华西医院陈茂教授团队单日成功完成三台Dragonfly™手术

6月8日,由陈茂教授、冯沅教授、梁玉佳教授领衔的四川大学华西医院心脏瓣膜团队采用缘对缘修复技术,应用Dragonfly™经导管二尖瓣瓣膜夹系统成功为三例具有挑战性的二尖瓣重度反流患者实施手术。良好的手术效果体现了Dragonfly™器械其针对不同病变的有效性与广泛适用性,同时标志着华西医院正式进入Dragonfly™注册临床阶段。

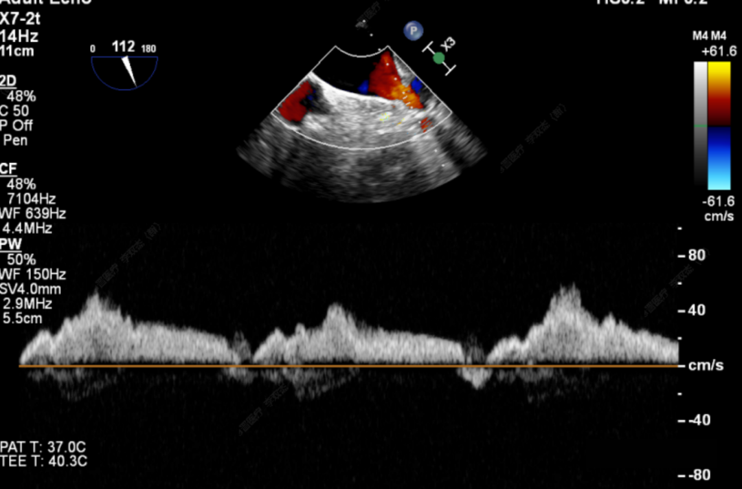
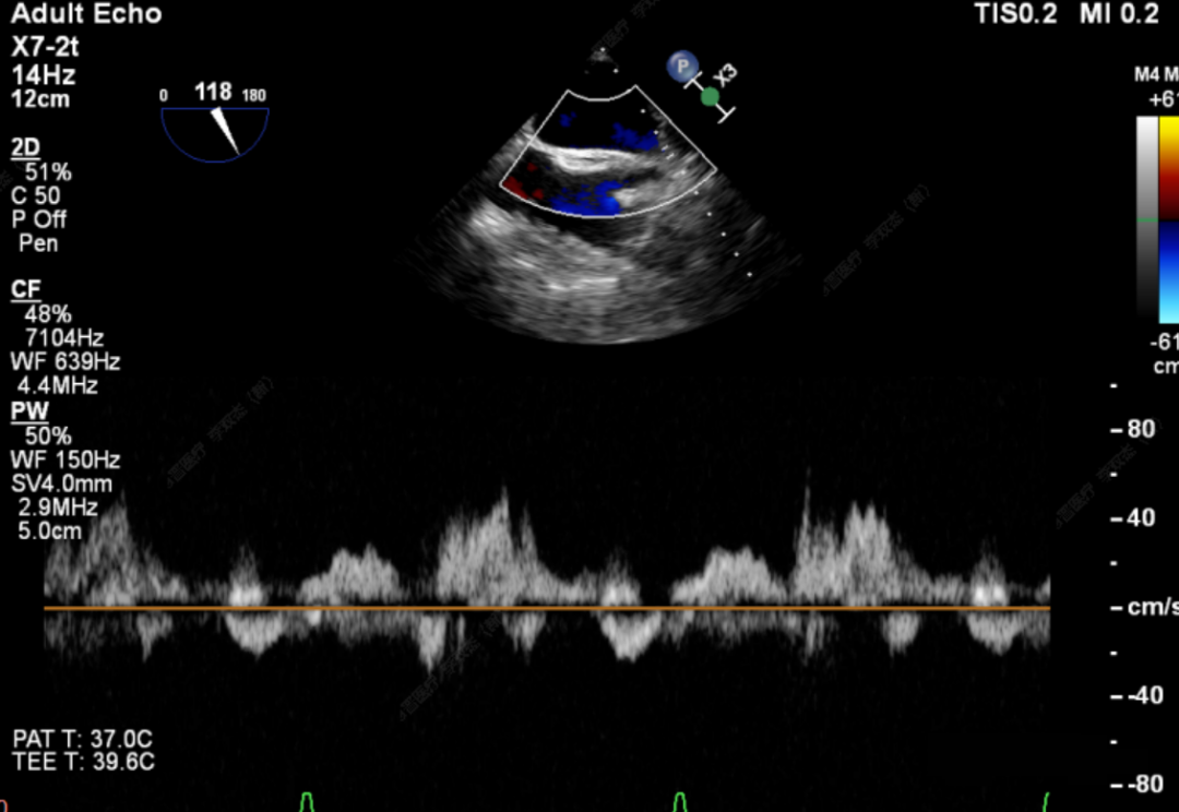
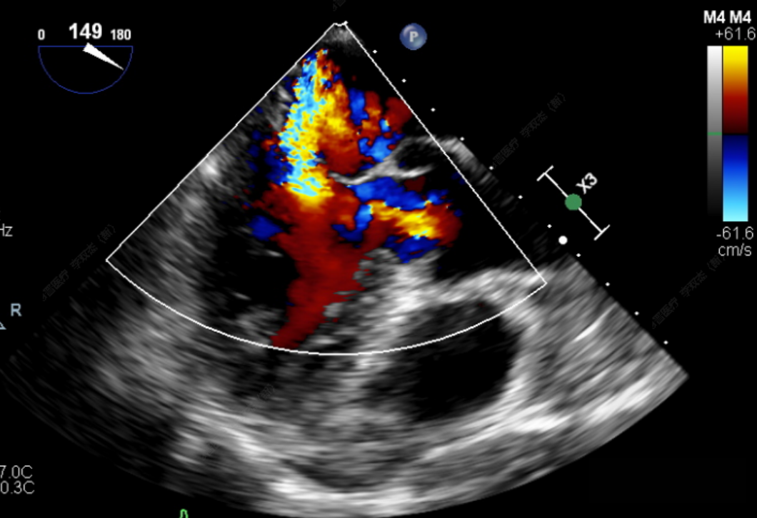
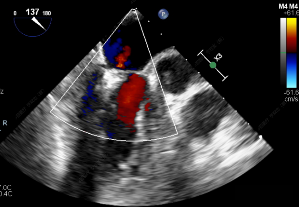
此次手术患者均为高龄、且外科高危的器质性二尖瓣反流,反流病变区域遍及前后瓣叶(一区、二区、三区),复杂及多样性的病变状况大大增加了手术的操作难度性,是对术者与器械稳定及有效性的巨大考验。术中,器械经股静脉穿刺房间隔,通过输送系统送入患者左心房,到达二尖瓣膜反流处,在经食道超声及DSA引导下,通过反复评估脱垂范围、抓捕位置、反流程度,确保细致操作、精准夹合、释放。术后即刻,患者反流显著减小,左房压下降,血流动力学改善明显,短暂过渡后,首位患者安返病房。导管室内,华西心脏瓣膜团队仍严阵以待,为之后两例手术做准备,经过团队之间紧密配合,三台手术均顺利完成。

