北京安贞医院心脏瓣膜病介入中心成功开展2例复杂MitraClip手术

2021年6月9日下午,北京安贞医院心脏瓣膜病介入中心宋光远教授团队联合超声何怡华教授团队,成功为2例二尖瓣重度关闭不全患者行MitraClip手术,术后二尖瓣返流明显减少,血流动力学显著改善。纪智礼书记、张宏家院长为代表的院领导班子以及医务部等各部门领导给予大力支持,外科韩杰教授团队,麻醉科马骏教授团队、体外循环侯晓彤副院长、黑飞龙教授团队、导管室、手术室以及其他各个科室通力协作,手术过程顺利。阜外医院吴永健教授以及香港林逸贤教授分别给予现场和在线指导。

张宏家院长到手术室现场指导

病例一病史简介:

第一例患者为71岁女性,主因“间断胸闷、胸痛6年余,加重2月”入院,患者6年前间断出现胸闷、胸痛,诊断为“冠心病,心绞痛”,于前降支(LAD)植入支架一枚。2018-10-26因急性前壁心肌梗死予溶栓治疗成功。2019-1-28 行冠脉造影提示LAD原支架通畅,回旋支(LCX)中段50-60%狭窄,右冠状动脉(RCA)近中段70-80%狭窄,远段80-90%狭窄,于RCA植入支架3枚,超声心动图提示LA 40mm,LV 44mm, LVEF 45%, 节段性室壁运动异常,左心室室壁瘤形成(18*21mm),二尖瓣重度返流。术后规律服用冠心病二级预防药物和改善心衰药物治疗。2019年11月复查超声心动图提示LV 58mm,二尖瓣中大量返流,心功能NYHA III级,继续优化药物治疗,2020-12-28复查超声心动图提示:LV 53mm,LVEF 52%, 节段性室壁运动异常,二尖瓣大量返流,经食道超声提示左心房室增大,二尖瓣环增宽,二尖瓣大量中心性返流,瓣尖对合不佳,A2,P2为主。近2月来患者出现行走100米左右即出现呼吸困难症状。

既往史阵发性心房颤动,2005年行射频消融术;2型糖尿病史,高脂血症,慢性肾功能不全。

入院诊断:

冠状动脉粥样硬化性心脏病,陈旧性前壁心肌梗死;冠状动脉支架植入术后;心脏扩大;二尖瓣重度关闭不全(功能性);心律失常;阵发性心房颤动;心力衰竭;心功能IV级(NYHA分级);室壁瘤;2型糖尿病;高脂血症、慢性肾功能不全。

诊疗经过:入院后经过积极的抗心衰治疗,多学科会诊,考虑患者功能性二尖瓣重度关闭不全(FMR),射血分数<50%,目前心功能Ⅳ级(NYHA分级),合并肾功能不全(eGFR 36.84ml/min/1.73m²)、陈旧性前壁心肌梗死、心房颤动、2型糖尿病,其二尖瓣置换STS评分34.72%,已经经过完全血运重建和两年多的优化药物治疗,心衰仍反复发作,考虑二尖瓣大量返流对患者心功能的影响较大,经综合评估后,认为该患者有行MitraClip指征。

术前超声评估

TTE:

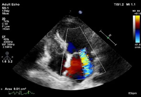
最大返流面积9.01cm²,LA:44mm

EROA:0.32cm²

节段性室壁运动异常

平均跨瓣压差:2mmHg

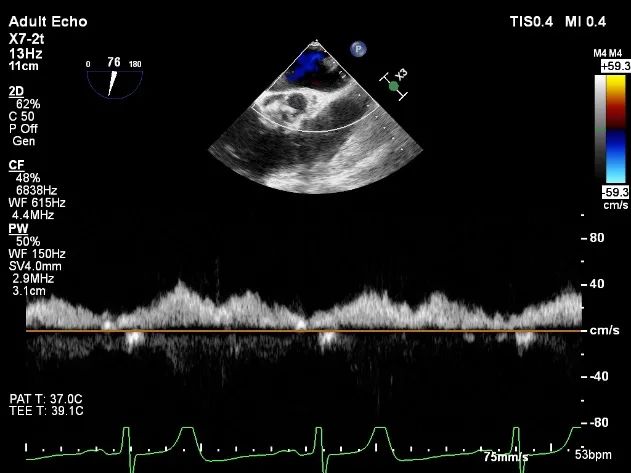
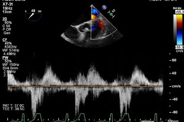
肺静脉多普勒收缩期反向血流

