期充分的共同研发、临床前期探索和临床手术方式制定。首次临床试验为基于经导管三尖瓣修复手术的心脏团队组建提供了实践环境,也为后续的多中心注册临床试验提供了依据和宝贵经验。
汇禾医疗的K-Clip™(经导管三尖瓣修复系统)的多中心注册临床即将正式启动。
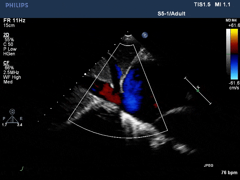
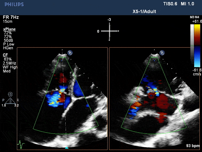
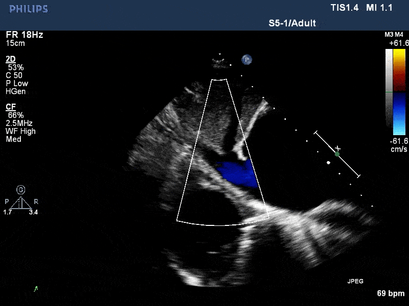
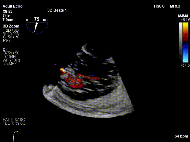
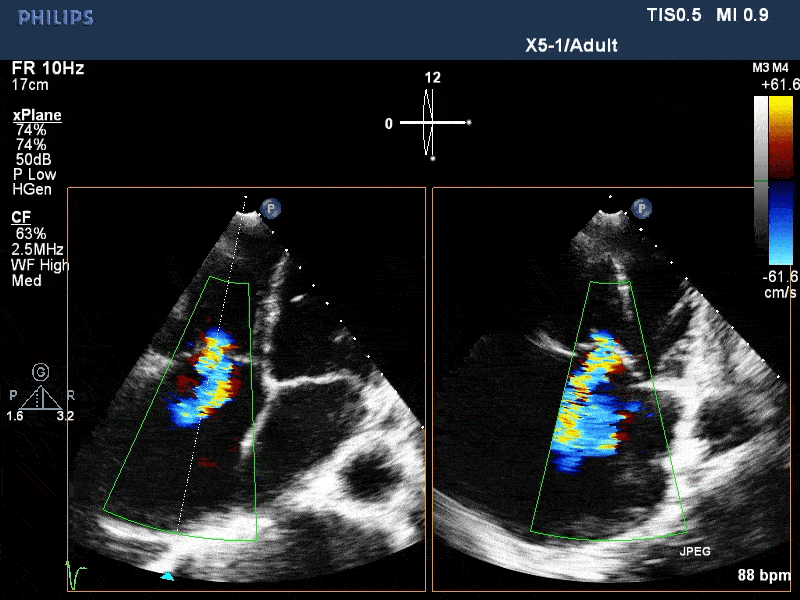
以首次临床试验其中一例患者随访影像为例:
术前与术后即刻三尖瓣反流比较
术前与术后30天三尖瓣反流比较
术前与术后30天门静脉反流比较
术前超声:肝门静脉重度反流
关于汇禾医疗
汇禾医疗创始于2019年,是一家具有自主创新能力的高科技企业,专注于心血管植入类器械的研发生产,拥有专利共计100余项,并有3项PCT和1项美国专利,所有技术均来自团队成员。汇禾医疗出品的K-Clip™三尖瓣环修复系统,目前已正式进入注册临床实验。
专家简介

中国科学院院士、长江学者、教授、博士生导师。
现任中国医师协会心血管分会会长,中国心血管健康联盟主席,复旦大学附属中山医院心内科主任,上海市心血管临床医学中心主任,上海市心血管病研究所所长,安徽省立医院院长,复旦大学生物医学研究院院长,复旦大学泛血管医学研究院院长,复旦大学泛血管基金理事长,教育部“心血管介入治疗技术与器械”工程研究中心主任,中国医学科学院学部委员、美国心血管造影和介入学会理事会理事,美国心脏病学会国际顾问,世界心脏联盟常务理事,世界华人心血管医师协会荣誉会长、美国哥伦比亚大学客座教授。

复旦大学附属中山医院、上海市心血管病研究所心内科主任医师;导管室副主任,结构性心脏病、肺动脉高压专科主任,博士研究生导师。
从事结构性心脏病,包括:瓣膜病、先天性心脏病介入治疗、肺血管疾病、心律失常介入治疗的研究和临床工作。现任中华医学会结构性心脏病学组副组长, 中国医师协会心血管病分会结构性心脏病专委会副主任委员,中华医学会心电生理分会左心耳封堵工作委员会副主任委员,上海市药学会理事,上海市药学会临床药物治疗专业委员会副主任委员, 上海市中华医学会心血管病分会 委员,上海市心血管病学会结构性心脏病学组副组长,东方心脏病学大会结构论坛坛主,卫计委先天性心脏病介入治疗培训基地主任,《中国临床药学杂志》常务编委,上海医药杂志编委。