2021年7月1日,为热烈庆祝中国共产党成立100周年,各界都在组织观看“建党100周年庆祝大会”现场直播,深刻学习感受中国共产党成立100周年的丰功伟绩,传承“红色精神”--不忘初心,牢记使命!
复旦大学附属中山医院手术室中,心外科王春生教授、魏来教授团队携手心内科周达新教授、潘文志教授以及心超室董丽莉教授,赵维鹏教授成功完成了迈迪顶峰E-Chord™腱索重建二尖瓣修复手术的全球第三例临床试验。以实际行动向党的百岁生日献礼。
患者:男性 52岁
患者吴先生,52岁,患二尖瓣关闭不全10多年,术前超声诊断:二尖瓣后叶脱垂、伴重度反流、左房增大。经中山医院王春生教授、魏来教授团队综合评估分析,决定使用北京迈迪顶峰医疗科技股份有限公司研发的“E-ChordTM二尖瓣修复装置”进行腱索重建手术。
术中,王春生教授、魏来教授团队在超声引导下,仅用一个多小时就将3根人工腱索准确地锚定在患者二尖瓣脱垂病变区域,顺利完成了E-ChordTM人工腱索的植入,修复了患者的二尖瓣腱索,使二尖瓣恢复了正常功能。
术后,患者二尖瓣反流立即消失,同时左房平均压明显改善。手术全程在超声引导下进行,操作可控,无放射线,心脏不停跳,无需体外循环,创伤小,不出血,恢复快。手术全过程充分体现了E-ChordTM安全、有效、微创、便捷的设计理念和以医生/患者为本的企业价值观。

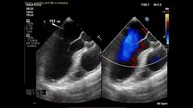
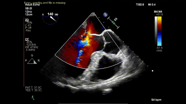
术前反流情况

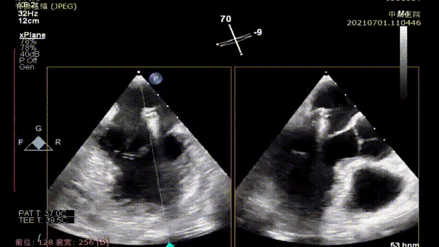
术中器械释放过程

术后二尖瓣反流消失
至此,E-ChordTM已在中山医院圆满完成三例手术。5月27日的首例患者及6月17日的第二例患者在植入人工腱索后,二尖瓣反流完全消失,术后随访结果理想。今天,完美完成的E-ChordTM治疗的第三例患者,再次验证了穿刺式腱索重建二尖瓣修复手术治疗二尖瓣反流的安全性和有效性。
E-Chord™二尖瓣修复装置由北京迈迪顶峰医疗科技股份有限公司的工程师团队与复旦大学附属中山医院心外科王春生教授团队历时5年研发而成,秉承“安全、有效、微创、便捷”的设计理念,将卓越的创新能力和丰富的临床经验充分结合,堪称医工交叉合作的典范。未来,双方将更加精诚合作,拓展E-Chord™与Easy-Knot配合使用实现二尖瓣缘对缘修复和瓣环收缩的新功能。E-Chord™做为国内首个兼顾穿刺修复二尖瓣腱索、瓣叶“缘对缘”和瓣环收缩为一体的创新产品,即将由复旦大学附属中山医院牵头国内多中心临床试验,以造福更多二尖瓣返流患者。