2021年6月28日,阜外华中心血管病医院刘煜昊教授成功完成TaurusOne®经导管主动脉瓣系统上市后中部地区的首次植入。成功为一例患者进行了经股动脉经导管主动脉瓣置换。该病例流入段呈桶状形态,左右瓣叶融合并形成坚强钙化嵴,瓣膜植入后工作正常稳定,术后患者血流动力学均得到了有效改善,为患者带来更长久生存期受益和更高生活质量。
患者基本信息
患者:男性,超声心动图显示主动脉瓣增厚,回声增强,开放受限。峰值跨瓣压差58mmHg,瓣上速度 3.8m/s,瓣口面积0.98cm²,提示主动脉瓣重度狭窄并伴有轻度关闭不全。
术前评估
主动脉瓣瓣环周长77.4mm,平均周长径24.6mm。CT数据显示该患者为Type1型二叶式主动脉瓣,瓣叶轻度增厚,中度钙化,钙化分布散在分布于瓣叶边缘,左右瓣叶交界区钙化分布较重,左右瓣叶融合并形成坚强钙化嵴,左右冠开口高度可,未见冗长瓣叶,冠状动脉散在钙化。
瓦氏窦内径较大,窦管交界内径可,升主动脉扩张
右侧髂外动脉轻度扭曲,双侧股髂动脉血管直径良好
病例特点
该病人为一例典型主动脉瓣重度狭窄患者
① 中度钙化,左右瓣叶融合并形成坚强钙化嵴,预估球囊预扩难以打开,存在一定植入假体瓣膜形变、根部损伤风险。
② 流入段呈桶状形态,预估人工瓣膜封堵效果良好,中大量瓣周漏风险偏低。
主动脉根部评估
左右冠脉高度
外周血管及主动脉弓解剖
手术策略讨论
①考虑到患者左右瓣叶融合并形成坚强钙化嵴,钙化嵴可增加中大量瓣周漏,因流入段呈桶状形态,故决定人工瓣膜植入位置稍低位释放,通过流入段增加封堵效果,减少瓣周漏风险。
②选择23球囊预扩张,本中心习惯球扩与跨瓣选取右窦中心位,术前CT评估为LAO 4° CRA0° 左右,预装AV29瓣膜;右窦中心位释放人工瓣膜,植入深度推荐标准位(瓣环下2—4mm)。释放后可酌情选择左右重合位(RAO12,CAU24左右)进一步确定人工瓣膜形态。
③患者双侧入路血管条件佳,常规选择右侧股动脉为主入路,左侧为辅入路。
手术过程概览

主动脉根部造影
球囊预扩
23mm球囊预扩,无明显腰征,少许瓣周漏,未见冠脉阻挡,决定选择TaurusOne®AV29瓣膜。
TaurusOne®轻松过弓
TaurusOne®释放过程:

瓣膜定位
瓣膜释放
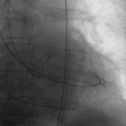
瓣膜释放后
瓣膜释放后形态位置良好,造影无返流。
术后即刻评估

瓣膜释放后主动脉根部造影
刘煜昊教授寄语:

结构性心脏病病区在省内率先成立,引进北京阜外医院的先进理念和技术,依托河南省人民医院强大资源,融合心内、心外科技术力量,突出微创优势。在结构性心脏病介入数量及质量连续多年位列全省首位。沛嘉TAVR瓣膜是新上市的国产瓣膜。每个瓣膜都有其的特点,只有充分了解瓣膜和患者的特点,才能达到最优效果。没有完美的瓣膜,只有完美的准备;没有完美的个人,只有完美的团队。借此感谢指导我们的各位领导老师、专业细化的学术精神、精诚协作的兄弟科室。
专家简介

心血管内科副主任,结构性心脏病病区主任,主任医师,医学博士,硕士研究生导师。
中国医师协会心血管病分会结构性心脏病委员会委员、河南省医学会心血管病学会委员、河南省全民健康促进会心血管病防治委员会副主任委员。擅长冠心病、先心病、瓣膜病等诊断与治疗。发表学术论文二十余篇,主编专著一部,获得省厅级科技奖励多项。