葛均波院士结构团队完成世界首个可穿刺封堵器植入

2021年7月9日,复旦大学附属中山医院葛均波院士结构团队,成功完成该团队发明的世界首个可穿刺封堵器ReAces(睿傲™)植入,手术由周达新教授及潘文志、张晓春、李伟等医生完成(图1)

图1   葛均波院士结构团队在手术中

可穿刺封堵器为葛均波院士结构团队在世界上首先提出的概念,并申请了全球专利,和企业进行后期转化研发。在过去临床实践中,该团队发现很多房缺的病人会并发房颤(15%-20%),有些患者甚至并发二尖瓣反流,而目前房颤、二尖瓣反流可以通过左心耳封堵、射频消融、二尖瓣夹合等微创介入手术来治疗。

目前国内外临床使用封堵器的主体均为镍钛合金丝密集编织的四层金属网结构,且双盘的多层阻流膜之间会产生肥厚的纤维增生组织,使得要从封堵器中央穿刺通过器械几乎不可能,丧失房间隔这一重要介入治疗通道。如果这些病人先做了房缺封堵,要穿刺房间隔进行上述两种手术就非常困难,病人就丧失微创介入手术的机会。如何从封堵器中穿刺通过是一个世界性难题。在一次内部团队讨论中,葛均波院士提出了可穿刺封堵器的设想。早在2016年,周达新教授就申请了房间隔分流器的专利。在这个专利启发下,周达新教授、潘文志医生、葛均波院士设计了可穿刺封堵器,并申请了全球专利。

图2   ReAces(睿傲)的设计

ReAces(睿傲)是全球首个进入动物实验及人体试验的可穿刺封堵器,其主体保持了传统封堵器“双盘一腰”的基本结构及工作原理,以保证封堵安全有效;封堵器中央区无金属物、薄阻流膜设计,在有效阻断血流通过封堵器的同时,容易从封堵器中穿刺送入鞘管简单可行。此外,与传统封堵器比金属物明显减少,可减少金属物相关副作用。在安全有效的治疗房间隔缺损的同时,为后续实施经房间隔穿刺的介入手术保留了通道,为患者保留了微创介入手术的机会。通过动物试验发现封堵器再穿操作性良好(图2)。此外,万一这些房缺封堵术后患者后期并发肺动脉高压,可进行房间隔造口降低肺动脉压力。有望适当扩大目前房缺封堵适应证,改写目前国际房缺介入治疗的医学指南。

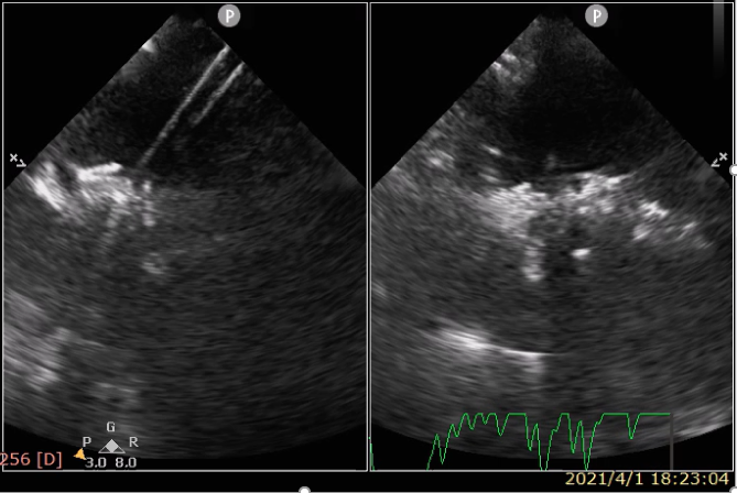
图3 一例植入封堵器2月后动物实现封堵器内再穿刺并送入大鞘管

本次患者是个中年女性,体检发现房间隔缺损,大小18mm,选用ReAces 24mm封堵器,手术顺利完成,术后心超显示封堵器成形、贴合良好,封堵器内及边缘无残余分流。术中影像分析还发现,该器械具有另外一个比以往封堵器更优势的特点,由于双盘面是开放性设计,双盘和房间隔之间更服帖,有望加速器械内皮化。ReAces封堵器是葛均波院士结构团队继全球首个经心尖二尖瓣夹合器ValveClamp之后发明的第二个走向临床的全球首创医疗器械。

阅读数: 18978