北京时间2021年6月17日9时22分,搭载神舟十二号载人飞船的长征二号F遥十二运载火箭,在酒泉卫星发射中心准时点火发射,顺利将3名航天员送入太空,发射取得圆满成功,国人无不为之振奋。与此同时,上海复旦大学附属中山医院的心外科手术室里,王春生教授、魏来教授团队洗手上台,一台激动人心的手术也即将开始,中国自主创新高端医疗器械——亚洲首款穿刺式二尖瓣修复装置E-Chord™即将迎来她的第二次“发射“。
59岁朱女士患二尖瓣关闭不全10多年,并伴有胸闷、气喘、心悸。术前超声诊断:二尖瓣后叶P2节段脱垂、腱索断裂伴重度反流、肺动脉高压。经上海复旦大学附属中山医院王春生教授、魏来教授团队综合评估分析,决定使用北京迈迪顶峰医疗科技股份有限公司研发的“E-Chord™二尖瓣修复装置”进行腱索重建手术。
手术正式开始,魏来教授和杨晔医生在心超诊断科董丽莉教授、赵维鹏教授的协助下,仅一个多小时就顺利完成了E-Chord™的穿刺“发射任务”。4根人工腱索被送入朱女士的心脏,准确锚定在二尖瓣脱垂病变区域。然后在超声引导下精确调整人工腱索长度并固定在心尖,从而恢复了朱女士正常的二尖瓣关闭功能。手术完成后朱女士二尖瓣反流立即由重度减少为微量;同时左房平均压明显改善,由术前42mmHg下降到24mmHg。手术全程在超声引导下进行,操作便捷可控,无放射线,心脏不停跳,无需体外循环,创伤小,不出血,恢复快。患者术后2小时即拔除气管插管并返回病房,第二天即可下床活动。

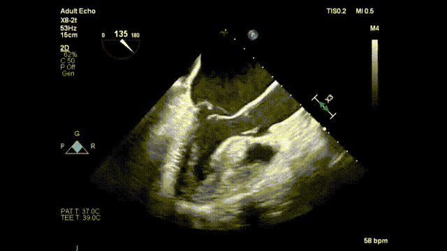
术前二尖瓣重度反流
术中器械顶住二尖瓣并击发,锚定人工腱索

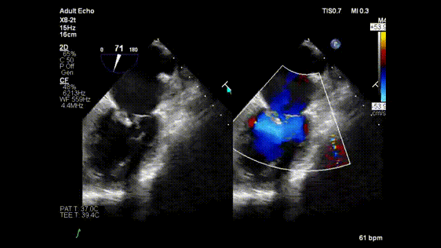
术毕二尖瓣反流减少为微量
至此,E-Chord™已在中山医院圆满完成两例手术。5月27日的首例患者植入3根人工腱索后二尖瓣反流完全消失,3天出院,目前术后15天超声随访结果良好。本次是使用E-Chord™治疗的第二例患者,再次验证了E-Chord™治疗二尖瓣返流的安全性和有效性。
E-Chord™二尖瓣修复装置由北京迈迪顶峰医疗科技股份有限公司的工程师团队与复旦大学附属中山医院心外科王春生教授团队历时5年研发而成,秉承“安全、有效、微创、便捷”的设计理念,将卓越的创新能力和丰富的临床经验充分结合,堪称医工交叉合作的典范。未来,双方将更加精诚合作,拓展E-Chord™与Easy-Knot配合使用实现二尖瓣缘对缘修复和瓣环收缩的新功能。E-Chord™做为国内首个兼顾穿刺修复二尖瓣腱索、瓣叶“缘对缘”和瓣环收缩为一体的创新产品,即将由复旦大学附属中山医院牵头国内多中心临床试验,以造福更多二尖瓣返流患者。
创新无止境、责任勇担当!