VC:7.2mm

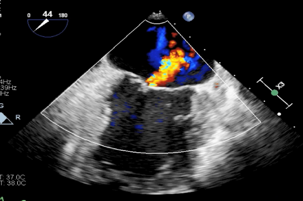
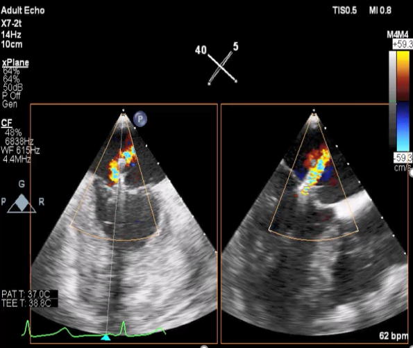
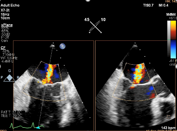
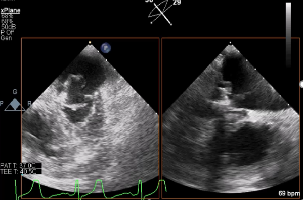
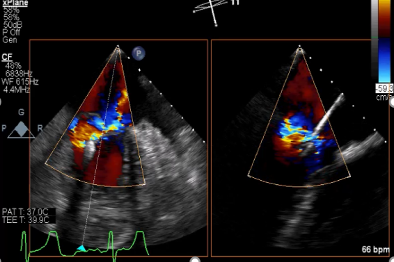
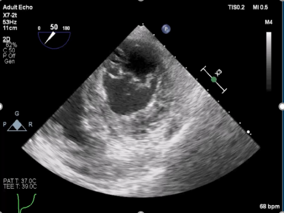
麻醉状态下TEE显示中大量返流MR:

手术过程

患者麻醉方式采取全麻,建立静脉通路后,穿刺右侧股动脉以及股静脉,预埋ProGlide缝合器,冠脉造影复查提示支架通常。TEE超声指导下经房间隔穿刺后进入左房,送入鞘管,MitraClip调整后顺利到达二尖瓣目标位置,后在X线及食道超声辅助下,使用1枚XTR二尖瓣夹准确夹合二尖瓣A2-P2区,超声即刻测反流面积明显减少,LVOT切面,四腔心切面以及3D下证实夹合组织充分,患者收缩压由术前的108/62mmHg上升至130/72mmHg,左心房压力显著减低,肺静脉多普勒波形由反向恢复正常。手术顺利结束,安返普通病房。

