直击二尖瓣反流MitraClip手术现场:结构性心脏病介入技术培训班第21期培训会完满收官

2021年6月23日,由国家心血管病中心、国家卫健委经外科途径介入质控中心、国家卫健委先心病介入质控中心、北京健康促进会联合开设的“结构性心脏病介入技术培训班第21期培训会”圆满举办。培训班课程自举办以来一直聚焦于结构性心脏病前沿诊疗知识、瓣膜介入技术的规范化操作以及介入理念的普及推广,通过多维、立体、全新的视角和观念,吸引了业内人士的广泛关注。

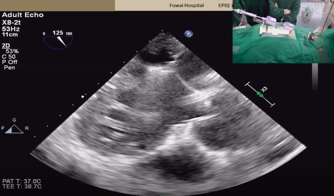
由于疫情的原因,第21期培训会采用线上线下结合的方式举办,会上,中国医学科学院阜外医院潘湘斌教授谢涌泉教授借助手术直播的形式,运用MitraClip顺利完成1例高难度二尖瓣反流患者修复手术,向与会嘉宾直观展示和总结了MitraClip手术方案决策和术中操作技巧;谢涌泉教授也结合我国研发现状,围绕二尖瓣反流的治疗进展,做了一个全面而精彩的演讲。最后,又通过workshop环节合力呈现了一场精细又实用的二尖瓣反流诊疗培训会议。

谋全局、把方向

二尖瓣反流介入治疗进展

▼▼▼

培训班伊始,谢涌泉教授基于国内外二尖瓣反流患者诊疗现状出发,对二尖瓣介入治疗的最新进展进行了详细介绍。他谈到,流行病学调查显示,75岁以上老年人群中,约10%合并中重度二尖瓣关闭不全(MR)。目前对于原发性二尖瓣关闭不全(PMR),外科手术仍是主要的治疗手段,而对于功能性二尖瓣不全(FMR),药物治疗排在首要位置。重度MR患者如果不接受手术治疗,1年和5年的死亡率分别高达20%和50%。

我国MR横断面调查研究结果

对我国190家医院11,873名患者的横断面调查数据显示,7,031名中重度MR患者中,仅10%接受了外科手术或介入治疗。由于目前我国还没有完整的MR流行病学调查数据,通过类比美国流行病学数据,估测我国需要干预的MR患者约为750万,而目前极低的治疗率(0.5%)预示着该领域具有极大的发展前景。

与外科手术方法类似,目前MR介入治疗手段包括瓣膜置换、瓣环成形、缘对缘修复以及人工腱索植入。每种术式均已开发出相对应的手术器械,共同组成了二尖瓣介入治疗的“工具箱”。同时,谢涌泉教授详细讲解了MitraClip发展现状及我国关于二尖瓣反流器械系统MitraFix的研发进程。

MR介入治疗手段及相应产品

MR患者该选择经导管二尖瓣修复还是置换也是国内外众多专家普遍在思考和讨论的话题。谢涌泉教授则指出,在2020年ACC更新的MR管理专家共识中明确表明,对于外科手术高危的PMR患者,可考虑经导管二尖瓣修复。对于FMR患者,药物治疗的基石地位维持不变,药物治疗效果不佳的患者可考虑行心脏同步化治疗,而心脏同步化治疗效果仍然不佳的患者,应组织多学科讨论是否行经导管二尖瓣修复,外科置换术应作为最后选择。可见在指南推荐方面,经导管二尖瓣修复在二尖瓣关闭不全的治疗中已经占有了一席之地。

对于二尖瓣修复术和置换术的未来发展趋势,谢涌泉教授总结认为,现阶段二尖瓣修复术已开发出功能完整的“工具箱”,将来可满足瓣环修复、瓣叶修复、腱索植入等不同术式要求,适应证更广,且修复的临床应用数据丰富,效果明确,未来发展前景良好。而置换术虽然手术操作难度不大,但手术并发症和死亡率居高不下,同时该技术临床应用时间较短,瓣膜的长期耐用性仍未知,且由于二尖瓣的解剖结构相对主动脉瓣更为复杂,现阶段所使用产品均是经心尖入路,经股静脉入路产品研发困难,一定程度上限制了该技术的临床应用。

实践出真知

二尖瓣反流MitraClip手术演示

▼▼▼

耳闻不如目见,目见不如足践;讲课结束后,潘湘斌、谢涌泉教授携手中国医学科学院阜外医院结构性心脏病介入团队,运用MitraClip成功完成了一台二尖瓣反流介入手术。由于患者高龄、病史长,且患者心脏解剖结构变化明显,全心增大,重度转位,均显著增大了手术操作和超声指导难度。不过术中,两位术者教授镇定自若,在遵循MitraClip手术规范化操作流程的前提下,灵活转变手术策略,顺利呈现了一场细节与实操并存、极具指导和教学意义的MitraClip手术。

患者为一名70岁女性,因间断胸闷4年、心衰加重2月入院,2年前因房颤伴长间歇行ICD植入。术前超声心动图检查提示二尖瓣重度反流(FMR4+),EF 28%,LVEDV 72mm,全心增大。

手术患者病例摘要

手术团队使用MitraClip独特的三层双调弯导管,经股静脉穿刺,在食道超声引导下完成房间隔穿刺,由于患者心脏转位明显,超声反复确定位置,确保穿刺位置距离二尖瓣环水平的高度不低于40mm。

经食道超声确定穿刺部位

穿刺后将导管送入左心房,靠近二尖瓣目标位置。术中发生了最令人担心的输送系统头端缠绕了腱索,经仔细调整输送系统,解除腱索缠绕后再次靠近二尖瓣二区的位置,准确捕获二尖瓣瓣叶。初次夹闭时二尖瓣后瓣夹闭部分较少,松开瓣夹后再次调整位置,准确捕获并充分夹闭二尖瓣瓣叶,完成经导管缘对缘修复。

超声确定二尖瓣夹夹闭位置

二尖瓣夹释放后,超声显示反流几近消失,患者各项生理指标正常,手术顺利完成,手术操作耗时约60 min。

 患者术后超声检测及生命体征

在手术过程中和术后讨论环节,潘湘斌教授反复强调,由于该患者心脏解剖结构明显变异,心脏明显转位,对超声指导和手术操作造成极大困难,对于手术经验较少的单位,不建议尝试此类患者。此外,术中出现的腱索缠绕,需充分解除缠绕并更换手术位置,否则将直接导致手术失败。

多元互动

workshop破解MitraClip密码

▼▼▼

为了便于与会嘉宾更好地理解和学习,最后,潘湘斌教授于线下分会场中带领现场参会的学员们以workshop的形式,深入介绍了MitraClip手术器械的组成部件、工作原理和使用方法。

学员们在潘湘斌教授的讲解和引导下,以解决临床医师切身问题为引导,通过模拟MitraClip在不同情况下操作的方式,亲身感知、了解和使用MitraClip器械模型,进一步加深了对MitraClip的掌握能力和使用特点。

至此,“结构性心脏病介入技术培训班”第21期培训会圆满结束。

着眼于二尖瓣反流疾病的诊疗与手术实践,本期培训课程热点与难点交汇,内容新颖,可操作性强,线上直播的方式也吸引了来自山东大学齐鲁医院、四川大学华西医院、福建省立医院、哈尔滨医科大学附属第一医院、西南医科大学附属医院等等4000多位瓣膜介入领域专家教授及学者在线观看,交流互动,充分达到了培训h%e推广的目的,促进了结构性心脏病诊疗技术的发展和同质化诊疗水平的提升。

阅读数: 1379