2021年7月5日,由空军军医大学西京医院心血管外科刘洋、杨剑教授团队成功完成了健世科技经导管主动脉瓣置换系统(Ken-Valve®)确证性临床研究西北地区的首例入组,手术的圆满成功再次充分展示了Ken-Valve®的安全性和有效性。
患者基本信息:
该例患者为62岁,女性,因“间歇性心悸、胸闷、气短、胸痛1年,加重1周”之主诉入院。入院诊断:主动脉瓣重度关闭不全,二尖瓣、三尖瓣轻度关闭不全,心功能III级;冠状动脉粥样硬化性心脏病。行心脏超声心动图提示“主动脉瓣重度关闭不全;瓣口水平以下左室下壁、后下壁搏幅减低;EF值 0.30,左房、左室大、右房大小正常高限;二尖瓣、三尖瓣关闭不全;轻度肺动脉高压(收缩压42mmHg);主动脉硬化;左室收缩功能重度减低。经心血管外科刘洋、杨剑教授、麻醉科陈敏教授及超声科孟欣教授等专家团队综合评估,判定患者为外科手术高危患者。
手术过程:
手术采用经心尖入路,对患者进行全麻后,在左侧心尖处做3-4cm微创手术切口,在DSA及超声引导下手术顺利完成。从导入器械到完成瓣膜置入,仅耗时约10分钟。术后即刻主动脉瓣反流程度由术前大量反流转为消失,患者于导管室拔除气管插管,次日由ICU转入普通病房。
术前超声影像图
术前DSA影像图

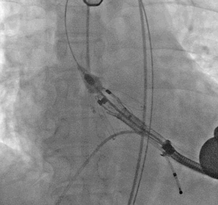
术中瓣膜释放过程
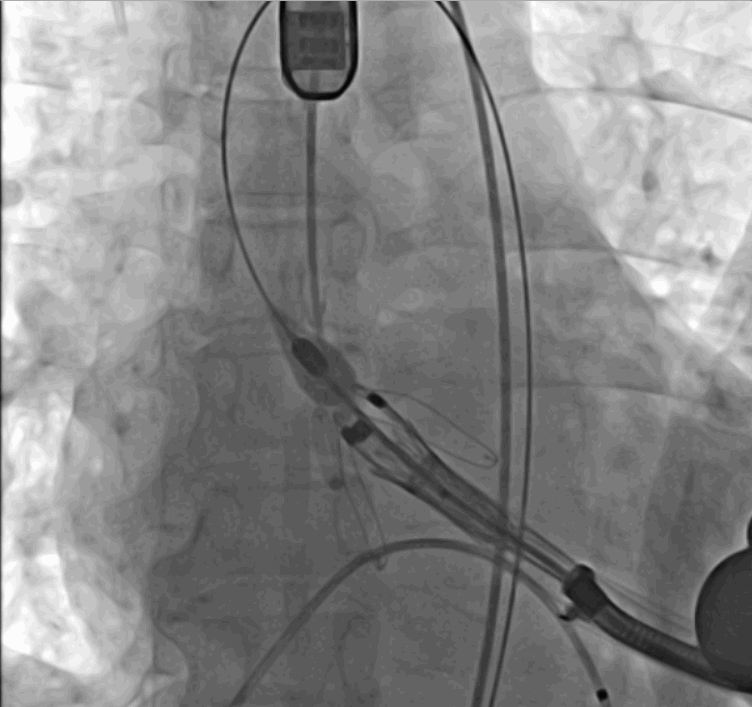
术后DSA影像
此次手术是Ken-Valve®经导管主动脉瓣置换系统首次在西北地区临床应用,手术的成功标志着在该区域主动脉瓣疾病的治疗手段更加的多样化,为重度主动脉瓣反流患者提供更加微创有效的治疗选择。
目前,健世科技已成功与长海医院、北京阜外医院、西京医院、武汉协和医院、北京安贞医院、四川大学华西医院、上海瑞金医院、福建协和医院、浙江大学医学院附属第一医院等多家知名医疗机构合作,开展Ken-Valve®确证性临床研究,为广大主动脉瓣反流心脏病患者提供优质解决方案!