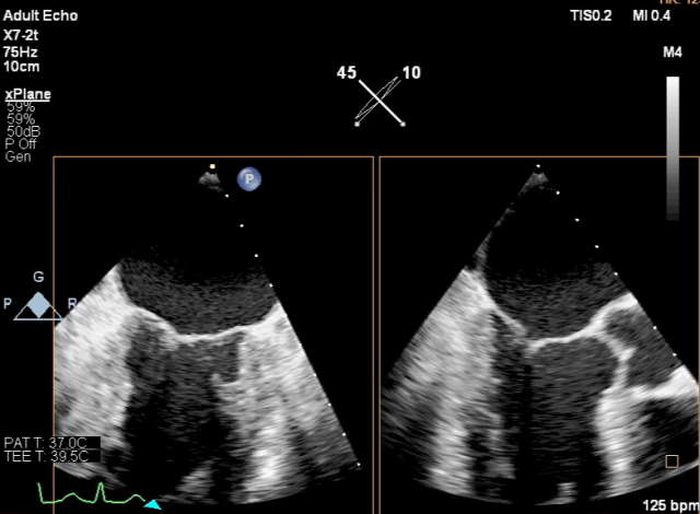
术中超声引导过程

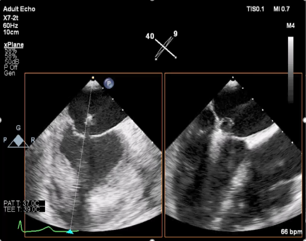
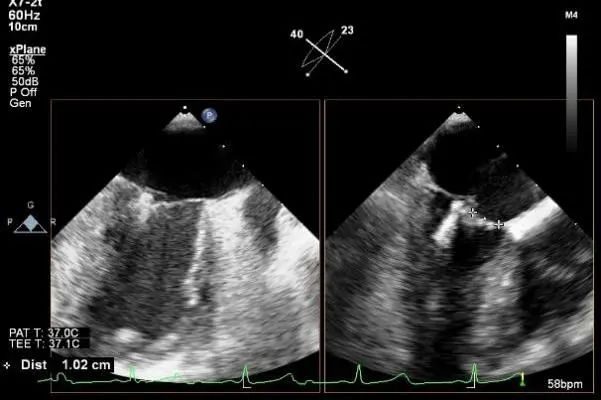
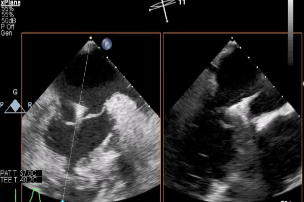
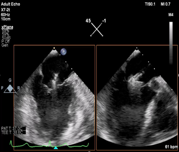
房间隔穿刺:

   Bicaval 寻找穿刺点

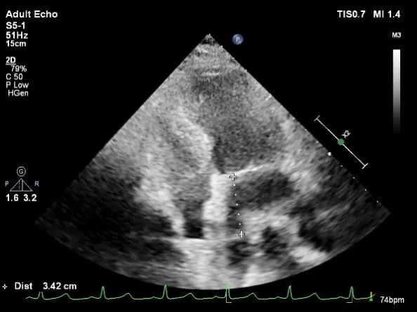
穿刺点距离二尖瓣环3.42cm

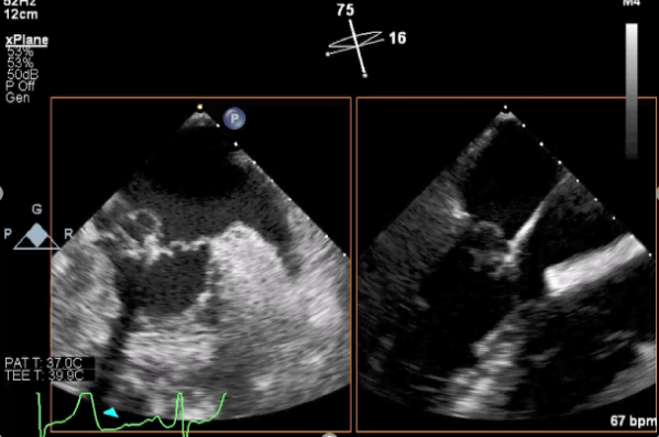
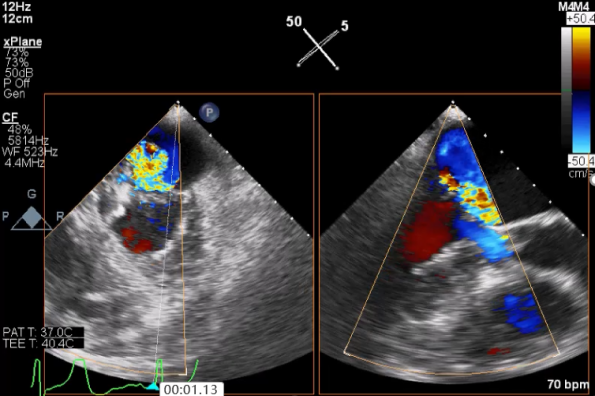
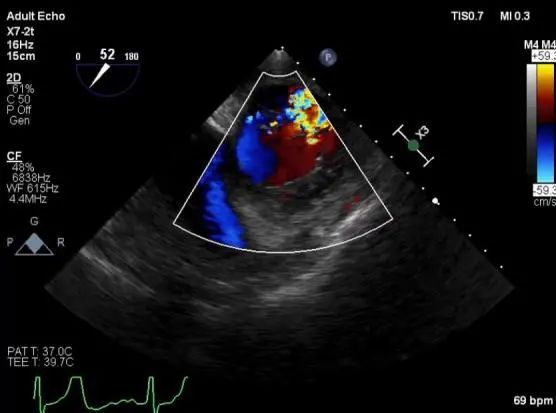
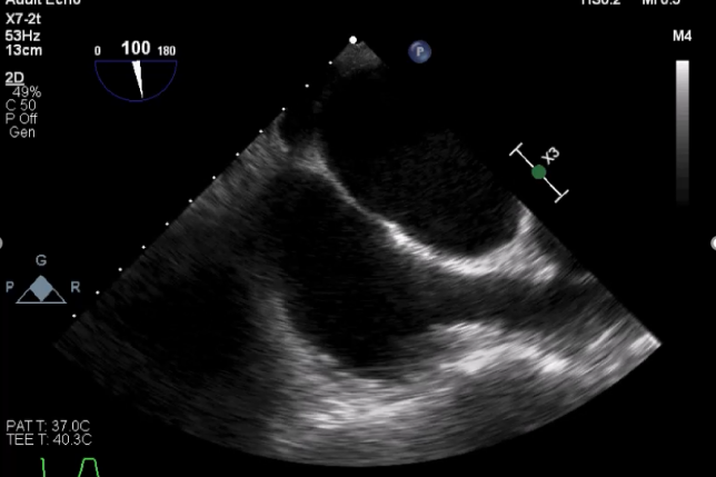
二尖瓣联合部切面引导XTR夹子转向病变区域并逐渐进入左室

