
近日,首都医科大学附属北京安贞医院(简称“安贞医院”)心脏瓣膜病介入中心再次完成两例复杂结构性心脏病手术,其中一例为AS合并钙化复杂冠心病行一站式TAVR+旋磨后PCI术,另一例为FMR使用Mitra Clip行二尖瓣修复。
连续两例手术的圆满完成既充分彰显了中心主任宋光远教授团队处理复杂结构性心脏病的救治实力,同时也标志着安贞医院建设高水平心脏瓣膜病介入中心,造福广大患者这一目标初显成效,再度亮出“高分答卷”!
病例一
74岁男性,因活动后胸闷憋气如我院,超声提示主动脉瓣狭窄,STS评分12.3%,经心脏团队讨论有行冠脉造影检查及TAVR指证。
术前CT
CT提示为该患者三叶瓣,右无轻度融合,冠脉开口高度尚可,窦部空间可,髂总动脉近环形钙化,内径可,计划予以23mm球囊扩张,植入Venus A 26瓣膜。
手术过程



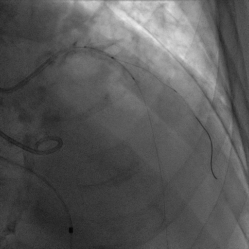
CAG:LAD近中段弥漫钙化,近段80%狭窄,中段90%狭窄,D190%狭窄,中间支近段90%狭窄,右冠近中段弥漫病变,最重狭窄50%。考虑患者胸痛症状可能为冠心病+AS共同作用,以及患者冠脉病变钙化严重,予以旋磨+PCI+TAVR一站式处理。

