2021年7月8日,武汉亚心总医院苏晞院长带领亚心TAVR团队完成TaurusElite经导管主动脉瓣系统首次植入,成功为一例中重度钙化合并瓣叶严重增厚的Type1型二叶式主动脉瓣狭窄患者进行了救治,术中苏晞教授团队通过TaurusElite的可回收功能,实现了瓣膜精准的高位释放策略,显著改善了患者的血流动力学,获得了优异的即可手术效果,保障了患者的远期预后。
运筹帷幄
全面诊断评估,预判手术风险,制定手术方案
患者基本情况
患者74岁男性,术前长期胸闷,活动后气促,入院超声检查显示主动脉瓣增厚、回升增强、局部钙化,瓣叶开放明显受限,前向血流增快,峰值流速4.6m/s,峰值跨瓣压差高达83mmHg,平均跨瓣压差46mmHg,舒张期瓣口见中度偏心性返流信号。
术前CT评估
CT结果显示,患者为Type1型二叶式主动脉瓣,中重度钙化合并瓣叶严重增厚。左右冠窦融合,瓣叶开口偏向一侧,钙化位置靠外侧近血管壁处,左右交界与左无交界发育不完全,形成纤维融合嵴并伴随少量钙化,瓣膜开口偏向右无对合缘侧。冠脉风险评估表明,左冠高度低,右冠高度可,左冠瓣长度大于冠脉开口与瓣叶附着缘距离,术中存在冠脉阻挡风险。综合瓦氏窦内径等因素考虑,瓣膜释放后,存在左冠状动脉阻挡风险,需术中球囊预扩时进行充分评估,必要时行冠脉保护。受钙化与瓣叶增厚影响,预估人工瓣膜形变较明显,释放过程中有潜在的下滑趋势。主动脉弓夹角锐利并弓距较短,也为这台手术增加入路和过弓难度。
主动脉根部及冠脉阻挡风险评估
瓣环上解剖结构及钙化程度分析
外周血管入路评估
手术难点及策略
根据术前CT报告分析,苏晞教授指出本例手术存在以下难点:
• Type1型二叶式主动脉瓣,瓣叶开口偏向一侧,瓣膜释放后可能存在整体偏移风险。
• 中度钙化,瓣叶增厚严重,瓣膜释放过程中有移位风险。
• 左冠开口高度低,综合窦管交界内径小等因素考虑,左冠存在遮挡风险。
• 主动脉弓夹角锐利并弓距较短,输送器过弓难度大,必要时需使用SNARE或双超硬导丝技术;
• 右侧股动脉为主入路,左侧辅助入路,使用20F 下肢动脉鞘,备SNARE。
• 使用22mm球囊进行预扩,在左右重合体位下评估球囊预扩效果,根据球囊预扩情况决定冠脉保护策略及瓣膜尺寸选择。
• 预装TaurusElite26mm瓣膜, 在RAO 36° CAU 19°(左右重合)投照角度下,零位释放。待假体瓣叶工作后需调整至左前斜头位进一步确定人工瓣膜形态及冠脉阻挡风险。
步步为营
过弓释放,精准有度,收放自如
手术过程
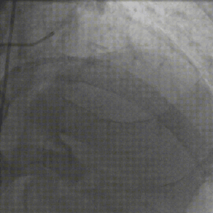
术中先行冠脉造影检查,前降支中段有明显狭窄,随即先行PCI治疗,植入冠脉支架。
主动脉根部造影,显示瓣叶增厚,伴有明显返流。


选择22mm球囊进行预扩,结果显示具有明显腰征,无瓣周返流,随即选择TaurusElite26mm瓣膜,凭借其优异的柔顺性,轻松完成过弓。






苏晞教授寄语
恭喜TaurusElite经导管主动脉瓣系统的上市,该产品的上市有着非常重要的意义。随着人口老龄化的加剧,老年退行性瓣膜病已逐渐成为我国老年人群中的常见病和多发病,越来越多的主动脉瓣重度狭窄的患者需要TAVR手术的治疗。在我们早期的TAVR手术中,使用的基本是国产一代产品。不可回收的一代产品在植入的过程中只有一次机会,即使可以用瓣中瓣弥补一些瓣膜移位的情况,患者的预后及瓣膜寿命是否与单瓣一致还需探讨,总体来说手术容错率较低。在有可回收系统之前,瓣膜展开后无论位置好坏我们只能接受这样的结果;有了可回收系统,如果感觉释放位置不满意可以选择回收瓣膜,选择更加理想的位置释放。具有可回收功能的性能优异的瓣膜的上市对临床医生及患者都是很有意义的事,本例手术无论超声还是造影显示结果都很好,我们也期待患者会有良好对预后,让TAVR手术造福更多的主动脉瓣狭窄的患者。
专家简介

教授,主任医师,博士研究生导师。兼任中华医学会专家会员、中华医学会心血管病学分会委员、中国医师协会心律学专业委员会副主任委员、中国医促会心血管病分会副主任委员、中国非公立医疗机构协会心血管病分会副主任主委、中国卒中学会心血管病分会副主任委员、中国医学救援协会心血管急救分会副会长、中国胸痛中心联盟副主席、中国房颤中心联盟副主席、中国心衰中心联盟副主席、国家卫计委房颤卒中防治专业委员会常委、亚洲心脏病学会理事、中国心血管病学专科医师培训专家委员会委员、中国心血管疾病介入诊疗培训专家委员会委员、国家冠心病介入质控中心专家委员会成员、国家心律失常介入专业质控中心专家委员会成员、湖北省医学会心血管病分会常委、湖北省医学会心电生理与起搏分会副主任委员、卫生部介入培训基地负责人、卫生部介入培训基地冠脉培训导师、卫生部介入培训基地电生理培训导师、湖北省心血管疾病介入诊疗技术质量控制中心专家组成员、《EurHeart J cardiovasc Imaging(中文版)》副主编、《Circulation中文版》《中国心血管杂志》《中国介入心脏病学杂志》《心电与循环》编委、欧洲FESC、美国FSCAI、美国FHRS、欧洲EHRA会员等职务。