XTR夹子到达病变区域捕获瓣叶并逐渐夹闭

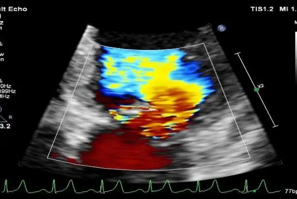
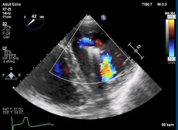
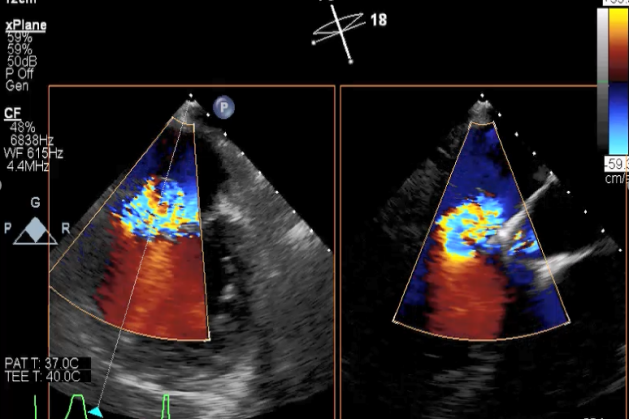
XTR夹子释放,返流明显减少

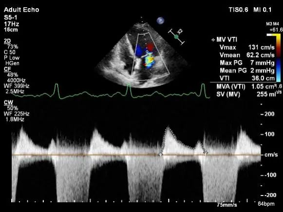
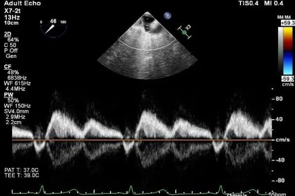
术后肺静脉频谱

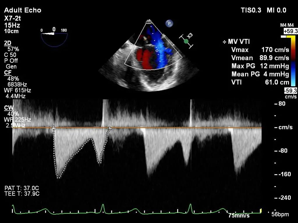
二尖瓣瓣口面积及平均跨瓣压差评估(4mmHg)

病例二病史简介:

患者为71岁男性,主因“间断胸闷5年”入院,患者5年前开始出现活动后胸闷、气短,并伴有双下肢水肿,服用利尿药物治疗,症状稍好转,但仍反复发作,2016-9-5到行超声心动图提示LA 50mm,LV 65mm,RV 23mm,LVEF 65%, 二尖瓣后叶脱垂,瓣叶增厚,P2区瓣叶收缩期脱向左房,致对合不拢,三尖瓣少中量返流,收缩期前向流速最大为4.3m/s, 估测肺动脉收缩压为79mmHg,主动脉瓣二瓣化畸形,近2年规律服用诺欣妥、螺内酯、比索洛尔、托拉塞米、匹伐他汀等药物,2019-1-12到经食道超声提示:全心扩大,以左房为主,二尖瓣后叶脱垂,P2、P3区收缩期脱向左房,脱垂部分瓣叶长16mm,瓣环直径40mm,主动脉瓣增厚,黏连,开放呈左右二叶,有效瓣口面积1.4cm²,2020-12-2,行经胸超声心动图提示LA 53mm,LV 70mm,LVEF 60%,左室舒张末期容积255ml,RV 25mm,TAPSE: 正常,全心扩大,以左房为著,室壁厚度正常,运动幅度正常,二尖瓣后叶增厚,P2和部分P3区瓣膜收缩期脱向左房,脱垂瓣叶宽约17mm,脱垂间隙约12mm,瓣尖可见甩动腱索残端,瓣关闭对合不拢。