于中间支植入2.5*18mm支架
1.5mm旋磨头以16万RPM旋磨三次

3.0*15mm球囊后扩张
3.0*15mm球囊预处理LAD近段病变

复查冠脉造影结果满意


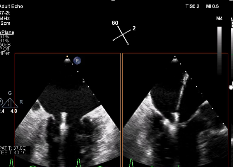
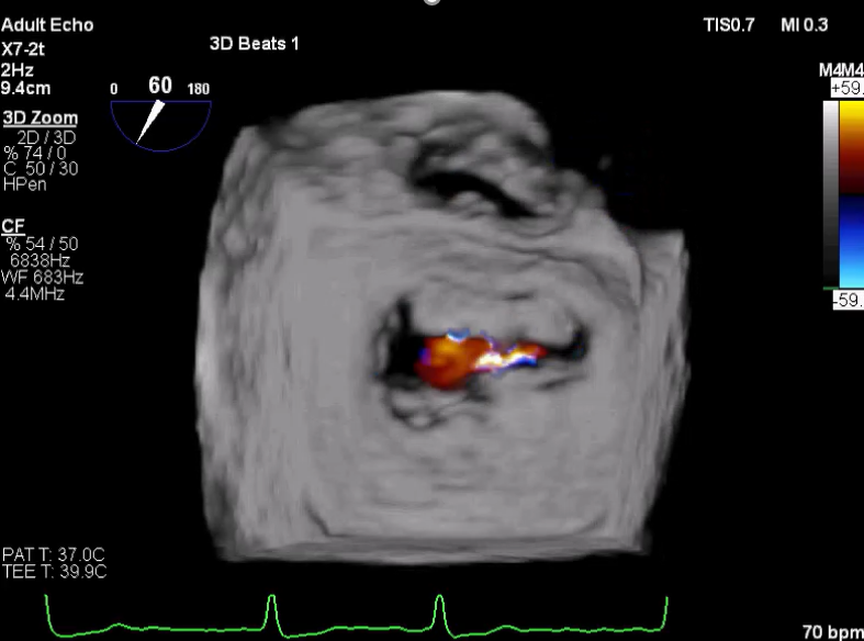
造影提示微少量返流,压力监测提示主动脉瓣压差7mmHg
该例手术体现了团队在处理AS合并钙化复杂冠心病领域的团队“硬实力”。
就此例病症来说,即便是单拎出冠心病的处理,对于医生来说都十分棘手;这就要求整个团队必有具备扎实的冠脉介入手术功底和丰富的TAVR手术经验,术者也必须精通这两类手术。而安贞医院心脏瓣膜病介入中心则出生于医院冠脉介入团队,有着厚实的“底子”,加之宋光远教授的正向加成,因此,团队有着充分的信心和能力联合多种术式,为患者解除病痛。
病例二
患者为81岁男性,主因“间断胸闷2年,加重1月”入院,患者2年前于感冒后出现胸闷症状,伴咳嗽、无咳痰,无夜间阵发性呼吸困难及双下肢水肿,近2年间断出现,未规律诊治。
1月前感冒后再次出现胸闷、咳嗽症状,于当地医院查超声心动提示:“二尖瓣前叶脱垂,二尖瓣重度反流”,动态心电图提示:“心房颤动”,当地给予“呋塞米、螺内酯、诺欣妥、利伐沙班”等药物治疗,患者上述胸闷、咳嗽症状略减轻,但上楼2层以上仍存在胸闷、气短症状,为进一步诊治来我院,查超声心动提示:二尖瓣前叶对合点(A2、A3区)后移并重度反流,左心大(左室:44/60mm,左房:55*60*78),肺动脉高压(42mmHg),三尖瓣重度反流,右房大(54*71mm),现患者平素日常活动轻度受限,无夜间阵发性呼吸困难。
既往史
心房颤动病史10余年,现口服利伐沙班治疗。无高血压、糖尿病、冠心病病史。入院查肌酐升高(124.9umol/L)。尿酸升高(510.4umol/L)。
入院诊断
心脏瓣膜病 二尖瓣前叶脱垂 二尖瓣重度反流 三尖瓣重度反流 心脏扩大 心房颤动 心功能II级(NYHA分级),肺动脉高压,肾功能不全,高尿酸血症。
术前讨论
患者高龄男性,原发性二尖瓣重度关闭不全诊断明确,患者存在心力衰竭症状,经积极药物抗心衰治疗,其心衰症状改善不明显,左室、左房、右房增大,肺动脉高压,考虑二尖瓣重度关闭不全对患者心功能影响较大,但患者高龄、合并肾功能不全,其二尖瓣置换STS评分15.732%,经综合评估后,认为该患者有行Mitraclip指征。
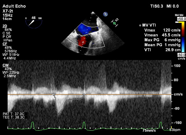
术前超声评估
术前超声诊断
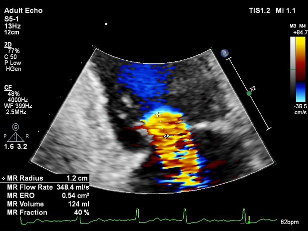
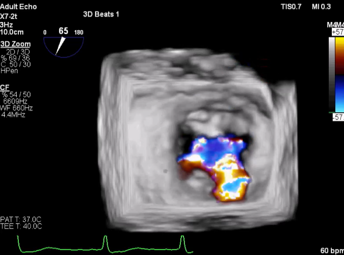
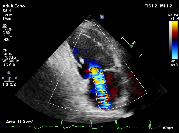
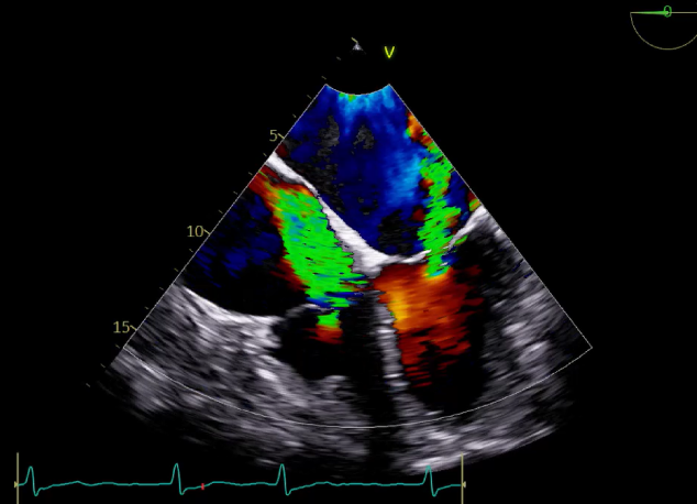
