江西首例!南昌大学第一附属医院彭小平团队完成省内首例90岁超高龄TAVR手术

5月27日,南昌大学第一附属医院心内科彭小平主任团队成功完成江西省年龄最大的超高龄高危TAVR手术。成功刷新江西省内TAVR患者年龄新高度,同日又完成一例88岁高龄TAVR手术。

90岁超高龄患者的康复出院,标志着江西省TAVR手术技术正不断攀登新的高峰。

术前,彭小平主任团队联合麻醉,超声,影像,外科,导管室,手术室多个兄弟科室,仔细研讨手术方案,探讨术中突发情况的处理预案,在导管室严阵以待。

短短几个小时,病人情况已经得到显著改善,术后平均跨瓣压差减少至5mmHg,病人在CCU苏醒后安然返回病房。

病例资料

患者为90岁男性,胸闷气促十余年,诊断为主动脉瓣重度狭窄、冠状动脉粥样硬化性心脏病、心功能III级、阵发性心房颤动、高血压病3级(极高危)、胸腔积液(右)、颈动脉硬化合并肺动脉高压。

术前评估

CTA主动脉根部解剖:

患者为三叶瓣,轻度钙化,右冠开口高度较高,升主动脉最宽处约33.2mm,横位心,心脏角度约62°,左室偏小。

Annulus Dimensions ——24.5mm

 LVOT——25.5mm


Sinus——32.6*34*28.9mm

Stj——30.5mm

升主最宽处:33.2mm

心脏角度:62°

该病例为三叶瓣,瓣环直径24.5mm,左冠开口高度12.2mm,右冠开口高度17.4mm,升主最宽处达33.2mm,经核心实验室评估后 术中冠脉无堵塞风险,入路内径尚可,计划使用右侧股动脉为主入路,左侧股动脉为副入路。23mm球囊预扩张,使用Venus-A 29瓣膜。

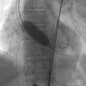
手术过程

患者麻醉方式采取全麻,建立静脉通路后,穿刺左侧股动脉,建立副入路。在超声引导下精准穿刺右股动脉及股静脉,预埋两把ProGlide缝合器,置入20F动脉鞘管,漂浮电极经股静脉送至右室心尖。跨瓣成功后,将Lunderquist导丝送入左心室, 23mm球囊预扩张,Venus-A 29瓣膜精准定位并释放,术中造影及超声反馈良好,瓣膜形态良好,结果满意。

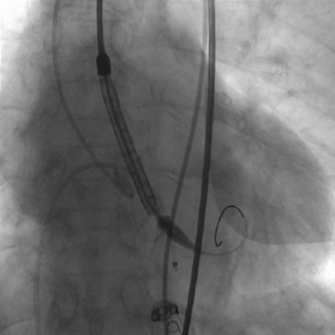
主动脉根部造影

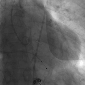
球囊预扩

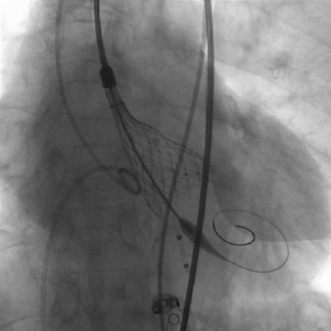
输送器定位

瓣中瓣释放

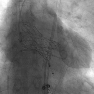
释放后造影结果

患者即刻跨瓣压差显著下降,再行主动脉造影提示瓣膜置入位置良好、形态完整,未见瓣周漏,未出现相关并发症,取得了良好的手术结果。

术后总结

患者一周后康复出院,症状得到显著改善,术后平均跨瓣压差降至5mmHg,无瓣周漏,术后彩超复查瓣膜工作形态良好。患者反馈良好,精神状态得到很大提升。

团队介绍:

南昌大学第一附属医院心脏瓣膜团队由郑泽琪主任、彭小平主任牵头组建,联合心脏大血管外科、麻醉科、手术室、超声医学科等多个学科组成多学科团队,整合了多个部门精英骨干,聚焦经导管心脏瓣膜病介入治疗,制定了精细的术前筛查、手术计划,术中精诚合作,术后精细管理,为每一位心脏瓣膜疾病患者提供最优化的治疗方案。

团队自2018年组建以来,已完成50余例TAVR手术,包括单纯主动脉瓣反流病例、全国首例经腋动脉入路无造影剂TAVR手术,取得了良好的社会反响。团队成员包括:郑泽琪主任医师、彭小平主任医师、姜宇副主任医师、郑耀富主治医师、华经海主治医师等。其中彭小平主任医师曾赴美国休斯敦医学中心及北京阜外心血管医院学习经导管介入心脏瓣膜病;姜宇副主任医师于德国汉堡Klinik St.Georg医院学习经皮导管介入治疗瓣膜病;郑耀富主治医师于北京安贞医院学习心血管介入彩超及北京阜外心血管医院学习TAVR手术,团队成员有较为丰富手术经验及相关技术。


阅读数: 674