首都医科大学附属北京世纪坛医院成功完成院首例应用经心腔内超声(ICE)引导左心耳封堵术治疗持续性房颤

2021年6月17日,首都医科大学附属北京世纪坛医院在心血管内科彭建军主任的带领下成功完成首例应用经心腔内超声(ICE)引导左心耳封堵术治疗持续性房颤。彭建军主任团队是北京最早使用心腔内超声(ICE)引导左心耳封堵术治疗持续性房颤的团队之一,在国内具有一定的影响力。

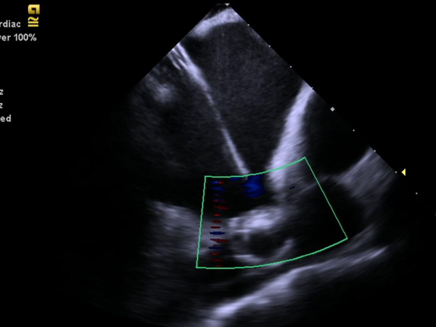
近年来心腔内三维超声技术(ICE)是国际心内介入领域兴起的一项新技术。它在心内导管介入的基础上,把腔内超声探头送到心脏的特定部位,结合心腔内三维标测技术对于用于复杂的心律失常的治疗和房颤治疗。让医生得以在手术中清晰观察心脏内的特殊结构,实时监测心脏情况。被誉为潜入心脏的眼睛,术者可以慧眼识心,患者安全倍增。

该患者“88岁高龄”、“永久性房颤”、“出血高风险”、“反复脑栓塞”、“心功能衰竭”与其他原因导致的脑卒中相比,房颤导致脑栓塞具有“高致残率、高致死率、高复发率”的特点。因此有效抗凝,防止血栓栓塞性疾病发生,成为房颤患者治疗中最重要的一部分。

然而入院后完善了各项检查回报,患者在服用达比加群110mg 1次/日的前提下,凝血异常,超过可检测到的最高值;头颅核磁回报:新发侧脑室旁小灶性脑梗;患者心率快、血压高、下肢浮肿、肾功能不全肌酐173mmol/L,心超提示射血分数43%……,一道道难题摆在医生面前,又被逐一破解。但栓塞与出血高风险并存,着实难住了主管医生。

古有扁鹊。但当其谈及蔡桓公之病时曾无奈地说:“疾在腠理,汤熨之所及也;在肌肤,针石之所及也;在肠胃,火齐之所及也;在骨髓,司命之所属,无奈何也。”

随着医学的发展,曾经的“无可奈何”如今已经“有方可治”。

世纪坛医院心内科,这个永不言弃的团队,在彭建军主任的带领下,全科查房讨论,群策群力,为这位88岁的高龄,多脏器功能不全的老人制定治疗方案——调整患者全身状态,行左心耳封堵术(LAAC)。

主管医生与患者儿女们充分沟通后,大家便开始紧锣密鼓地为手术做着准备。这时,又一个难题接踵而至——老人无法耐受术中多次经食道超声(TEE)。心内科医生们再一次将目光转向了彭建军主任:“用心腔内超声吧。”还是那个淡淡的、沉着而镇定的声音稳定了军心。

2021年6月17日中午12:30,88岁高龄的患者在局麻下,经心腔内超声(ICE)引导行左心耳封堵。术程顺利。当手术结束后,心内科导管室内所有医护人员都不约而同地为彭建军主任精彩而成功的手术鼓起掌来。

左心耳封堵术在我院开展顺利。但这一次不却同于以往。这是我院成功完成的首例“超高龄”老年患者经ICE引导下LAAC。

我国房颤发病率在0.8%,由于人口基数大,发病人数在800+万人。如此庞大的人群中存在房颤导致栓塞的风险。《黄帝内经》中写道:“未病先防,已病早治,既病防变,瘥后防复。”为了改善高卒中风险房颤患者的生活质量,我们世纪坛医院心内科会瞄准国际前沿,聚焦患者需求,解除患者病痛,使用心腔内三维超声引导下的左心耳封堵术很大程度上提高了介入治疗的安全性,提高的治疗成功率,更多减少患者的疾苦,一如既往地做好患者生命的守护者。


阅读数: 1374