LVOT-color:MR(重度),返流面积11.3cm2
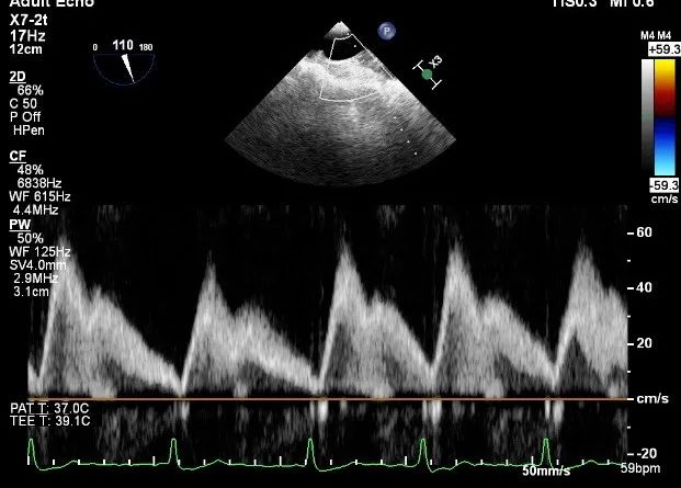
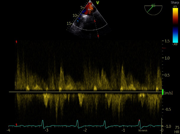
肺静脉血流频谱呈收缩期反向
3D-color MV view:血流主要来源于2、3区
Qlab软件勾画估测瓣口面积约:6.16cm2
TEE LVOT切面返流量评估
TEE 4-Ch view返流量评估
手术过程
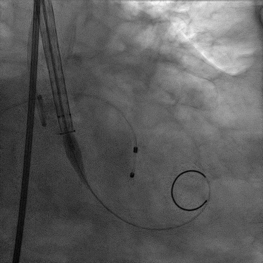
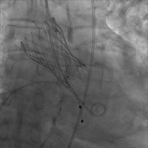
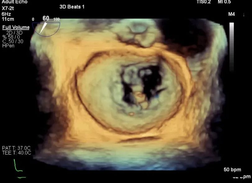
患者麻醉方式为全麻,建立静脉通路后,穿刺右侧股静脉,预埋ProGlide缝合器,食道超声指导下房间隔穿刺成功,将Superstiff导丝送至左房,应用18F鞘管扩张穿刺部位,沿导丝将导引导管送入左房,MitraClip调整后顺利到达二尖瓣目标位置,在X线及食道超声辅助下,将Mitraclip NTR成形夹精确定位后,成功夹合二尖瓣A2-P2区,超声显示反流明显减少,多切面证实夹合组织充分,肺静脉多普勒波形由反向恢复正常,手术顺利结束,安返普通病房。
术中超声
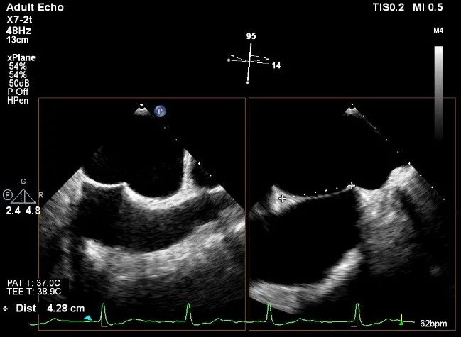
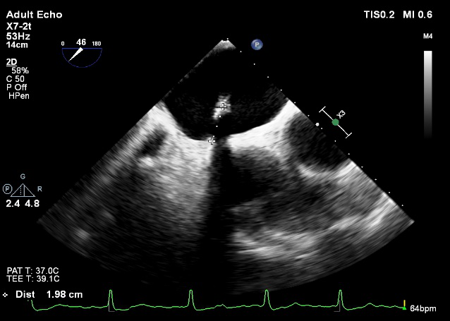
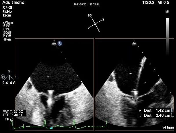
确定房间隔穿刺点:靠后
2D视图下测量大鞘长度2cm
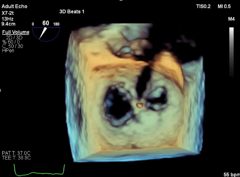
3D视图打开夹子
X-plane:下第夹子尝试捕获2区
X-plane:测量前叶长25mm,后叶长14.2mm
X-plane:计算前叶捕获长度8mm,后叶捕获长度7mm
3D视图下观察二尖瓣双孔形态
3D-color:残余少量返流
自2021年5月,安贞医院心脏瓣膜病介入中心以一天内完成3台TAVR手术标志心脏瓣膜中心正式投入工作以来,此例MitraClip二尖瓣修复术已是团队陆续成功完成的第四例MitraClip手术。
此例二尖瓣修复术虽然存在一定的难度和复杂之处,但团队在面临MitraClip时已不再是“初生牛犊”,此次整个手术过程团队整体配合默契,操作流程顺畅。手术过程也相对较快,患者术者身体情况大幅好转,症状明显改善;可以说团队在处理复杂二尖瓣反流患者方面已达到了较高水准。
总的来说,两例高难度手术的圆满完成也自此展示了安贞医院心脏瓣膜中心在处理复杂结构性心脏病的团队本色,彰显了医院在硬件和软件上的初具规模。未来随着队伍的不断壮大,临床诊疗经验的积累,安贞医院心脏瓣膜病介入中心也将进一步提高诊疗效率,精耕不止,打造出一张结构性心脏病时代下的“安贞名片”。
专家简介

