2021年6月12日,襄阳市中心医院心内科朱锐主任、吴校林副主任带领团队成功为一例高龄、高危患者完成冠脉阻挡高危、循环崩溃高危、瓣膜移位高危的挑战性TAVR手术。面对病情严重、复杂且多变的患者,心内科朱锐主任、吴校林副主任做了充分的准备及各种应急预案包括体外循环的准备等,最终在全体医护人员的共同努力下排除万难顺利完成了手术,彰显了襄阳市中心医院心内科介入技术又迈入了一个新的阶梯。
病史资料
患者老年女性,因“头晕、黑矇3年,加重1月”入院。患者诉3年前开始无明显诱因开始出现头晕、黑矇,伴有乏力,每次持续时间短暂,可自行缓解。近1月感头晕、黑矇症状加重,活动量稍大时即可出现,且发作较前频繁,于我院就诊。行心脏超声检查提示主动脉瓣重度狭窄。经团队讨论和患者家属商议后决定,行TAVR手术治疗。
术前评估
主动脉根部解剖CT影像
TYPE 0型主动脉瓣,瓣环径22mm,瓣上结构分析仅有左侧窦单瓣叶钙化,右侧窦瓣叶柔软无支撑。应用downsize策略(23mm瓣膜)不排除会出现瓣膜固定不稳,飞瓣或下滑可能。
左侧窦瓣叶钙化,左侧窦平且冠脉高度不足,右侧窦也不大,且预计瓣叶长度高于右冠高度,双侧冠脉均有遮挡风险。
左室腔不大,且因为右侧窦瓣叶柔软,术前超声无主瓣反流,超硬导丝、球囊、瓣膜胶囊腔的压迫下均有可能出现急性大量主动脉瓣反流而导致低血压甚至循环崩溃。