诊断:退行性心脏瓣膜病,二尖瓣脱垂合并腱索断裂,二尖瓣重度关闭不全,主动脉瓣二瓣化畸形,主动脉瓣轻度狭窄,心功能III级(NYHA分级),建议行MitraClip治疗。

既往史:支气管哮喘

入院后经多学科专家会诊,考虑患者退行性心脏瓣膜病,二尖瓣脱垂合并腱索断裂,二尖瓣重度关闭不全,心脏明显扩大,心功能不全诊断明确,二尖瓣置换STS评分11.82%,有MitraClip治疗指征。但患者脱垂面积和间歇偏大,手术难度高。

术前评估: 

超声评估

术前TTE

最大返流面积20.9cm²,LA:53mm

ERO:0.95cm²,Rvol:108ml,RF:51%,VC:9.3mm

术前TEE

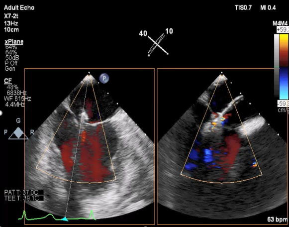
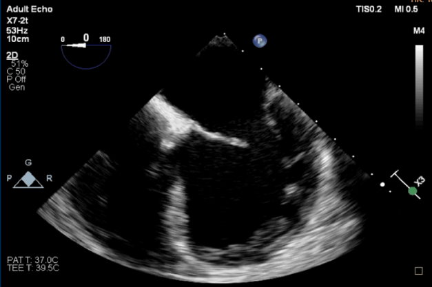
TEE短轴脱垂区域显示(P2、P3区大范围脱垂)

TEE短轴脱垂区域显示(color,血流来源于P2、P3区)

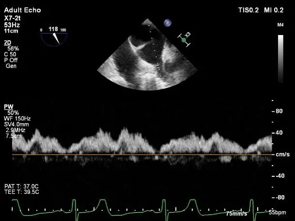
肺静脉收缩期反向血流

平均跨瓣压差:5mmHg

手术过程

患者麻醉方式同样采取全麻,建立静脉通路后,穿刺右侧股静脉后,预埋ProGlide缝合器后,送导管至房间隔部位,成功穿刺房间隔后进入左房,调整导管角度,顺利到达二尖瓣目标位置,后在X线及食道超声联合辅助下,宋光远教授使用2枚XTR二尖瓣夹,在精确定位后,准确夹合二尖瓣A2-P2以及A3-P3区域,患者收缩压即刻上升30mmHg,左心房收缩压由62mmHg下降至28mmHg,术中测反流面积明显减少,肺静脉多普勒波形由反向恢复正常。手术顺利结束,术后患者即刻苏醒,安返病房。