教授,博士生导师,心脏瓣膜病介入中心主任。
专业擅长:主动脉瓣狭窄、二三尖瓣关闭不全等心脏瓣膜病的介入治疗,左心耳封堵术,复杂冠心病的介入治疗。
中国医师协会心血管病分会结构专家委员会秘书,中华医学会北京分会心血管病委员会结构学组秘书,中华医学会北京分会心血管病委员会青年委员会委员,亚太结构性心脏病青年俱乐部秘书长,亚洲心脏病瓣膜病学会中国分会心脏瓣膜病介入治疗技术学术委员会副主任委员,中国医疗保健国际交流促进会心血管预防治疗分会“冠心病防治学组”委员,世界中联专业委员会心血管介入协会 委员,中国结构周核心工作组秘书长,亚太结构心脏会议(AP-CASH)日程委员会委员,中国心脏大会(CHC)日程委员会/主席团委员,中国介入心脏病大会(CIT)工作组/主席团委员,欧洲介入心脏病年会(EUR-PCR)主席团成员,德国结构和先天性心脏病年会(CSI)主席团成员,美国介入心脏病年会(TCT)主席团成员,美国心脏病学院(ACC)复杂冠心病介入介入导师,复杂冠脉CTO介入治疗-正向内膜下重回真腔技术(ADR)认证术者,全球TAVR(启明、微创、爱德华等)带教专家,全球LAAC(波士顿科学等)带教专家。
主要进行退行性瓣膜病介入治疗、复杂冠心病介入治疗,糖尿病合并冠心病诊疗、冠心病介入治疗术后微循环功能评价等系列研究,2015.2-2016.7 美国Cedars Sinai Medical Center博士后学习,累计完成TAVR手术超过1000例,其中TAVR+PCI一站式治疗100余例,累计完成LAAC超过200例,其中LAAO+PCI一站式治疗50余例,主持结构性心脏病影像核心实验室,目前完成CT分析2000余例,包括TAVR和LAAC,为全国提供临床和科研支持,带教省级医院横跨30余省市60余家,主持国家自然青年基金、教育部博士点基金、协和青年基金等多项课题,研究成果在ESC、CHC和CIT等大会报告,发表论文20余篇,共计他引110余次,发表文章质量高:63.2%的文章均发表在《我国高质量科技期刊分级目录》收录的期刊中; 21%的文章位于T1区(国际一流期刊),31.6%的文章于T2区(国际知名期刊),参与编写、翻译多部书籍,主译《心脏导管手册》,《结构性心脏病介入治疗》。《结构性心脏病集萃2020》。

