锐意创新、献礼党的百年华诞—暨武汉协和医院董念国教授团队完成全国首例NIMVR STUDY经皮二尖瓣夹合器钳夹术

2021年是值得被历史铭记的一年,这一年是中国共产党诞辰100周年;同年6月23日,华中科技大学同济医学院附属协和医院心外科董念国教授团队、心内科曾秋棠教授团队、超声科谢明星教授团队联袂应用杭州端佑医疗科技有限公司自主研制的民族品牌“经皮二尖瓣夹合器及输送系统”,成功为一位二尖瓣重度关闭不全的高龄患者实施经股静脉二尖瓣钳夹术,为我党的百岁华诞献上一份独具匠心的礼物。

尚小珂教授、陈澍教授、钟禹成教授进行导管操作

谢明星教授进行术中食道超声监控与引导

科技是民族强盛之基

NIMVR STUDY中应用的经皮二尖瓣夹合器的研制离不开党中央倡导的“产学研”政策支持。杭州端佑医疗科技有限公司联合华中科技大学同济医学院附属协和医院董念国教授团队经过充分的论证、设计验证、动物实验改良,终于开发出一款纯国产化可应用于临床的二尖瓣夹合器。

创新是民族进步之魂

此款二尖瓣夹合器不同于市面上已上市的Mitra Clip,其结构设计与整体功能更加简化。手术采用股静脉穿刺送入导丝建立通路,房间隔穿刺将二尖瓣夹合器送入左房,在3D食道超声与DSA引导下通过独特的可调弯导管进行二尖瓣脱垂瓣叶的捕获、夹合与释放。

患者的一般情况

本例手术的患者是一位73岁的老人,因胸闷、气喘并进行性加重入院,经超声心动图诊断为二尖瓣后叶脱垂(P2区)、腱索断裂并重度关闭不全。经心外科评估为外科手术高危,董念国教授团队经多学科讨论决定为此患者行经皮二尖瓣钳夹术。

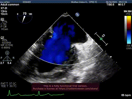
术前超声

手术过程

本次手术由心外科尚小珂教授、陈澍教授,心内科钟禹成教授,超声科谢明星教授李贺教授共同完成,法国波尔多里尔大学Thomas Modine教授远程指导。术后即刻超声心动图评估返流降至轻度,夹合器锚定良好、器械顺利撤出体外,手术取得圆满成功。术后第二天超声心动图评估返流为轻度,夹合器稳定。术后尚小珂教授表示:“经皮二尖瓣夹合器的应用成功,给大量无法耐受传统开胸手术的患者提供新的希望,微创介入术式必定会被越来越多的患者接受。本器械最大的优势在于其结构设计简单易上手,学习曲线短且效果显著,不仅针对退行性二尖瓣病变,对于心衰功能性二尖瓣反流一样可达到治疗效果。迄今为止,武汉协和医院仍然是华中唯一可以同时开展四个瓣膜介入手术的中心。

术后即刻超声

术后2D超声

100年前在嘉兴南湖的画舫上,中国共产党成立,迄今已走过了百年的光辉岁月;西子湖畔,端佑医疗首例经皮二尖瓣夹合器的成功植入,为中国特色民族品牌创新医疗器械的发展增添了新的光辉。我们相信在“创新是引领发展的第一动力”精神贯彻下,在董念国教授的带领下,会有越来越多的国内外患者因技术的创新而获益。


阅读数: 4550
相关专题