手术策略
患者主动脉根部解剖复杂,对于术前预计的每一个高难度操作和风险都要做好充分详尽的预案:
1、双侧冠脉遮挡高危,从CT瓣上2-4mm水平分析预计左侧窦底的钙化推抵,可能左冠瓣叶并不会真正贴住左侧窦及左冠,真正高风险为右冠。预备术中在球扩前进行双侧冠脉导丝保护,采取先造影后球囊扩张的策略证实哪一侧冠脉风险更高,然后进行guidezilla+支架保护;
2、循环崩溃高危,需尽全力让左心挺过球囊扩张导致的循环崩溃风险,以便后续能采用相应策略从容处理冠脉风险。术中超硬导丝跨瓣后即可能出现低血压,球扩后左室空虚也容易出现低血压。采取策略包括:(1)充分补液使CVP达到15mmHg左右,保持足够的前负荷;(2)在超硬及球囊跨瓣后给与左室足够长的时间适应急性主瓣反流;(3)出现低血压时,逐渐上调正性肌力药至血压稳定后再行球囊扩张。
3、瓣膜移位高危,因右侧窦小而平、右侧瓣叶柔软无支撑,需采用右足double-S体位,在造影后能精准判断真实的植入深度,以便在起始定位及释放过程中精确调整植入深度,做到标准位释放,充分调整好同轴性,利用好顶导丝技术,避免支架上跳和下滑。
4、单侧严重钙化病变需注意预扩张时,小心保护避免瓣环、瓣叶以及球囊破裂,超硬导丝个体化头端塑形是手术操作顺利的有效保证,同时预装瓣膜避免可能的循环崩溃带来的不良后果。术中决定使用20mm球囊预扩,根据balloon sizing结果和解剖结构,准备预装Venus-A Valve 23瓣膜(也不排除会使用26mm瓣膜)。
手术过程
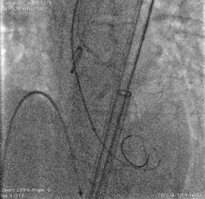
主动脉根部造影可以清晰显示瓣叶钙化及活动受限。
选用AL2.0导管配合泥鳅导丝成功跨瓣。
跨瓣成功,采用双侧冠脉双导丝保护 。
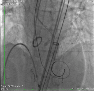
在超硬导丝交换后,给与左室充分的时间适应急性AR带来的低血压,上调正性肌力药使血压稳定后,使用20mm球囊扩张,有明显腰征,无瓣周漏,左冠距离远,右冠血流中断。证实术前判断,球扩后患者低血压缓慢恢复,加强正性肌力药支持。
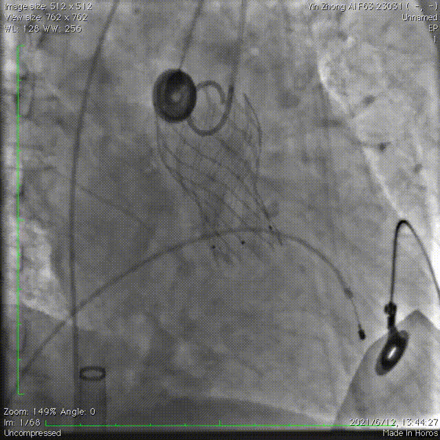
采用右冠guidezilla+预置支架保护,在右足Double-S体位下,选择Venus-A Valve 23瓣膜精准释放,跨瓣后及释放过程中患者持续低血压,释放2/3后血压仍无法恢复,调整好JR指引导管和guidezilla深度后,完全释放瓣膜。交换猪尾导管后复苏推药,患者血压逐渐恢复正常水平。
瓣膜释放后造影显示瓣膜定位准确,整个支架往右冠脉窦偏移,左冠显影正常,无遮挡。小心回撤guidezilla至冠脉口,JR指引导管内造影显示右冠脉遮挡仅留一条细线,决定植入烟囱支架,并充分后扩张。
术后心电图显示QRS波间期正常,生命体征平稳,跨瓣压差不大。
术前压差108mmHg
术后即刻压差12mmHg
总结
如此高难度高风险的病例充分体现了TAVR团队过硬的心理素质、良好的操作技术和强大的团队配合能力。
术后心内科朱锐主任介绍,重度主动脉瓣狭窄患者后期易反复出现活动时胸闷、胸痛、呼吸困难及晕厥,有些患者伴有严重心衰,生活质量极差。传统的外科开胸手术创伤较大,恢复时间长,而TAVR即经导管主动脉瓣置换术创伤小,无需体外循环及输血,术后恢复快。主要适用于重度主动脉瓣狭窄或关闭不全患者,但开展TAVR手术,需要多科室相互协作及术后优秀监护团队帮助患者度过术后康复期。
心内科吴校林副主任表示,这例高难度的TAVR手术是在医院多科室支持及协助下完成,特别是得到心外科、麻醉科及超声科的大力帮助。同时,也感谢患者及家属对我们的信任。该患者为主动脉瓣重度狭窄及单边钙化,头晕、黑矇症状明显,TYPE 0型二叶瓣,单纯左侧瓣叶重度钙化,有瓣膜移位风险;冠脉高度不足,窦小,瓣叶冗长,冠脉风险高危,根据术前CT准确判断右冠脉风险大于左冠;左心室腔小、心肌肥厚,单纯主动脉瓣狭窄,右冠瓣叶柔软,术中操作超硬导丝跨瓣、球囊预扩张、释放瓣膜均可导致低血压及循环崩溃风险。CT检查结果显示的各种高难度、高风险的解剖特点决定了想完成这台手术,无疑是对术者经验及技术的严峻挑战。充分的评估和制定合理的策略,尽可能降低球扩时、以及放瓣时循环崩溃的风险,以妥善从容处理冠脉遮挡问题,是这一台手术成败的重中之重。
专家简介

主任医师、教授 、医学硕士,襄阳市中心医院心内科主任。
襄阳市医学会心血管病学分会主任委员,襄阳市心血管疾病介入诊疗技术质量控制中心主任,中华医学会心血管病学分会大血管学组委员(第11届),湖北省医师协会心血管内科医师分会委员(第1届),湖北省预防医学会心血管疾病预防与控制专业委员会委员,湖北省中西医结合学会心血管病专业委员会委员,襄阳市中心医院名医。
擅长心血管内科疾病的诊断和治疗,有较高的心血管疾病介入诊断与治疗技术水平,擅长急危重症心血管疾病的诊断和抢救,尤其擅长复杂冠心病经皮球囊扩张+支架置入术、主动脉夹层腔内隔绝术、快速心律失常的射频消融、起博器植入介入治疗。

医学博士,副主任医师,襄阳市中心医院心内科副主任。
襄阳市心血管内科专业委员会秘书,襄阳市心血管病专科分会青年委员会组长,湖北省微循环学会委员,湖北省急性心血管疾病医疗救治中心委员,襄阳市心电生理与起搏专业委员会委员。
擅长心血管急危重症诊治,复杂冠脉介入治疗、起搏器置入、TAVR等,曾在复旦大学附属中山医院进修心脏介入、意大利米兰尼瓜尔达医疗中心研修,主要从事冠心病的介入治疗和机制方面的研究,目前申请国家自然科学基金和湖北省自然科学基金各一项,湖北省卫健委项目一项,参与国家自然科学基金一项,截止目前共发表学术论文30余篇,其中SCI论文7篇,还获得襄阳市科技进步奖二等奖一项。