恰逢中国共产党迎来百年华诞之际,“创心瓣旅,嘉行未来”首届TaurusOne多中心技术联播研讨会于2021年6月31日至7月1日成功举行。来自全国多个知名心脏中心,瓣膜介入治疗领域的权威专家共聚一堂,通过手术直播及学术话题研讨,采用线上线下的会议模式,共同分享了经导管主动脉瓣置换术的发展现状及未来趋势。本次手术联播活动,共覆盖全国16个省市自治区,40余个医院终端科室,1万余名专家术者,为从事瓣膜介入治疗尤其是关注结构性心脏病发展的老师呈现了一场精彩绝伦的TaurusOne经导管主动脉瓣置换的学术盛宴。
首届TaurusOne多中心技术联播研讨会,有幸邀请到中国医学科学院阜外医院高润霖院士作为大会主席;四川大学华西医院陈茂教授,冯沅教授,南京医科大学第一附属医院孔祥清教授,广东省人民医院罗建方教授,武汉亚心总医院苏晞教授,浙江大学医学院附属第二医院王建安教授,北京大学第三医院唐熠达教授,空军军医大学西京医院陶凌教授,中国医学科学院阜外医院吴永健教授,厦门大学附属心血管病医院王焱教授,复旦大学附属中山医院周达新教授,中南大学湘雅二医院周胜华教授,首都医科大学附属北京安贞医院周玉杰教授作为致辞嘉宾。此外,解放军总医院刘长福教授,浙江大学医学院附属第二医院刘先宝教授,郑州大学附属第一医院姜正明教授,北部战区总医院徐凯教授,南京市第一医院张俊杰教授,首都医科大学附属北京安贞医院张海波教授作为手术演示联播主持人。在中国共产党百年华际,共同寄语中国TAVR技术的未来发展。
高润霖院士及诸位专家在致辞中纷纷表示:随着老龄化的加剧,老年退行性瓣膜病已逐渐成为我国老年人群中的常见病和多发病。经导管主动脉瓣置换术的出现,开启了老年瓣膜性心脏病治疗的新时代。经过我国众多心脏病介入专家的反复探索和大量实践,TAVR等新技术自问世以来,发展迅速。不仅在安全性和有效性上得到了证实,而且学习曲线也不断在缩短,更广泛的应用于临床。伴随着结构性心脏病介入治疗的加速发展,我国众多心脏病介入专家对诸如TAVR等新技术进行反复钻研和大量实践,国产瓣膜病领域也已经进入全民创新的时代,大量自主研发的结构性心脏病器械也在快速进入临床。如今中国结构领域已经越过初期阶段,开始走向技术精细化的发展和普及阶段。相信随着越来越多像TaurusOne,TaurusElite等优秀国产介入瓣膜装置的上市,可以进一步普及TAVR这项术式,缩短医生的学习曲线,同时借助规范化的医生专业教育培训促进我国经导管瓣膜介入治疗的发展。我们也很欣慰国产瓣膜在自主研发的道路上可以保持前沿的视角,把全球领先的技术带到中国,使更多的中国患者受益。
为期两天的手术联播过程中,来自厦门大学心血管病医院王斌教授,首都医科大学附属北京安贞医院宋光远教授,阜外华中心血管病医院王圣教授,南京医科大学第一附属医院孙伟教授,广东省人民医院李捷教授,中国医学科学院阜外医院吴永健教授,中南大学湘雅二医院方臻飞教授,浙江大学医学院附属第二医院王建安教授,北京大学第三医院唐熠达教授分别带来了精彩的TAVR实战案例。
来自大连医科大学附属第一医院郭然教授,珠海市人民医院姜小飞教授,广东省人民医院李捷教授,首都医科大学附属北京安贞医院刘新民教授,复旦大学附属中山医院潘文志教授,上海市胸科医院潘欣教授,北京大学第三医院汪宇鹏教授,哈尔滨医科大学附属第二医院张东会教授,苏州市立医院张海锋教授,南京医科大学第一附属医院张浩教授,中国医学科学院阜外医院张洪亮教授,武汉亚心总医院张龙岩教授分别在手术进行过程中和手术对应手术团队进行了充分的学术讨论并带来了各自中心的经验分享。
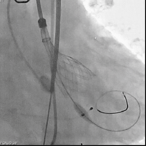
从三叶瓣重度钙化到二叶瓣畸形的根部解剖,从单纯主动脉瓣反流到入路极端迂曲挑战的案例。TaurusOne凭借其优异的柔顺性,支撑力强及内外层双侧裙边的特点,都能从容应对复杂的临床患者解剖结构。从患者的临床选择到术后的长久获益,从手术入路的种类到术中操作的注意事项,从围术期卒中的循证医学到术后的抗凝抗栓用药规范,在线专家共同交流彼此中心的围术期TAVR经验和分享现阶段经导管主动脉瓣置换的诊疗策略。针对当前TAVR领域多个热点学术问题进行了热烈的讨论,现场可谓精彩纷呈、高潮迭起。专家们纷纷借此契机相互交流探讨,分享各自的单中心经验,力求进一步提升TAVR手术的安全性和有效性,为主动脉瓣相关疾病的患者带来长远综合获益。


为期两天的首届TaurusOne多中心技术联播研讨会成功举行,也预示着国产介入瓣膜经过10年快速发展,已经进入了技术成熟和普及阶段。值此中国共产党百年华诞之际,沛嘉医疗秉承至善尽心敬畏生命的精神,扎根于结构性心脏病器械创新领域,不忘初心砥砺前行。用TaurusOne和TaurusElite两款经导管主动脉瓣系统,以实际行动向党的百岁生日献礼。用“以平衡之韵,济刚柔之道”的独特设计,服务中国医生,造福国内患者,为中国心脏瓣膜病介入治疗增添勃勃生机。