2021年5月28日早,深圳市人民医院董少红,刘华东,刘启云介入瓣膜团队,在超声科、麻醉科、影像科等兄弟科室全力配合下,成功为1位无法耐受造影剂的主动脉瓣重度狭窄并合关闭不全的高龄患者完成经导管人工主动脉瓣置换术(TAVR)。暨数月前给一94岁高龄老伯完成超声介导下急诊TAVR术后,深圳市人民医院瓣膜中心介入治疗团队再次为一高龄患者行急诊tavr。
TAVR手术介绍
用心血管介入方法,采用多种入路,经导管主动脉人工瓣膜置换术(TAVR),实行微创治疗。与传统的开胸换瓣手术相比,TAVR手术具有创伤小、病死率低、术后并发症少、恢复快等优点,更重要的是突破了传统开胸手术的禁区,是高龄高危无法接受开胸手术的主动脉瓣严重狭窄或关闭不全患者的新希望。
病例介绍
患者:女性 80岁
80岁的阿婆,常年患有慢性肾病,合并慢性心功能不全,半个月前出现胸闷,气促等症状。5天前出现晕眩,下肢水肿,收入深圳市人民医院心内科就诊,行心脏彩超提示为重度主动脉瓣狭窄并重度关闭不全,经董少红,刘华东主任团队评估后收住入院,拟行TAVR治疗。
阿婆肾脏功能受损,心衰严重,无法耐受造影剂,做不了传统TAVR手术前评估最重要CT扫描环节。危机时刻,深圳市人民医院心内科心脏彩超室李江华医生,用超声评估的方式代替CT扫描,用超声圆满完成术前评估,体现了深圳市人民医院的超声测量的精确性和可靠性。
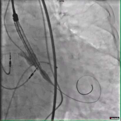
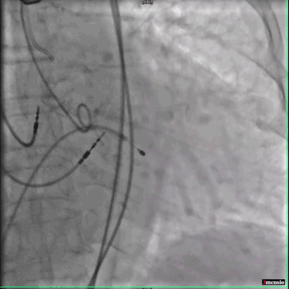
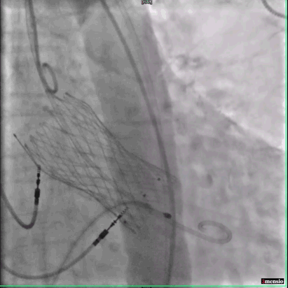
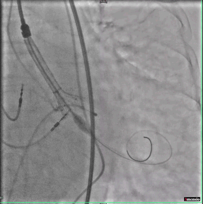
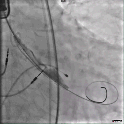
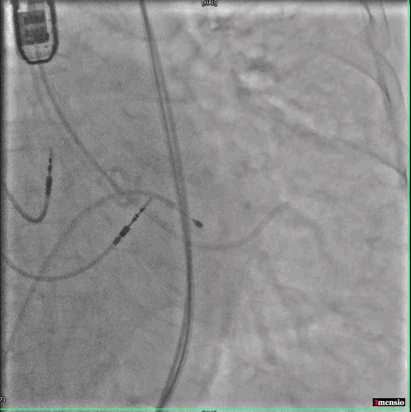
主动脉根部造影
跨瓣
深圳市人民医院是深圳地区TAVR手术量第一的医院,有着最全面合理的治疗团队、经验和方案。
深圳市人民医院微创瓣膜团队
2021年6月,我院成立心脏瓣膜中心,是深圳市首家成立的正式瓣膜中心。心脏瓣膜病中心的成立,标志着我院在心脏瓣膜病治疗领域迈出了造福百姓健康的坚实步伐。
门诊时间
董少红 主任 每周三下午
刘华东 主任 每周三全天
李江华 医生 每周日全天
专家简介

主任医师,教授,心内科主任,医学博士,博士生导师,1962年出生,1991年获北京医科大学博士学位,1998年在韩国全南大学校病院心内科做访问学者;2000年在以色列西伯莱大学哈达萨医学中心获得博士后学位。目前培养在读及毕业博士,硕士生共十二名,发表论文六十余篇。从事心内科临床、科研、教学工作25年,专业技术特长为高血压、冠心病、心律失常、风心病先心病、心功能不全等。担任心内科主任8年,一直致力于充血性心力衰竭、冠心病、高血压病的临床及基础研究工作,具有丰富的大内科及心血管内科临床经验,开展了多项先进的介入诊断治疗方法。对瓣膜病、先心病的介入治疗以及心脏起搏器植入等多项技术也有很深的造诣及经验,将人民医院心内科的介入诊断及治疗提高到前沿水平。主要从事:缺血性心脏病,心力衰竭,高血压先天性心脏病的临床诊断及治疗,尤其擅长复杂冠心病,先天性心脏病,风心病的介入诊断及治疗,心律失常的起搏治疗。

副教授;2001年至今深圳市人民医院历任主治医师、副主任医师、病区主任;2009年-2010年 广东省人民医院 心导管室。