中国二尖瓣介入治疗市场具有巨大的增长潜力,据估测需要干预治疗MR患者约为750万,市场对微创治疗器械求贤若渴。华西医院在二尖瓣介入治疗技术临床应用砥砺突破,一天内应用Dragonfly™成功开展三台高难度、高质量的二尖瓣经导管修复手术,在标志着华西医院缘对缘修复技术经验越来越丰富的同时,再次证明了由杭州德晋医疗自主研发的Dragonfly™经导管二尖瓣瓣膜夹系统的优异性能与广泛适用性。

Dragonfly™以其独特的封堵网设计,进一步降低中心反流,减少瓣叶应力,避免瓣叶损伤。稳定的传动机械结构系统,使瓣膜夹关闭时更稳定可靠,极大提升手术安全性。单独捕获瓣叶的功能,可以分别抓取前叶和后叶,能应对各种复杂解剖结构的病变。在早期探索性临床试验研究结果显示,DragonFly™的安全性和有效性皆达到了最高标准。

日前,DragonFly™已陆续在全国多家顶级医院开展多中心注册临床研究,计划入组上百例二尖瓣反流患者。由德晋医疗免费提供DragonFly™二尖瓣修复器械,并同时提供二尖瓣反流治疗的优质解决方案及顶级医院的专业医疗服务和术后随访服务,惠及更多二尖瓣疾病患者。
阅读数: 12089
相关专题