2021年6月1日,在全世界都忙着变回小孩的这天,首都医科大学附属北京安贞医院(以下简称“安贞医院”)结构性心脏病外科中心来永强教授团队在周玉杰教授团队协作下,成功开展了三例复杂TAVR手术。
这是来永强教授团队首次应用SAPIEN 3瓣膜1开展的TAVR手术,成功后的欣喜和成就感,也是来永强教授团队成员独一无二的“六一”限定礼物。
多学科协作,集合力量守护患者生命
此次的三例手术由来永强教授所带领的多学科团队为主导,安贞医院副院长周玉杰教授团队作为内科支持。经过多次会诊、全面评估、周密配合,共同完成。
病例一
77岁男性,主动脉瓣重度狭窄,前降支及右冠严重钙化、迂曲并有狭窄,一月内频繁晕倒,病情危急。
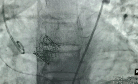
第一个病人的特点是,需要在解决主动脉瓣问题的同时,解决冠状动脉的问题。针对病人特点,来永强教授和周玉杰教授提前在网上进行了会诊,设计一站式杂交手术,前降支和右冠各放一个支架,同时用SAPIEN 3瓣膜进行TAVR手术。
“相当于经皮主动脉瓣膜植入术中同时行PCI手术,不开胸,对患者来说是获得最大的效益。”周玉杰教授表示,TAVR同期行PCI,这两个手术合在一起,带来了病人的双获益。
病例二
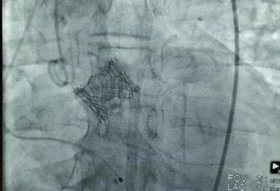
67岁女性,主动瓣左冠窦腔小,严重钙化,主动脉宽,冠状动脉开口位置低,手术条件恶劣。
“所有不好的指标全在一个病人身上,很麻烦。”
冠状动脉开口位置的高度相对较低,是决定病人能不能做TAVR手术的非常重要的因素。如果冠状动脉开口比较低,有可能瓣膜植入之后会挡住冠状动脉开口,引起急性心梗,这将是一个灾难性的后果。
对于这种棘手病例,来永强教授团队从来都是选择迎难而上。
术前就和周玉杰教授团队做了周密研讨和细致评估,包括体外模拟植入瓣膜后的冠脉情况。术中,也做了多种应急预案,一方面备了体外循环机器,万一不行,就转机上体外循环支持;另一方面,在左冠主干的位置放了导丝,如果造成左冠动脉缺血,会立即行冠状动脉球囊扩张➕支架植入治疗。
在瓣膜的选择上,也充分考虑到冠脉开口位置低、主动瓣左冠的窦部比较小的问题,最终采用16mm球囊预扩,20mm瓣膜释放,一个半小时左右的手术过程顺利,冠状动脉开口没有受到影响,冠脉的供血也比较好。
可以说,这台的成功得益于术前充分的会诊、讨论、风险评估,防止一切发生风险的因素,这不仅仅是一台高难度手术,更是多学科协作的成功典范。
病例三
70岁女性,梅毒合并二叶瓣,主动脉瓣狭窄,肺部有肿瘤。
遵循传染病防治法,为病人排忧解难
由于有梅毒阳性,根据传染病防治法的要求,这例病人被放在了最后。
器械“助攻”,为手术“锦上添花”
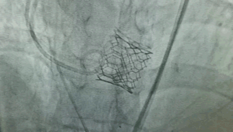
SAPIEN 3瓣膜是一款目前国际上受到广泛认可的介入瓣膜,这也是来永强教授团队第一次应用SAPIEN 3瓣膜行TAVR手术。
“瓣膜的选择,肯定要在手术前与病人进行良好的沟通,针对病人的具体情况,给出最好的建议。”
来永强教授提到了选用瓣膜的原因。
“对病人来说安全性非常重要!”
SAPIEN 3瓣膜是球扩瓣,后期三度传导阻滞的发生率比较低,起搏器植入率就会低很多,另一方面SAPIEN 3瓣膜相对比较短,对如第二例冠脉开口比较低的患者,相对来说风险低一些。
“三例手术,没有一例出现传导问题,结果让人惊喜。”
周玉杰教授在术后表示,SAPIEN 3瓣膜相比自膨瓣定位更好,瓣膜的缝合程度和瓣环的镶嵌程度适合,瓣周漏少。而且起搏器植入率、并发症发生率都较低,整个操作系统简化,从输送系统的先进性、瓣膜的先进性、瓣膜的血管对主干的影响、位置上下滑动的一些控制等,SAPIEN 3瓣膜都是一个良好的瓣膜。
“但无论是球扩瓣还是自膨瓣,医生需要做的就是选择最适合患者的。”周玉杰教授强调。
培养有特点、有绝活的外科医生
来永强教授带领的由心外科、心内科、超声、影像学、麻醉科等组成的多学科团队,自2018年开展TAVR手术以来,截至目前已经完成40多例TAVR手术,拥有一定的临床经验。
对于团队以后的发展方向,来永强教授提到,“在做好常规工作的同时,更要根据每个人特点,找到适合自己的发展方向。”
来永强教授带领的结构性心脏病外科中心团队成员包含各个专业均是非常优秀的人才,所有团队成员在做好换瓣、搭桥等心外科常规工作的基础上,都有自己重点发展的方向。
“我们不但要培养最基本的优秀的外科医生,更需要培养不但手术做的好,而且整体水平比较高,有特点,又有绝活的杰出的外科医生。”
专家简介

主任医师,教授,博士研究生导师。
首都医科大学附属北京安贞医院结构性心脏病外科中心主任。中国研究性医院协会心房颤动防治专业委员会副主委,中国医师协会冠脉外科学术委员会委员,北京医师协会心血管外科专家委员会委员,首都医科大学心脏外科学系委员,《心肺血管病杂志》、《中华损伤与修复杂志》、《中华实用诊断与治疗杂志》、《心血管外科杂志》编委。

主任医师、教授、博士生导师、北京学者,首都医科大学附属北京安贞医院常务副院长,北京市心肺血管疾病研究所常务副所长,国家心血管疾病临床研究中心学术负责人,国家心血管疾病临床重点专科学术负责人,卫生优秀科技人才及领军人才,新世纪国家级百千万人才,美国 C3(复杂心血管介入治疗)终身成就奖,FACC,FHRS,FSCAI,FESC 资深会员,中华医学会心血管病学分会常务委员,中国医师协会心血管内科医师分会副会长,中国医师协会介入心脏病协会主任委员,中国医疗保健国际交流促进会医疗质量控制委员会主任委员,中国老年保健医学研究会慢病防治管理委员会主任委员等。