献礼百年|广东省人民医院罗建方团队突破疫情重重困难 独立完成广东省首例DragonFly™二尖瓣瓣膜夹植入

2021年6月25日,在党的100年华诞即将来临之际,广东省人民医院罗建方、范瑞新教授团队突破疫情重重困难,在香港亚洲心脏中心林逸贤教授的连线沟通下,为一位外科高风险的重度二尖瓣反流患者成功植入DragonFly™二尖瓣瓣膜夹,此例手术是续2016年罗建方团队在华南地区率先开展TAVR手术以来,再次率先在二尖瓣经股静脉修复领域取得突破性进展,此次手术的开展标志着广东省人民医院罗建方教授团队在华南地区结构心领域持续领先,助力华南地区结构心高速发展。

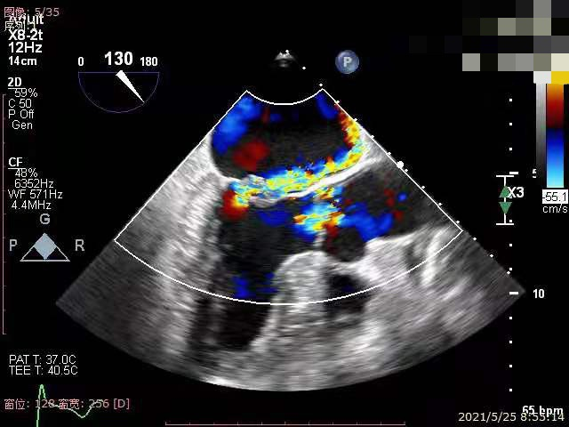
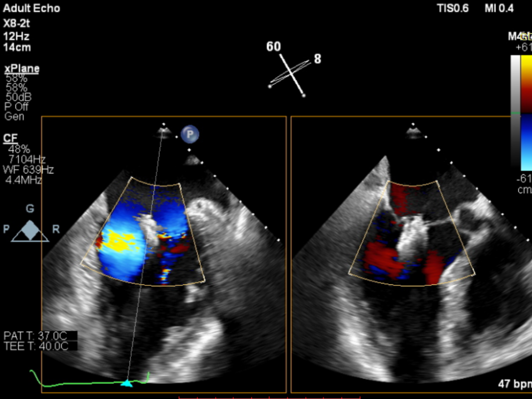
术前,罗建方、范瑞新教授团队进行了多次缜密术前讨论,最后决定为患者采用DragonFly™二尖瓣瓣膜夹。经充分的术前讨论后,心内科罗建方、范瑞新教授团队,在超声指导下,麻醉和体外循环团队保驾护航,瓣膜夹平稳释放,成功植入一枚DragonFly™瓣膜夹,随即进行DSA及心脏超声复查,观察到植入的瓣膜夹位置精确,患者二尖瓣反流从4+减少到1+以下,手术取得了圆满成功。

术后罗建方教授表示:中国严重的二尖瓣关闭不全的患者人群超过1000万以上,大量患者因无法耐受外科手术而只能靠药物治疗勉强维持,这些患者急需一个创伤小的介入治疗器械进行救治。DragonFly™经导管二尖瓣瓣膜夹系统应运而生,通过穿刺股静脉跨越房间隔治疗二尖瓣关闭不全,术后仅在患者腿上有一个5mm的小切口。作为我国完全自主研发的二尖瓣瓣膜夹系统,该瓣膜夹系统能有效降低复杂手术难度,实现了瓣叶的灵活夹合,让医生在术中能更从容地进行精准定位释放,减少严重并发症的发生,降低手术风险,提高手术成功率,使患者真正获益。广州正处于疫情重要攻坚阶段,同时,中国共产党百年华诞即将到来,广东省人民医院结构心团队弘扬党的“不畏艰险,勇往直前”精神,克服疫情带来的层层阻碍,协同多科室,在保证安全的情况下,高质量完成此例高难度手术挽救了患者生命。

广东省人民医院心内科罗建方教授联合心外科范瑞新教授组成心脏团队,秉持“立足心脏,关注全身”的广泛血管治疗理念,累计完成各类主动脉夹层及腹主动脉瘤手术2000余例,周围血管介入治疗1000余例,自2016年开展瓣膜病的介入治疗以来,累计完成经导管主动脉瓣置换术600余例,完成二尖瓣钳夹,二尖瓣腱索修复,脑保护装置等多个瓣膜介入治疗新器械的上市前临床研究。结构性心脏病是心血管介入领域未来重要的发展方向,本次完成广东首例经股静脉二尖瓣钳夹术,标志着团队在该领域再次取得重大突破,为推动华南地区二尖瓣介入治疗领域的发展奠定基础。

公司简介

杭州德晋医疗科技有限公司成立于2015年,由德诺医疗集团创立,总部位于杭州国家高新技术开发区-滨江区,研发基地设立于深圳。德晋医疗专注于二尖瓣与三尖瓣疾病相关治疗技术的研发,并提供系统性解决方案。公司目前主要产品包括中国第一款经心尖介入治疗二尖瓣反流的器械MitralStitch™、中国第一款经股静脉二尖瓣修复器械DragonFly™等。科技驱动未来,创新推动发展,德晋医疗秉承立足中国、面向世界的企业发展战略,进一步加速精准介入诊治技术的开发和商业化应用,不断为医生和患者提供瓣膜修复的创新诊治方案。

阅读数: 5151