术中超声引导过程

 房间隔穿刺

Bicaval 寻找穿刺点

穿刺点距离二尖瓣环4.6cm

二尖瓣联合部切面引导第一枚XTR夹子转向病变区域并逐渐进入左室

第一枚XTR夹子到达病变区域捕获瓣叶并逐渐夹闭

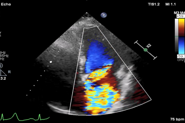
XTR夹子释放,残余部分返流

三维超声心动图显示第一枚XTR夹子释放,残余返流主要位于外侧

引导第二枚XTR夹子转向外侧残余病变区域并逐渐进入左室

第二枚XTR夹子释放,返流明显减少

三维超声心动图显示第二枚XTR夹子释放

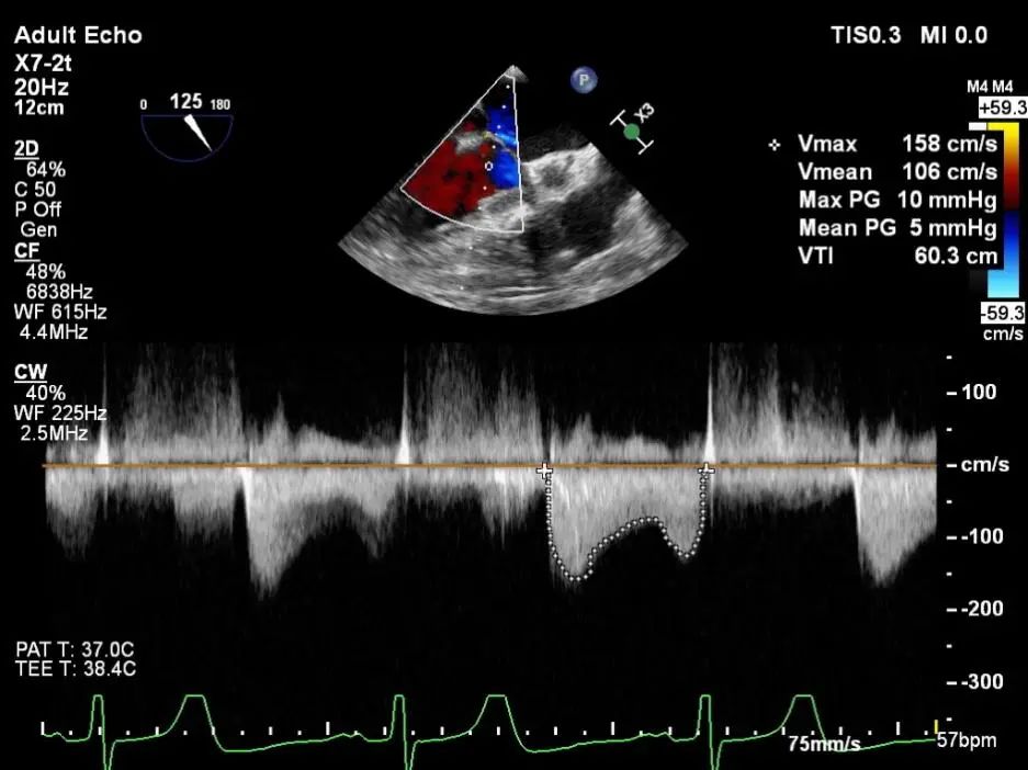
术后肺静脉频谱

二尖瓣瓣口面积及平均跨瓣压差评估(5mmHg)

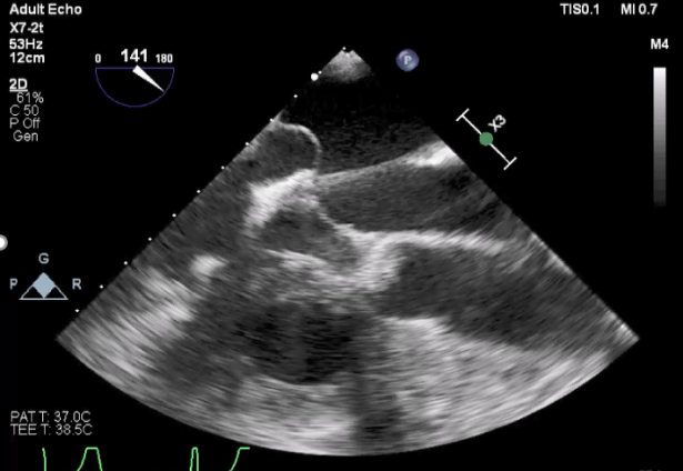
安贞医院宋光远教授团队术中操作MitraClip系统

总结

北京安贞医院心脏瓣膜介入中心成功开展的这两例复杂MitraClip手术,体现该团队在二尖瓣介入治疗领域突破性的进步,这是一个集体智慧群策群力的结果。在未来的瓣膜病介入治疗领域,安贞医院瓣膜介入中心将会以规范的诊疗流程,多学科协作的完美默契、精湛的介入治疗技术,为瓣膜病患者带来更多的福音!


中心介绍:

首都医科大学附属北京安贞医院是治疗心肺血管疾病为重点的三级甲等综合性医院,心血管内、外科手术例数名列全国综合医院第一,在全国心血管领域处于领军地位,也是全国较早开展瓣膜病介入的医院之一。安贞医院心脏瓣膜病介入中心应时而生,荟聚了安贞医院院内以及全国范围内的结构性心脏病的菁英专家,着力于各类心脏瓣膜性疾病的介入治疗,打造心脏瓣膜病介入领域重点学科。

安贞医院心脏瓣膜病介入中心是年轻的科室,现拥有医生15名,护士20名,集合了安贞医院以及全国的一批成熟的结构性心脏病的术者和医生团队,核心小组成员来自影像科、超声科、麻醉科、导管室、康复团队等多个科室,最大程度上在开展手术的同时保证病人的安全性,让病人得到最佳的治疗效果,同时通过瓣膜病介入中心,可以更好做到质控以及病人的中远期管理。
阅读数: 11081