临床医学博士,主任医师。
中华医学会心血管分会结构性心脏病介入学组全国委员,北京医学会介入分会青年委员会副主任委员;中国研究型学会心血管影像分会青年委员会主任委员;国家卫计委结构心脏病介入资质培训导师主要从事结构性心脏病诊断及介入治疗。擅长外科换瓣术后瓣周漏介入治疗,完成例数、复杂程度及成功率均居全国前茅;完成世界最大组大血管术后吻合口漏的介入治疗,并创新性制定主动脉外科术后吻合口漏的解剖及病理分型,受到国内外广泛关注;完成全国最大组主动脉缩窄介入治疗;擅长少见先天性心脏病及先心病外科术后残余病变的介入治疗;完成安贞医院最大组二尖瓣及肺动脉瓣球囊成型术。

心脏瓣膜病介入中心副主任,主任医师
从事心血管内科的临床、科研、教学工作。
专业特长:心内科各种常见疾病如冠心病、心律失常、高血压、心力衰竭、心肌病等的诊治,能够熟练处理心血管急危重症的抢救与治疗。特别是冠心病介入治疗。
积极开展科研工作,先后主持并完成高等学校博士学科点专项科研基金1项,北京市卫生与健康科技成果和适宜技术推广项目1项等,先后发表论文20余篇,其中SCI论文2篇,副主编医学专著1部,参加撰写或翻译5部。

博士,副主任医师,专业:心脏瓣膜病、冠心病、心律失常、心力衰竭,尤其擅长经导管主动脉瓣置换术(TAVR)、经皮冠状动脉介入治疗(PCI)、起搏器及埋藏式心律转复除颤器植入术(ICD)、心脏再同步治疗(CRT)及心力衰竭的综合治疗。致力于心脏瓣膜病的临床及介入治疗,推动TAVR手术流程的简化,作为团队成员在国内率先在TAVR术中应用左心室导丝起搏技术。在国内外期刊发表学术文章数十篇,参与编写《心电图与冠状动脉造影》、《冠心病介入治疗技术与策略》、《介入心脏病学》等多部学术专著。
中心介绍:
首都医科大学附属北京安贞医院是治疗心肺血管疾病为重点的三级甲等综合性医院,心血管内、外科手术例数名列全国综合医院第一,在全国心血管领域处于领军地位,也是全国较早开展瓣膜病介入的医院之一。安贞医院心脏瓣膜病介入中心应时而生,荟聚了安贞医院院内以及全国范围内的结构性心脏病的菁英专家,着力于各类心脏瓣膜性疾病的介入治疗,打造心脏瓣膜病介入领域重点学科。
安贞医院心脏瓣膜病介入中心是年轻的科室,现拥有医生15名,护士12名,集合了安贞医院以及全国的一批成熟的结构性心脏病的术者和医生团队,核心小组成员来自影像科、超声科、麻醉科、导管室、康复团队等多个科室,最大程度上在开展手术的同时保证病人的安全性,让病人得到最佳的治疗效果,同时通过瓣膜病介入中心,可以更好做到质控以及病人的中远期管理。